header logo Dental Economics

Turning dental expertise into practice success for over 100 years

  • Practice
  • Clinical + Tech
  • Money
  • Podcast
  • Continuing Education
undefined mega-logo
Sections
Practice
Clinical + Tech
Money
Podcast
Continuing Education
Special
Digital Events
Magazine
Videos
DE Solutions Lab
White Papers
Free Samples
Innovator Awards
Contact
About Us
Advertise
Contact Us
Newsletters
Subscribe
Submission Guidelines
Affiliated Brands
RDH UNDER ONE ROOF
DENTISTRYIQ
PERIO-IMPLANT ADVISORY
RDH
Follow us on
https://www.facebook.com/DentalEconomics
https://www.instagram.com/dentaleconomicsofficial/
https://www.linkedin.com/company/dental-economics?trk=biz-brand-tree-co-name
https://twitter.com/DentistryIQ
https://www.youtube.com/channel/UCm8U6hZE-uCLCEx_MSs7fpw

Cosmetic Dentistry and Whitening

Credit: ArtistGNDphotography
Patient getting their teeth whitened
Cosmetic Dentistry and Whitening

Why patients want to trust science more than influencers when it comes to oral care products

A dental brand expert discusses upcoming trends in the dental product market—including tooth whitening, a shift toward scientifically backed products, and what patients want to...
Jan. 12, 2026
a smile with teeth outlined
Cosmetic Dentistry and Whitening

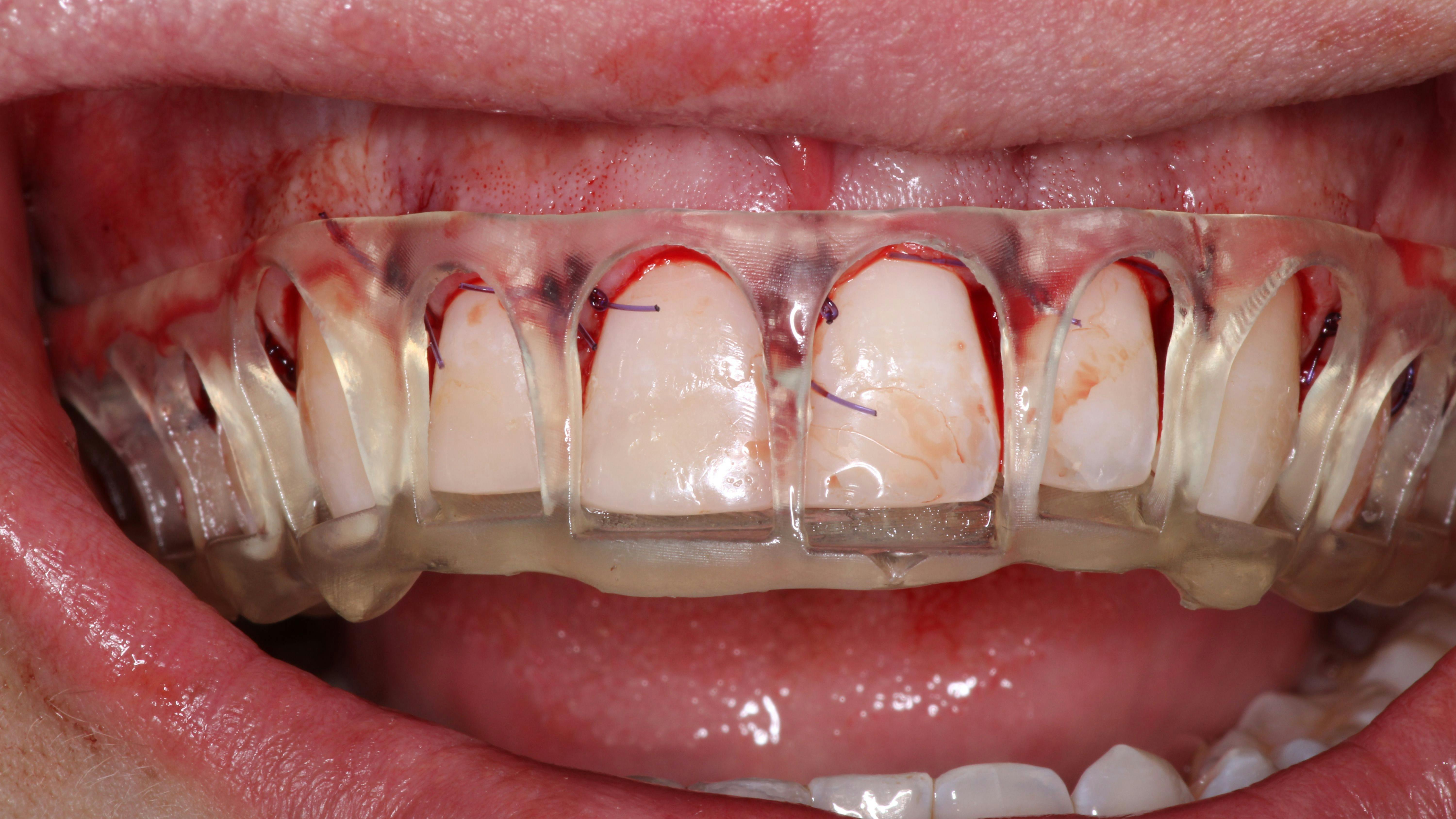
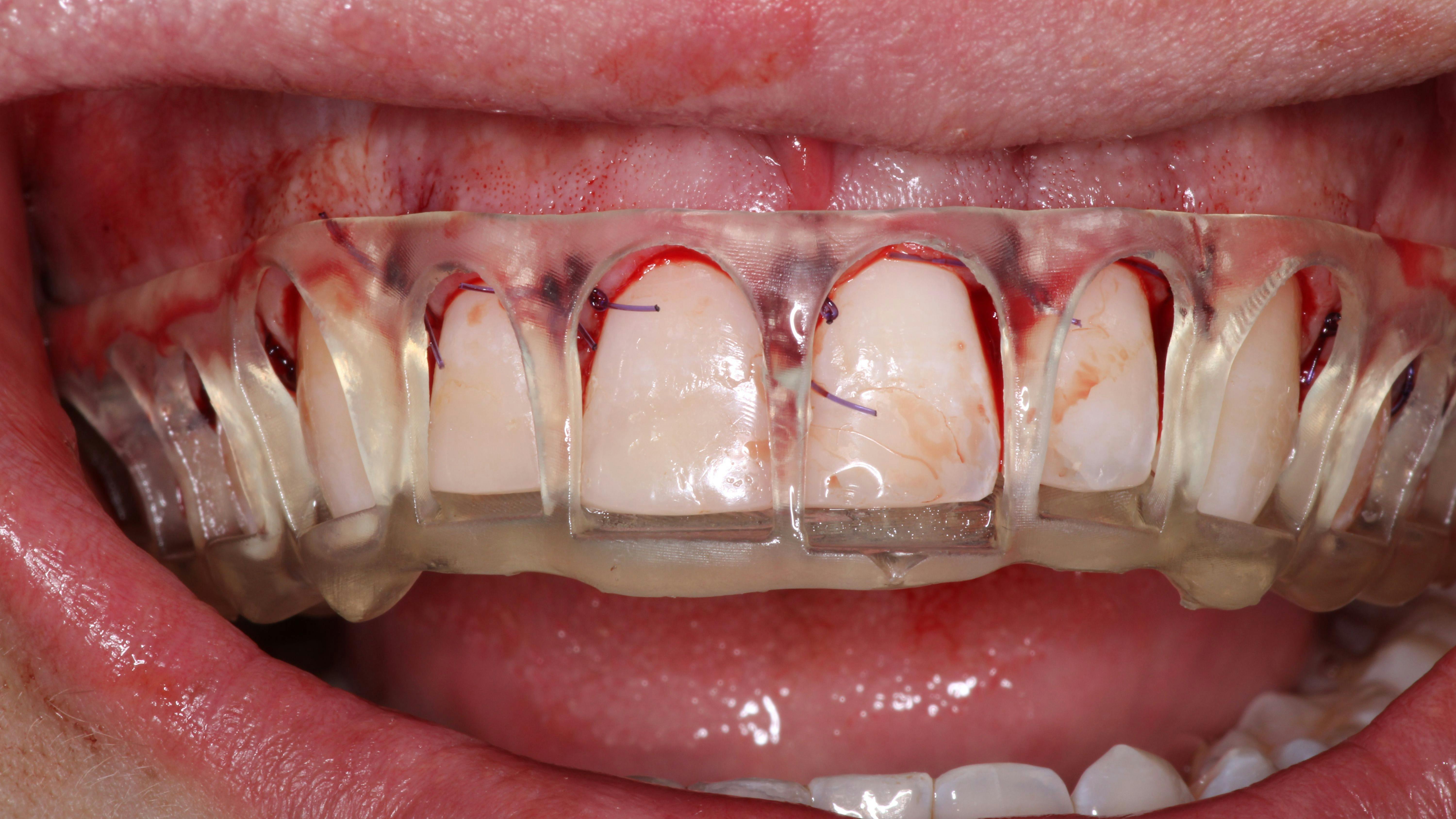
Determining gingival margin position

Dec. 4, 2025
primary
Cosmetic Dentistry and Whitening

Enamel microabrasion: A 40-year retrospective

Sept. 8, 2025
Image courtesy of Ross W. Nash, DDS
After Post-Op Direct Veneers using OMNICHROMA (Tokuyama Dental America)
Cosmetic Dentistry and Whitening

Strategies to engage patients in conservative cosmetic dentistry using composite veneers

Aug. 17, 2025
Two polaroid photos showing a dental case before and after treatment
Cosmetic Dentistry and Whitening

Transforming smiles: The art and science of full-mouth rehabilitation

July 16, 2025
1904dearc P02
Clinical + Tech

Predictable techniques for single provisional veneers

June 5, 2025
placing silver diamine fluoride on a dental patient
Clinical + Tech

Rethinking silver diamine fluoride in cosmetic restorative dentistry

May 22, 2025
cosmetic dentistry crown lengthening
Cosmetic Dentistry and Whitening

Utilizing a digital workflow for cosmetic crown lengthening, an economical and efficient must-have tool

Feb. 18, 2025
1954104912
lead turrini
Cosmetic Dentistry and Whitening

Adhesive cementation of veneers: A key to success or a path full of pitfalls?

Feb. 11, 2025

Looking for Something?

footer logo Dental Economics
For more than a century, Dental Economics has been the definitive resource for dentists seeking to transform their clinical skills into business success, offering trusted guidance on practice management, emerging technologies, and industry trends.
Newsletters
The top stories, industry insights and relevant research, assembled by our editors and delivered to your inbox.
Connect
Follow us for the latest industry news and insights.
https://www.facebook.com/DentalEconomics
https://www.instagram.com/dentaleconomicsofficial/
https://www.linkedin.com/company/dental-economics?trk=biz-brand-tree-co-name
https://twitter.com/DentistryIQ
https://www.youtube.com/channel/UCm8U6hZE-uCLCEx_MSs7fpw
Affiliated Brands
RDH UNDER ONE ROOF
DENTISTRYIQ
PERIO-IMPLANT ADVISORY
RDH
  • About Us
  • Advertise
  • Do Not Sell or Share
  • Privacy Policy
  • Terms & Conditions
EndeavorB2B Logo
© 2026 All rights reserved.