Transforming smiles: The art and science of full-mouth rehabilitation
A 53-year-old woman presented with severe dental issues, including extensive wear, decay, multiple missing teeth, and a pronounced deep class II malocclusion. Her significant dental anxiety further complicated her case.
Determined to restore her oral health, she embarked on a carefully planned treatment journey guided by a compassionate dental provider. A strong foundation of trust was established, and a meticulously detailed treatment plan was developed using digital technology and mock-ups to keep her engaged and well-informed throughout the process.
Initial assessment and digital records
The treatment began with a comprehensive digital record acquisition process. An advanced iTero scan captured precise images of her upper and lower arches, along with maximum intercuspation (MIP) records, creating an accurate digital model. High-resolution digital photography using a Canon Rebel T3 with a dual flash setup, along with precise facebow records on a Sam 3 articulator, ensured seamless communication with laboratory technicians.
A holistic smile design plan was presented using Keynote and PowerPoint that addressed esthetic, functional, structural, and biological factors to facilitate transparent communication between the patient and interdisciplinary team (figures 1-6).
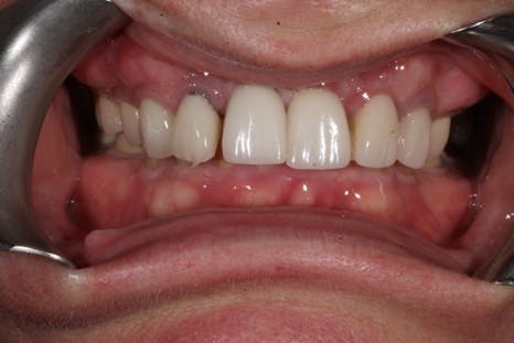
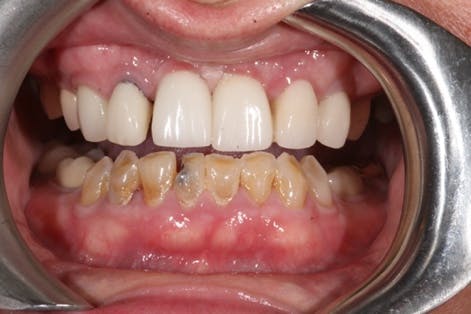
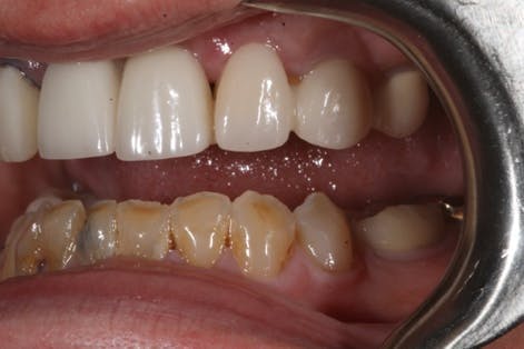
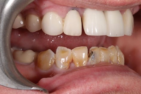
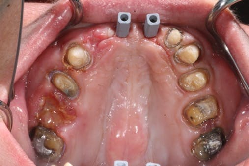
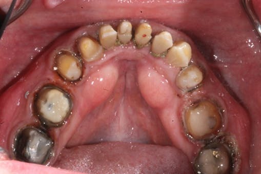
Figures 1–6—The patient before treatment:
Vertical dimension of occlusion (VDO) correction
To correct her collapsed VDO, a 1.5 mm to 2 mm bite adjustment was made using exocad software. Chairside temporaries were fabricated from a matrix derived from the printed digital model. Primescan from Dentsply was used to scan the preparations for lab-designed temporary restorations, ensuring an accurate assessment of the new VDO.
The appropriate VDO was initially determined by placing composite on the lower anterior teeth and evaluating it chairside. With this information, the team proceeded with preparation and temporization. Temporization was crucial in establishing a functionally and esthetically optimal VDO. Primescan provided margin details to the lab for more precise restorations, while a leaf gauge ensured accurate centric occlusion for predictable results and proper jaw alignment.
Treatment plan and execution
An alternative treatment option was presented involving the removal of all nonrestorable teeth and the use of a removable partial instead of implants. However, the patient understood that VDO rehabilitation was essential for achieving an ideal functional occlusion, regardless of the chosen approach.
The treatment proceeded in multiple phases, requiring necessary extractions and immediate implant placements at sites nos. 10 and 14. Initially, a cantilever was temporarily attached to no. 11 at site no. 10. Once the implant was fully integrated and ready for loading, an Essix retainer from the mock-up was used to create temporary screw-retained crowns chairside.
A temporary abutment was placed, and the Essix was modified to allow occlusal access to the screw. After ensuring a proper fit, the temporary abutment was removed for microabrasion and bonding with temporary material. Once secured in the mouth, access was protected to prevent material impingement, and an ideal emergence profile was sculpted using flowable material to promote optimal tissue healing.
Temporary and final restorations were designed to balance esthetics and function, emphasizing proper occlusion and jaw alignment. The patient wore lab-fabricated temporaries for three to four months to ensure muscle and condylar joint adaptation before transitioning to permanent restorations (figures 7-14).
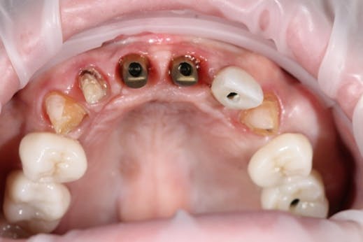
Figures 7–10—Prep/tissue contouring for ideal papilla:
Figures 11–14—Digital mock-up/temporary phase:
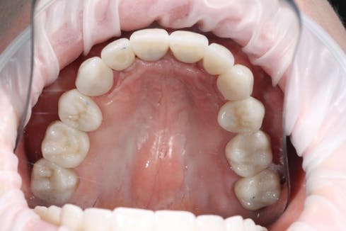
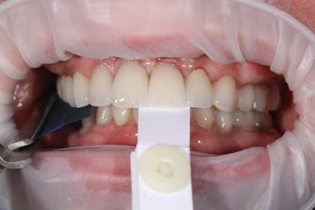
Final restorations and outcome (figures 15-20)
During the VDO testing phase, the integration period allowed for thorough tissue molding using a temporary implant abutment and screw-retained implant crown. This facilitated papilla development and emergence profile, ensuring the implant restorations seamlessly blended with the natural dentition for both stability and esthetic coherence.
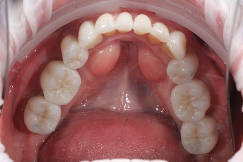
Figures 15–20—The final results and a thrilled patient:
After wearing provisional restorations for four months, the patient received her final restorations, including zirconia crowns and veneers, completing her smile transformation. Ivoclar SpeedCem neutral cement was used to secure the restorations. A leaf gauge was used to ensure CR occlusion with final restorations (figure 21). The outcome was a harmonious, functional dental restoration that met the patient’s expectations, providing both stability and esthetic appeal.
Author's note: I'd like to thank my master ceramist, Sean Han, CDT, at Masters Arch Dental Lab, who did a marvelous job on this case.
Editor's note: This article originally appeared in DE Weekend, the newsletter that will elevate your Sunday mornings with practical and innovative practice management and clinical content from experts across the field. Subscribe here.
About the Author

Hibret Benjamin, DDS
Hibret Benjamin, DDS, has more than 20 years’ experience. She established Marina Tooth Fairy Dental in San Francisco, where she’s provided dental care for nearly two decades. She’s an assistant clinical professor at UCSF School of Dentistry, and has served on various San Francisco dental boards, including the peer review committee, and currently holds positions on the AAUCSF Board of Directors and the Dean’s Council for the School of Dentistry. She was honored with the Medal of Honor for her dedication to mentoring.























