Predictable techniques for single provisional veneers
Porcelain veneers are a very conservative treatment for changing the shape, shade, and contour of teeth without resorting to full-coverage restorations. These restorations rely upon the bond between enamel and the porcelain veneer.1-3 Fabrication of provisional restorations for veneers can be a time-consuming and difficult task. The minimal reduction typically done and fragility of the thin temporaries make the process even more challenging.4-6
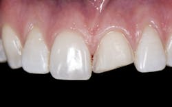
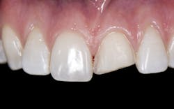
Figure 1: Veneer preparation
This is an important step in the smile design process. The patient has specific expectations that need to be communicated, and there should be a test drive with provisional restorations to ensure proper esthetics and function prior to fabrication of the final porcelain veneers.7-8
Figure 2: Diagnostic wax-up
There are a number of techniques for veneer temporization. Some clinicians prefer using the shrink-wrap technique, where the provisional is made on the prepped teeth and not removed. This approach is acceptable but has the challenge of needing to remove any flash from the margins in the mouth with a bur without damaging the already impressed preparations.9
Figure 3: LuxaTemp Ultra injected into a PVS matrix
Bis-acryl resin temporary materials have become the material of choice for veneer provisionals due to excellent mechanical and optical properties, marginal adaptation, polishability, and favorable add-on properties. This article describes a direct-indirect technique for fabrication of provisional veneers.10
Figure 4: Removal of the matrix for trimming of excess material
Case study
A 26-year-old patient presented with an old composite veneer on tooth No. 9. Composite was removed and preparation for a new veneer was finalized (figure 1). All margins were in sound enamel. A putty matrix of the diagnostic wax-up was done using Honigum Pro Putty (DMG America) and light body to capture surface details (figures 2 and 3).
Figure 5: Provisional veneer
A bis-acryl temporary material was dispensed into the putty matrix to fill the facial surface (Luxatemp Ultra; DMG America). The filled matrix was inserted into the patient’s mouth (figure 4). The provisional veneer was removed from the patient, and excess material was trimmed extraorally with carbide finishing burs and polished (figure 5).
Figure 6: Cementation with TempoCem ID
After that, the tooth surface was spot etched, and the provisional veneer was cemented using dual-cure, clear, temporary luting agent (TempoCem ID; DMG America; figure 6). Excess material was removed, and occlusion was verified (figures 7 and 8).
Figure 7: Cleanup of excess cement
Conclusion
Direct fabrication of temporary veneers can be time-consuming. This technique allows the clinician to fabricate provisional veneers easily, quickly, and precisely. It creates a high-esthetic restoration that can satisfy patient needs and stay in place until final cementation with excellent gingival health, while allowing for easy removal.
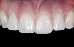
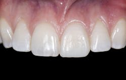
Figure 8: Completed provisional veneer
Editor's note: This content was originally published in 2019 but has been updated as of June 2025.
References
1. Garber DA, Goldstein RE. Porcelain Laminate Veneers. Chicago, Illinois: Quintessence Publishing Company;1988:11-13.
2. Calamia JR. Materials and technique for etched porcelain facial veneers. Alpha Omegan. 1988;81(4):48-51.
3. Gresnigt MM, Kalk W, Özcan M. Clinical longevity of ceramic laminate veneers bonded to teeth with and without existing composite restorations up to 40 months.Clin Oral Investig. 2013;17(3):823-832. doi:10.1007/s00784-012-0790-5.
4. Gürel G, Sesma N, Calamita MA, Coachman C, Morimoto S. Influence of enamel preservation on failure rates of porcelain laminate veneers.Int J Periodontics Restorative Dent. 2013;33(1):31-39.
5. Gürel G, Morimoto S, Calamita MA, Coachman C, Sesma N. Clinical performance of porcelain laminate veneers: outcomes of the aesthetic pre-evaluative temporary (APT) technique. Int J Periodontics Restorative Dent. 2012;32(6):625-635.
6. Gürel G. Porcelain laminate veneers: minimal tooth preparation by design. Dent Clin North Am. 2007;51(2):419-431, xi.
7. Magne P, Magne M. Use of additive waxup and direct intraoral mock-up for enamel preservation with porcelain laminate veneers. Eur J Esthet Dent. 2006;1(1):10-19.
8. Cho SH, Nagy WW. Labial reduction guide for laminate veneer preparation. JProsthet Dent. 2015;114(4):490-492.
9. Raigrodski AJ, Sadan A, Mendez AJ. Use of a customized rigid clear matrix for fabricating provisional veneers. J Esthet Dent. 1999;11(1):16-22.
10. Magne P, Belser UC. Novel porcelain laminate preparation approach driven by a diagnostic mock-up. J Esthet Restor Dent. 2004;16(1):7-16.
About the Author

Celin Arce, DDS, MS, FACP
Celin Arce, DDS, MS, FACP, a board-certified prosthodontist, received his dental degree from University Latina of Costa Rica. He completed a residency in advanced prosthodontics at the University of Alabama (UAB) at Birmingham and a master of science in clinical dentistry. A diplomate of the American Board of Prosthodontics and fellow of the American College of Prosthodontists, Dr. Arce serves as assistant professor of the restorative sciences department at UAB School of Dentistry.








