If and when should vertical dimension of occlusion be increased?
Gordon J. Christensen, DDS, MSD, PhD,
Q+A
In this monthly feature,
Dr. Gordon Christensen addresses the most frequently asked questions from Dental Economics readers. If you would like to submit a question to Dr. Christensen, please send an email to [email protected].
Q
I was taught in dental school that vertical dimension of occlusion (VDO) should not be increased when accomplishing restorative dentistry or removable prosthodontics, but I often observe it appears opening VDO would be advantageous for specific patients. What is the general consensus of opinion on this subject? If opening VDO, when should it be done and, more importantly, how should it be accomplished?
A
This is an age-old question, and there are many beliefs and opinions on the topic. I will provide my own conclusions on the subject, as well as several techniques that I personally use for this important procedure in dentistry.
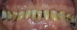
It is obvious to all dentists that a significant portion of their patients have worn their teeth so severely that they are nearly destroyed (figure 1).If you are treating such a patient, how could you possibly restore the occlusion without opening the VDO? When restoring patients with maxillary and mandibular complete dentures, how do you locate an appropriate VDO for their specific situation (figure 2)?
Characteristics of ‘normal occlusion’ in dentulous patients
To make understanding this relatively complex subject easier, the following statements represent my observations and research on so-called “normal occlusion.” I will discuss primarily dentulous patient conditions, but many of the same techniques to determine VDO are similar in edentulous patients.
- Canine rise is present in about 75% or more of patients.
- Canine rise discludes all of the posterior teeth.
- A shift from centric relation (CR) to maximum intercuspation position (MI) is almost always present.
- CR to MI shift is nearly always forward and closed about 1 mm.
- 60% to 70% of patients do not have severe bruxing/clenching habits.
- Typical patients can open their mouth the width of three fingers. An average is about 40 mm from maxillary to mandibular incisors.
- Incisal guidance is present in almost all people.
- Incisal guidance discludes all posterior teeth.
- Non-working contacts are not present.
- Curve of Spee forms slight arch from anterior to posterior.
- Curve of Wilson forms slight arch from right to left.
- Connect Curve of Spee and Curve of Wilson, and that arc creates the Sphere of Monson, with a radius of four inches.
Figure 1: Worn teeth are a commonly observed condition in at least 30% of adult patients. When restoring the dentition with either crowns or removable dentures, opening vertical dimension of occlusion is usually indicated and sometimes mandatory.
Figure 2: Edentulous patients pose significant planning needs to determine proper vertical dimension of occlusion. The simple techniques described in this article allow adequate determination of this important physiologic and esthetic position.
Any deviation from the above statements should stimulate clinicians to determine whether the differences are causing any physiologic or esthetic damage. If there are challenges, these differences should be corrected before accomplishing restorative treatment.
The major reason to consider opening VDO is wear of the natural or artificial teeth and apparent closure of the VDO when evaluated using the above criteria.
I will use very simple and easily evaluated techniques to guide you in determining VDO. The following technique is useful for those patients who appear to have or have had a relatively normal occlusion (not a severe Class II or Class III malocclusion).
Finding rest position
Start with the patient’s lips slightly touching. Without moving the mandible, have the patient gently place the tongue forward and have the person estimate the amount of space between the maxillary and mandibular teeth. Most patients have about 4 mm of space (about 1/8 to 1/4 inch). The space is “freeway space” and the position is “rest position.”
Another speech evaluation provides similar results. Have the patient say the name “Emma.” The lips will automatically touch. Have the patient stop closing while making the “m” sound, and place the tongue forward. The space between the maxillary and mandibular teeth is again “freeway space.”
Approximating correct vertical dimension of occlusion
The next speech test provides a way to estimate mandibular closure that is almost the correct VDO. Have the patient say “Mississippi” and stop the mandibular movement on the “s” sound. Part the lips without moving the mandible. How far apart are the teeth? The distance varies, but is usually about 1 mm to 2 mm.
Measuring vertical opening in a dentulous patient
A measurement method that can be used to determine VDO is to measure from the cementoenamel junction (CEJ) or gingival margins of the maxillary central incisors to the CEJ or gingival margins of the mandibular central incisors. This distance is then compared to the 18 mm to 20 mm average distance seen in a dentition of unworn teeth and a Class I malocclusion. If this distance is less than 18 mm, it probably indicates a loss of vertical dimension and is, therefore, a rationale for increasing the VDO.
Evaluating potential opening of vertical occlusion
If an occlusal splint or prosthodontic bite block opening is being evaluated to see if VDO is correct, a simple muscle test can indicate correct opening. Place the splint or bite block in the mouth, and have the patient bite on it. Place your fingers on the temporalis muscles while the patient is biting. If the opening is excessive, the temporalis muscles have little or no activity when biting, and the masseter muscles have greatly reduced activity. Such limited muscle activity should indicate the necessity to reduce the VDO to allow the temporalis and masseter muscles to fully function.
Determination of correct vertical dimension of occlusion for a patient with a worn dentition
Place a full-arch maxillary or mandibular splint made at the tentative correct opening. The amount of opening can be initially observed by measuring the amount of missing tooth structure present and approximating how much occlusal thickness the new restorations will need. Estimate how much occlusal tooth structure can be removed when making the crown preps. About 2 mm of restorative material per arch in the area of the second molar teeth will be needed. Estimate how much thickness the splint must open the mouth to provide this amount of crown occlusal thickness. Accomplish the test described previously. Seldom have I seen a patient with a severely worn dentition who could not tolerate such an opening.
Determination of correct vertical dimension of occlusion for an edentulous patient
Make occlusion rims (bite blocks) at the estimated tentative VDO. Trim and adjust them. Use the speech tests described above. If all of them work, you probably have identified correct VDO. If any of them fail, reduction or an increase of the VDO is probably indicated. If the bite blocks hit when the patient is saying any “S” sound, the VDO must be reduced. If there is much more than 1/8 to 1/4 of an inch of opening in rest position, the VDO should probably be increased with the following exception—patients who have worn dentures for many years and have apparent collapsed VDO should not be opened excessively. They will usually not tolerate the new significantly opened VDO.
The previous information is highly empirical but quite effective. After numerous determinations of either dentulous or edentulous VDO positions, the concepts described become easy to use.
Summary
Opening vertical dimension of occlusion is often a daunting task, requiring considerable thought and planning, but it is a commonly necessary technique. Although numerous sophisticated electronic and computer-oriented techniques claim superiority over the simple techniques described in this article, the described procedures provide a relatively accurate determination of vertical dimension of occlusion. A much-expanded discussion and clinical demonstration of the opening of vertical dimension technique is shown in the video described in the author’s note.
Author’s note: Additional educational resources are available from Practical Clinical Courses, some of which relate directly to this article:
Two-day courses in Utah
• Restorative Dentistry 3— Advanced Fixed and Removable Prosthodontics: July 20–21, 2018
One-hour videos
• Opening Vertical Dimension of Occlusion (Item No. V3186)
• Foolproof, Fast Single-Crown Procedure (Item No. V1980)
• Top Insurance Coding Strategies (Item No. V4783)
For more information about these educational products, call (800) 223-6569 or visit pccdental.com.
Gordon J. Christensen, DDS, MSD, PhD, is a practicing prosthodontist in Provo, Utah. He is the founder and CEO of Practical Clinical Courses, an international continuing education organization founded in 1981 for dental professionals. Dr. Christensen is cofounder (with his wife, Dr. Rella Christensen) and CEO of Clinicians Report.
About the Author

Gordon J. Christensen, DDS, PhD, MSD
Gordon J. Christensen, DDS, PhD, MSD, is founder and CEO of Practical Clinical Courses and cofounder of Clinicians Report. His wife, Rella Christensen, PhD, is the cofounder. PCC is an international dental continuing education organization founded in 1981. Dr. Christensen is a practicing prosthodontist in Provo, Utah.





