How do I request the best kind of zirconia crown?
I understand that there are several types of zirconia used for crowns and fixed prostheses that differ significantly in their physical properties, including esthetics. I have asked several laboratory technicians about the various types of zirconia crowns, but they usually tell me the brand name of the zirconia. The company may or may not provide physical properties about the product. Others provide a Y value. I understand that refers to the amount of yttrium oxide (yttria) combined with the zirconia powder, but what does that tell me? Several companies have named their product “esthetic zirconia.” Are they the same? I am very confused.
You and many others are confused! This question continues to arise. I recently answered a similar question for our Ask Dr. Christensen column in which I described the type of tooth preparation that is indicated for each type of restoration.1 I will attempt to clarify the zirconia situation as of the date of this publication. This confusing topic has rapidly changed in the last few months, and I hope that the new classification of restoration types described in this answer will help dentists and laboratory technicians be better able to identify the characteristics of restorations and where they should be used.
Recently, the American Dental Association (ADA) and the International Organization for Standardization (ISO) introduced a new classification for ceramic crowns and fixed prostheses. The classification was detailed in the 2018 article, “Use ADA-approved ISO standards to confidently recommend all-ceramic esthetic materials.”2
Clinical applications related to ceramic strength
The new classification is explained in this short summary of ISO 6872 and ADA Standard 69. The types of restorations are listed from weakest to strongest. Fracture toughness values represent strength—the higher the number, the higher the strength. I would recommend making a copy of this summary to help your staff understand the new classification.
• Class 1, porcelains—examples are feldspathic porcelain, low-fusing porcelain, (KIC <1.0 fracture toughness, and <100 MPa) inlays, onlays, and veneers adhesively cemented.
• Class 2, leucite glass ceramics—examples are Vita Mark II (Straumann), IPS Empress (Ivoclar Vivadent, KIC >1.0 fracture toughness, and >100 MPa) single-unit anterior or posterior adhesively cemented.
• Class 3, lithium disilicate—example is Ivoclar
Vivadent’s IPS e.max (KIC >2.0 fracture toughness, and >300 MPa) single-unit or three-unit anterior.
• Class 4, cubic-containing zirconia—examples are cubeX2 cubic zirconia (Dental Direkt), Katana STML/UTML (Kuraray Noritake), 3M Oral Care’s Lava Esthetic (KIC >3.5 fracture toughness, and >500 MPa) three-unit anterior or posterior.
• Class 5, tetragonal zirconia—examples are original BruxZir, Lava Plus (3M, KIC >5.0 fracture toughness, and >800 MPa) four or more units anterior or posterior.
Table 1 shows an image that was developed from this classification by Geoffrey Morris and 3M illustrators, modified by the Technologies in Restoratives and Caries Research (TRAC) division of the Clinicians Report Foundation, and adapted for use in Dental Economics. The chart describes the classification of ceramic crowns and fixed prostheses, including zirconia.
Gradually this information will be absorbed into our dental vocabulary and greatly assist in identifying the type of restoration you are using and when to use it. I suggest that clinicians ask their technicians about which category of restoration their product represents.
The following classifications are listed in order of increasing strength. Remember, this area of dentistry is changing quickly, so please relate the following information to the date of publication.
Class 1: Porcelains
This classification includes inlays, onlays, and veneers adhesively cemented. This category includes feldspathic ceramics used historically for porcelain jacket crowns and ceramic veneers. Currently, their most common use is low-fusing ceramic often used to add contact areas on contour-deficient restorations, and other uses. These materials are easy to apply to zirconia, lithium disilicate, or
porcelain-fused-to-metal restorations. This is the weakest of the ceramic categories and requires the strength of resin cement.
Class 2: Leucite glass ceramics
These ceramics have been used successfully for decades. Many were placed in the initial CEREC years and are still serving. IPS Empress is still used as one of the most esthetic materials ever available in dentistry. When bonded to acid-etched enamel, it has served very well. In spite of the strength being significantly lower than IPS e.max or zirconia, these materials are still used with success, although the following classifications are currently the most commonly used.
Class 3: Lithium disilicate
The success of this material is unprecedented as an all-ceramic single-crown restoration, and its esthetic properties are excellent. Millions of these restorations have been and continue to be used as single-crown restorations. Although lithium disilicate is indicated for use in three-unit fixed prosthesis restorations for anterior teeth and premolars, some fractures have occurred. Zirconia is beginning to replace lithium disilicate in areas of high occlusal stress. If the tooth preparation is at least 1 mm thick on the axial walls and 1.5 mm thick on the occlusal portion, and the patient is highly caries active, resin-modified glass ionomer cement can be used. However, resin is the most popular and strongest cement for these restorations, in spite of its not being cariostatic.
Class 4: Cubic-containing zirconia
This classification is currently in total flux. It has the potential to provide enough strength for both single-crown and multiple-unit restorations. Every company is attempting to find the exact amount of oxide to add to the original Y3 (3 molar percent yttrium oxide) to improve esthetics and not depreciate the transformation toughening (resistance to increasing growth of small cracks during service). Y3 zirconia has been used in the dental industry for more than 25 years with success, and it has high transformation toughening. The addition of more oxides to this generation of zirconia has decreased this property and produced less resistance to fracture.
Ongoing research is still in progress, and only long-term clinical research will validate or negate how much the Y3 formulation can be altered. I suggest considering the next classification as the currently proven zirconia formulation, and you will see that it can be esthetically acceptable when the described techniques are used.
Class 5: Tetragonal zirconia
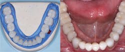
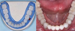
This classification is what you will remember as the original BruxZir and similar Y3 products, which, in spite of original poor esthetics, has had phenomenal long-term success. What is being done to this classification to retain strength and improve esthetics? Please observe Figures 1 and 2.
Can you determine which crowns are Y3 zirconia and which are lithium disilicate? I doubt it. The molars for this patient have been stained with ions at the presintered stage, and the color is not on the surface of the restorations. Also, these crowns have not been glazed or stained externally. They are polished only.
Some of the original studies using presintered pigments slightly lowered the Y3 strength. However, the addition of ions is different. Ions are incorporated into the presintered zirconia and remain after the final sintering step. Thus, you can expect Y3 zirconia to have adequate color and strength. Until additional conclusive long-term clinical studies are finished, Class 5 zirconia remains a logical and proven zirconia alternative.
Summary
A new classification for ceramic restorations has been produced by the ISO and the ADA. It brings organization to this extremely confusing subject and provides guidance to practitioners in selecting the type of material to be used in specific clinical situations. Zirconia and lithium disilicate are now the most frequently used materials for crowns and fixed prostheses.Author’s note: The following educational materials from Practical Clinical Courses will offer more insight into this topic. For details, call (800) 223-6569 or visit pccdental.com.
One-hour videos:
- Crowns—Materials and Techniques for the Best Results (Item No. V1987)
- Foolproof, Fast Single-Crown Procedure (Item No. V1980)
Two-day hands-on course:
- Restorative Dentistry 2—Fixed Prosthodontics with Dr. Gordon Christensen
References
1. Christensen GJ. Making optimal zirconia crowns. Dental Economics website. https://www.dentaleconomics.com/science-tech/article/16386261/making-optimal-zirconia-crowns. Published May 1, 2019.
2. Morris G. Use ADA-approved ISO standards to confidently recommend all-ceramic esthetic materials. J Dent Technology. 2018;6:22-24.
About the Author

Gordon J. Christensen, DDS, PhD, MSD
Gordon J. Christensen, DDS, PhD, MSD, is founder and CEO of Practical Clinical Courses and cofounder of Clinicians Report. His wife, Rella Christensen, PhD, is the cofounder. PCC is an international dental continuing education organization founded in 1981. Dr. Christensen is a practicing prosthodontist in Provo, Utah.


