• Home >
  • Back Issues >
  • Dental Economics >
  • Volume 109, Issue 6
  • Volume 109, Issue 6

    More content from Volume 109, Issue 6

    In the digital age of dentistry, more and more practices are choosing to adopt intraoral scanners, replacing their time-consuming traditional impressions with a cutting-edge alternative...
    June 1, 2019
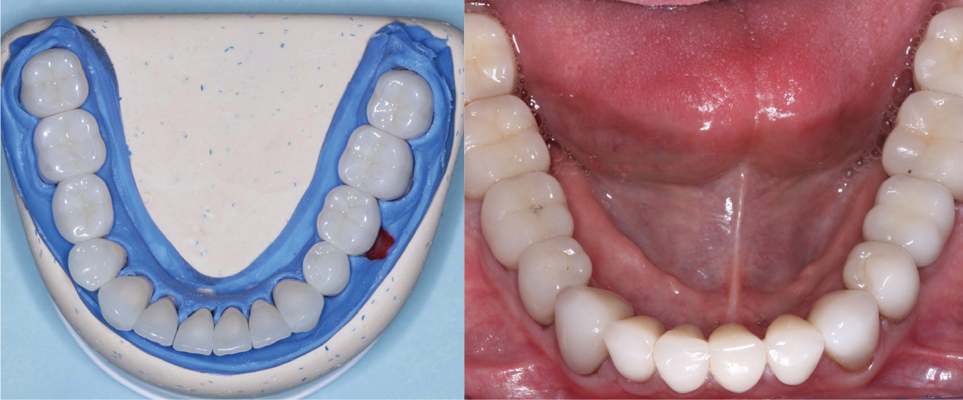
    Figures 1 and 2: The restorations on the molars are Class 5 zirconia colored in the presintered stage, nonglazed or superficially stained. They are polished only. The restorations cannot be differentiated from the lithium disilicate restorations on the remainder of the teeth and implants. Note the lack of simulated caries on the occlusal surfaces, which is discouraged. Natural teeth without caries do not have occlusal color. Technicians: Jed and John Archibald; Archibald Associates; Orem, Utah. Clinician: Gordon Christensen, DDS, prosthodontist.
    I understand that there are several types of zirconia used for crowns and fixed prostheses that differ significantly in their physical properties, including esthetics. I have ...
    June 1, 2019
    Figure 1: Producing top-quality USA-manufactured implants requires multiple steps and continual innovation prior to reaching the clinician’s hands.
    Steve Williams, DDS, AFAAIDMike Dostal, DDS, FICOII entered the world of implant dentistry through the back door. Throughout his career, my father was a very progressive dentist...
    June 1, 2019
    1906 D Edew P01
    Kathryn DeWood, DMDNextGen Leadership ShowcaseIn this article series, we’re featuring articles from the next generation of dental key opinion leaders. Find previous articles by...
    June 1, 2019
    The iTero Element 2 from Align Technology
    The market for intraoral scanners is evolving quickly. This one is powder-free, but it doesn’t work with a lot of clear aligner systems. That one is more expensive, but the speed...
    June 1, 2019
    Daniel EastyYou know the list—those things in your dental office that take entirely too much of your valuable time, such as determining what patients are eligible from an insurance...
    June 1, 2019
    © Shao-chun Wang | Dreamstime.com
    Dreamstime Xxl 130010997
    George A. Mandelaris, DDS, MS, FACD, FICD, discusses important considerations for doctors who are shopping for intraoral scanners.
    June 1, 2019
    Figure 1: No. 28 crown that had fractured after root canal therapy was completed
    David Burt, DDS, FICOI, FICDDigital dentistry in the form of CAD/CAM, chairside milling, and more recently, digital scanning is becoming the norm rather than the exception when...
    June 1, 2019
    4 Social Media Article Zamora Dreamstime Xxl 148099448
    Rita ZamoraPeople today expect easy access to information. They want that information when they want it and how they want it. They even expect this when it comes to dentistry....
    June 1, 2019
    Rachel Wall, BS, RDHPreventive hygiene appointments are a critical component of patients’ oral and overall health. Still, many patients don’t fully understand the benefits and...
    June 1, 2019
    2 Failed Appointments Banta Dreamstime Xxl 87643763
    Lois BantaBased on my calculations, it costs practices tens of thousands of dollars in lost production opportunity when patients cancel or no-show. Helping patients remain committed...
    June 1, 2019
    Jenny ReidWhat’s the one thing dental teams should encourage to help their practices and patients thrive? Cooperation. It’s the “one team, one dream” philosophy where everyone...
    June 1, 2019
    Do you have a question about managing your practice? What about growing your business or becoming a better business leader? If you have questions, Jay has answers. Email your...
    June 1, 2019
    © Huseu Aliaksandr | Dreamstime.com
    1906 D Elsf P01
    I was having coffee with an old friend the other day who went through a divorce about a year ago. She’s now getting back in the dating game and told me that, despite all the new...
    June 1, 2019
    Question: I plan on acquiring a practice and creating an S corporation. What are the best ways to structure the practice loan? Edward C. Challberg, MBA, MST, CPA Acquiring a practice...
    June 1, 2019
    © Igor Svetlichnyi | Dreamstime.com
    Dreamstime L 145502104
    At the end of every year, I survey my database of dental clients. There are currently 6,222 of them, though not all of them have a campaign in progress. The survey questions center...
    June 1, 2019
    Ed Cooney, CPABigger isn’t necessarily better in dental practice. In fact, the most important factor in success is quality growth that puts service and staffing first.Affinity...
    June 1, 2019
    Gregory A. Winteregg, DDS I remember the first time a patient brought me a letter from an insurance company. For all intents and purposes, this letter indicated that I had “overdiagnose...
    June 1, 2019
    Brant HermanI’m very pleased to kick off the first installment of an eight-part series titled “Teledentistry in action.” Teledentistry is an exciting technology that I want to...
    June 1, 2019
    © Shutter999 | Dreamstime.com
    Paul A. Medeiros, DMDI remember the day the insurance agent came to my house to review my insurance needs. I had just graduated from Tufts Dental School and married the light ...
    June 1, 2019
    © Tomas1111 - Dreamstime.com
    Brett Wells, DDSFor most of us, “attrition” brings to mind parafunctional habits, occlusal guards, and worn dentition. However, there is another form of attrition that we should...
    June 1, 2019
    The opportunity to witness the beginning of a pioneering development in technology is rarely encountered.1 Nanodentistry, the application of nanotechnology to dentistry, will ...
    June 1, 2019
    Photo courtesy Koelnmesse / IDS Cologne
    Advances in virtual reality software are creating opportunities for training dentists.
    The International dental show (IDS), held every two years in Cologne, Germany, is a bellwether for the dental industry, and the 2019 installment was no exception. I was fortunate...
    June 1, 2019
    1906 D Eadv P01
    Our editorial board helps us provide the latest and greatest information to our readers. Let’s meet one of them! Name: Kris Mendoza, DDS Practices at: Rocky Mountain Dental Anesthesia...
    June 1, 2019
    Thank goodness for the early adopters. We owe a great debt to the technologically inclined dentists who aren’t afraid to blaze new trails for the rest of us. Kudos to the key ...
    June 1, 2019