Economically and clinically leveraging implantology in your solo practice, DSO, or private group practice
Steve Williams, DDS, AFAAID
Mike Dostal, DDS, FICOI
I entered the world of implant dentistry through the back door. Throughout his career, my father was a very progressive dentist in placing subperiosteal and blade implants. As we know, most dentistry has a limited shelf life; therefore, when my father retired and I took over, fresh out of dental school 30 years ago, I got to remove those stubborn blades and subs! Yes, it was an education worth its weight in our small town. Back then, the cost of placing implants was hard to justify due to the complexities and expenses of stocking our supply shelves for the limited times we could use them. As the young people say about such thinking now . . . not!
Today, with the great research and technical advancements being made, implant dentistry should be a mainstay in the general dentists’ toolbox of resources to help them give the best care to their patients. Both the product and procedure sides of implant dentistry have vastly transformed over the last few years. A savvy dentist can benefit greatly from these transformations. This six-part series seeks to uncover these treasures.Recently, a group of implant-geared dentists, including myself, embarked on a journey to visit the world’s top implant manufacturers. Our goal was to discover world-class implant products at manufacturers’ direct pricing. We did this because, collectively, we spend millions of dollars annually on implants, components, and the associated lab work. We divided the workload, toured the manufacturing facilities, and interviewed the implant engineers, who predominantly produce implants and components for the big-name implant companies with which all of you are familiar (figures 1–6).
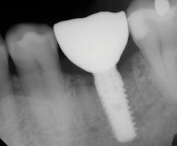
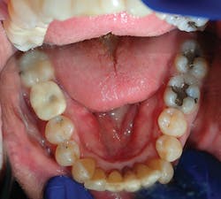
Being a network of small- to medium-sized private practice groups, we negotiated volume pricing on our favorite suite of manufacturer-direct systems. It is these systems that were uncovered during this process that we will highlight in the clinical portions of this series. We secured high-volume, manufacturer-direct, DSO-like pricing, and we call ourselves the Implant Alliance.In our practice of four dentists in Allen, Texas, we have been very intentional about making sure we can deliver incredibly high-quality dentistry at affordable rates for our patients. The case shown this month (figures 7–12; courtesy of Mike Dostal, DDS, FICOI) represents a very typical “I just need my tooth replaced” kind of day in our office. You see a patient in hygiene who has been missing a tooth for years and just didn’t want a bridge. Now, we can offer a simple appointment to place a flapless, sutureless implant, and the patient probably can go right back to work the same day.
The implant systems that satisfy this challenge the best for us are the iHex 1, 2, and 3 and MorsTorq systems by iH Biomedical. The iHex series is an internal hex that is compatible with most of the major internal hex systems. It incorporates platform switching, which allows for crestal or subcrestal placement. The designers created a multicompatibility surgical kit that minimizes the number of drills (often just one needed) used to place and restore the implants. The platforms are the same across most sizes, which reduces the number of abutments that must be stocked. Also, the implant, abutment, and cover screw are all included. These design features place this system at the top of the list when it comes to economics and excellence rolled into one package.
This paradigm shift from both the product and procedure side of implant dentistry was the catalyst to launch the Dallas Implant Institute, which now allows all of us to enjoy bulk discount pricing that used to be reserved only for the larger dental group practices. Visit this website for instructional videos: ihprocedures.com.Having just acquired a second location and adding another dentist to our group, we have a game-changing advantage adding some of these breakthrough procedures to our clinical suite. The other paradigm shift in the implant market that has helped immensely is the pricing decreases and commoditization of the physical implant products, components, and implant lab work. I have mirrored a comparison of those costs based on what seems to be the average cost of many of my acquaintances versus what our group is currently paying for these line items (table 1).
Table 1: Manufacturer- and lab-direct pricing for the independent group practices of
Drs. Mike Dostal and Steve Williams
|
Implant placement |
|
|
One hour of doctor chair time |
Variable cost |
|
Cost of implant |
$98 |
|
Implant restoration |
|
|
One hour of doctor chair time |
Variable cost |
|
Cost of implant |
$41 |
|
Cost of custom |
$180 |
|
. . . or cost of hybrid screw-retained crown |
$59 |
|
Total manufacturer-direct cost |
|
|
$198 (implant, abutment, and crown) |
|
|
Total retail cost for same procedure * |
|
|
$800 +/- (implant, abutment, and crown) |
|
* Comparison information taken from a previous Dental
Economics article on implant overhead from 20181
As private-practicing dentists continue to feel the high-overhead squeeze, it is my hope that our insight will help you drop a few percentage points. In part two of this series, we will dig more deeply into implant overhead and bring some implant nuggets to the table with regard to atraumatic extractions and immediately placed implants.
Reference
1. Moody JD. Determining implant fees. Dental Economics website. https://www.dentaleconomics.com/science-tech/diagnostic-imaging-and-cbct/article/16385195/determining-implant-fees. Published August 1, 2018.
STEVE WILLIAMS, DDS, AFAAID, is a second-generation dentist and a 1987 graduate of the Baylor College of Dentistry. He is a credentialed member of the American Academy of Implant Dentistry and founder of the Dallas Implant Institute. He currently practices in a group practice with his brother and son, who just recently graduated from the Texas A&M College of Dentistry. Contact him at allendentist.com or dallasimplantinstitute.com.
MIKE DOSTAL, DDS, FICOI, is recognized as an expert in comprehensive restorative treatment using implants, full-arch implants, full-mouth reconstruction, and orthodontics. He has invested hundreds of hours in implant and full-mouth reconstruction training. This routinely takes him across the continental US and abroad to assimilate the latest research and techniques. He is a fellow in the International Congress of Oral Implantologists. Contact him at kcimplantinstitute.com.











