• Home >
  • Back Issues >
  • Dental Economics >
  • Volume 106, Issue 11
  • Volume 106, Issue 11

    More content from Volume 106, Issue 11

    Dreamstime Xxl 6862959
    The Section 179 deduction isn't the only strategy for tax savings through large dental equipment purchases. Tim Hepburn explains why.
    Nov. 15, 2016
    1611dechr P01
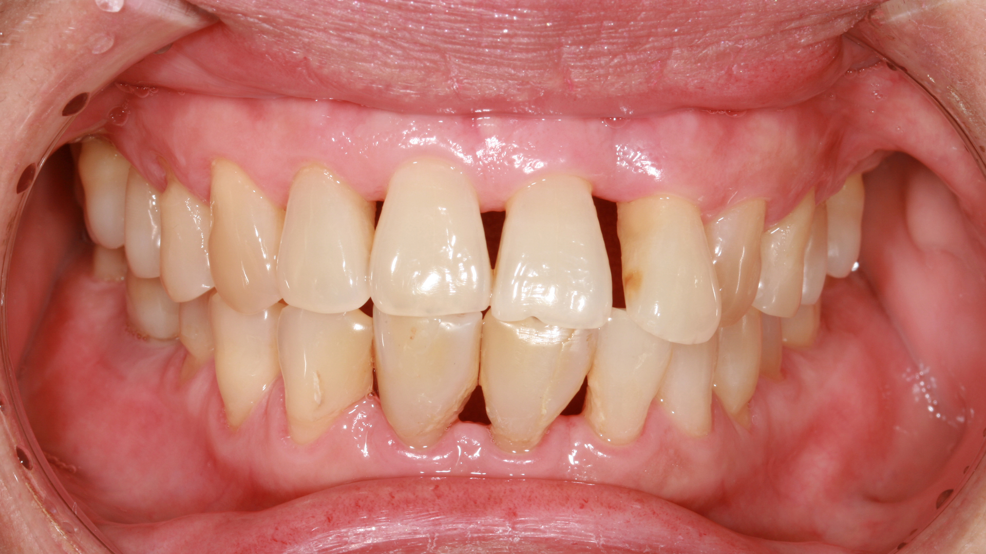
    Dr. Gordon Christensen answers a reader's question about pulp capping. Here, he covers the definition of direct and indirect pulp caps, steps in the indirect pulp cap procedure...
    Nov. 15, 2016
    1611de 76
    Confusion about dental instrument processing can involve areas such as the efficacy of hand scrubbing versus mechanical cleaning of instruments, integration of instrument cassettes...
    Nov. 15, 2016
    1611dedeu P01
    Drs. Allan S. Deutsch and Barry L. Musikant explain how endodontic posts work and how endodontics research demonstrates that a split-shank design withstands higher functional ...
    Nov. 15, 2016
    1611depla P01
    Hypersensitivity after the placement of direct resin restorations is an unwelcome outcome for the dental practitioner. It can result in disruptions in a schedule and unhappy patients...
    Nov. 15, 2016
    118975877 | watanyou | iStock / Getty Images Plus
    Microsoft Teams Image (43)
    Dr. Tina Beck discusses the Pinhole Surgical Technique, a minimally invasive treatment option to reverse gingival recession without grafting or sutures.
    Nov. 15, 2016
    Dr. J. Timothy Wright explains the evidence-based research regarding dental sealants and gives his professional opinion about their safety and efficacy.
    Nov. 15, 2016
    1611desan P01
    Of all your expenses, which one should be your greatest concern? The most important expense for dentists is their time. There's a way to better manage your time and expenses in...
    Nov. 15, 2016
    Joshua Austin, DDS, FAGD, talks about how dental materials have changed over the years, and consequently so should the dental handpieces we use.
    Nov. 15, 2016
    01 Anutra
    November 27–30 | New York, New YorkAnutra MedicalBooth 5215The Anutra Local Anesthetic Delivery System is a revolutionary way to simply buffer local anesthetics. With buffering...
    Nov. 15, 2016
    1611de 54
    In part two of a series, Gary looks at how the Treatment Decision Matrix helps increase case acceptance.
    Nov. 15, 2016
    Patient service can make or break a dental office, and it's often overlooked in many cases. Most of the time, as consumers ourselves, we feel like an anonymous ticket that needs...
    Nov. 15, 2016
    Hiring the right people for the positions in your practice is never easy. But the consequences of retaining "toxic" team members are high. Jay Geier details the identifying characterist...
    Nov. 15, 2016
    While identifying areas of risk in your dental practice isn't usually a matter of life and death, the consequences can still be dire. The increasing number of government audits...
    Nov. 15, 2016
    The smoothest dental practice transitions involve careful planning and excellent communication between the parties. I can't emphasize planning enough! The most successful dental...
    Nov. 15, 2016
    I want to know if a seller of a dental practice has had any legal or ethical issues before I get married to the practice. Is there a way to run a background check on a dentist...
    Nov. 15, 2016
    Nowadays, learning about dental employee activity outside of work is easier than ever before, which is both a blessing and a curse. But what a dentist-boss does with that information...
    Nov. 15, 2016
    Dentist Clipboard
    The Medicare deadline for Delta Dental and other dental insurance companies is rapidly approaching: January 1, 2017. Are you prepared? Louis Malcmacher, DDS, MAGD, explains what...
    Nov. 15, 2016
    Dreamstime Xxl 30917640
    PostcardMania's Joy Gendusa gives tips on best (and worst) practices for postcard campaigns, website content, and general marketing strategies.
    Nov. 15, 2016
    Dreamstime Xxl 31313628
    According to Naomi Cooper, "'Content marketing' is definitely a hot buzzword, but it's also a fundamental component of a dentist's overall online strategy." Find out how any dentist...
    Nov. 15, 2016
    Piz4
    What do conflict management, dental practices, and horses have to do with each other? According to this dentist, quite a lot, especially if you want to improve your bottom line...
    Nov. 15, 2016
    © Chokchai Namthip | Dreamstime.com
    Dreamstime Xxl 148264163
    Dentists: Are you asking the right interview questions before hiring employees? Do you check references and look at employees' past emplloyment history? Some simple steps will...
    Nov. 15, 2016
    To increase your dental practice production, you don't have to work more. You just need to find hidden capacity and put it to good use.
    Nov. 15, 2016
    1611denel P01
    The Open Door Foundation is a federally registered organization based in Edmonds, Washington, that I started about 10 years ago with a few friends and family.
    Nov. 15, 2016
    Us Capitol Building
    Bart Walker, JD, LauraLee R. Lawley, JD, and Anthony M. Del Rio, JD, provide an update on the evolving regulation of dental service organizations (DSOs) in the United States at...
    Nov. 15, 2016
    Chris Josh Img 6424
    While many employees are deserving of our praise, there are some who are undeserving of our trust. Chris Salierno, DDS, chief editor of Dental Economics, explains his philosophy...
    Nov. 15, 2016