How strategic communication can maximize opportunities and case acceptance of minimally invasive dentistry
Kathryn DeWood, DMD
NextGen Leadership Showcase
In this article series, we’re featuring articles from the next generation of dental key opinion leaders. Find previous articles by Drs. Amisha Singh, Sarah Winter, and Nathaniel Lawson on dentaleconomics.com. Search “NextGen.”
For any given concern in dentistry, it is a service to patients to have conservative options available. If I can achieve my case goals with conservative options, that path is usually more predictable and will have a longer clinical lifespan as compared to more invasive options. Also, a conservative approach is often more appealing patients in terms of both time and financial investment. One area of conservative treatment that has had an extremely positive impact for both my patients and my practice is the treatment of white spot lesions.
White spot lesions (WSLs) are a clinical finding that I encounter frequently in my practice. Many patients with WSLs are unaware that they have treatment alternatives that are less invasive than conventional restorative dentistry. As clinicians, it is important to consider how we discuss WSL treatment with our patients. Approaching the conversation strategically can provide more opportunities for offering treatment and gaining treatment acceptance.
Discussing and treating white spot lesions
If patients mention their white spots as an esthetic concern, it’s easy for you to talk about options, as they have already given you tacit permission to do so. If they have not, it becomes your job to elicit permission. The following is the approach I take in my practice to open the door to this conversation.
After I complete an evaluation, I invite the patient to return at a later date for a complimentary discussion of findings. I organize my findings into several categories, one of which is esthetics. When I come to the esthetics category, if patients have not already expressed concern over esthetics during the initial evaluation, I say, “At your exam appointment, I know you did not express to me any concerns or unhappiness with the look of your smile, so I can skip this section entirely, unless you’d rather that I share my observations. Which would you prefer?” In the unlikely event a patient says to skip it, I skip it! It’s not for me to decide if the patient’s WSLs are a problem. This also allows me to plant the seed that esthetics is something we can come back to in the future. However, I’ve found that almost every patient will want to know what I’ve observed.Setting realistic expectations is an important part of the communication I have with my patients. The most conservative treatment option I offer is the Icon caries infiltrant system (DMG America). Because WSLs can be caused by demineralization and/or fluorosis, there are a variety of factors that determine how effective this treatment will be. I communicate clearly with my patients that the only way to know what level of success Icon will achieve for them is to try it. I have found that the minimally invasive nature of Icon treatment is a big plus for many patients, and most are willing to try Icon first even though there is a possibility that it might not completely resolve the WSLs.
I discuss with patients that without Icon, the next most conservative option would often be to physically remove the lesion with a drill and follow up with a composite restoration. If we complete Icon and achieve only partial resolution, patients may still find the change to be enough, and thus an acceptable endpoint. In this case we’re finished! However, if we achieve only partial resolution that is not acceptable to the patient, we then have the option to move forward with a composite restoration.
Even in cases where Icon does not resolve WSLs to a patient’s satisfaction, almost always some resolution is achieved. In these cases, if the patient proceeds with a composite restoration, then it will require the removal of less tooth structure than if Icon had not been used.Clinical cases
Below is a discussion of technique using the Icon system along with three examples illustrating the range of outcomes that can be achieved.
Technique
Step 1: Apply Icon-Etch (15% HCl) for two minutes. Rinse off the etchant for 30 seconds and let air dry.
Step 2: Apply Icon-Dry (99% ethanol) for 30 seconds. This is to observe the esthetic response. If the lesion has decreased significantly, then it is time to move on to step three. If not, repeat the etching process. The etching step (etching, rinsing, and drying) may be repeated up to two more times and inspected with Icon-Dry after each cycle to see if surface lesions have diminished.
Step 3: Icon Infiltrant is applied for three minutes to allow maximum penetration of material. The material is continuously placed to ensure that the surface remains wetted for the full three minutes. The contacts are flossed, and the teeth are each light-cured for 40 seconds on all sides. Repeat the application of Icon Infiltrant for one minute, floss, and light-cure for 40 seconds. The restoration is now treated like a composite restoration and polished with polishing cups and discs.
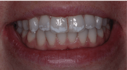
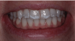
Case 1: Complete resolution
Teeth Nos. 6–11 were treated with the Icon system. Complete resolution was visualized with the Icon-Dry step after three sessions of using the Icon-Etch step (figure 1).
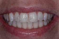
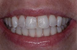
Case 2: Partial but satisfactory resolution
Teeth Nos. 6–11 were treated with the Icon system. The Icon-Etch step was completed in four two-minute sessions. After the teeth were given time to rehydrate, the patient evaluated the results and was satisfied (figure 2).
Case 3: Partial but unsatisfactory resolution
Tooth No. 8 was treated with four cycles of Icon-Etch. After the teeth were given time to rehydrate, the patient evaluated the result and was not satisfied. The patient chose to move forward with physical removal of the remaining lesion and restoration with composite resin. Estelite Omega composite (Tokuyama Dental America) in shade Enamel A2 was used (figure 3).
Summary
I encounter WSLs frequently in my practice, and Icon is a great option for addressing them in a conservative way. Because Icon is a relatively new treatment option, many patients are unaware that they have an alternative to conventional restorations. Strategically communicating what is possible while setting realistic expectations is an important part of using this treatment option. I consider Icon a valuable addition to my clinical arsenal.
Disclosure: Dr. Kathryn DeWood is a key opinion leader for DMG America. Products mentioned are used regularly in the course of everyday practice.
Kathryn DeWood, DMD, is a graduate of the Midwestern University College of Dental Medicine. She currently has a private practice in Bellevue, Washington. Her practice is focused on individualized comprehensive care.





