• Home >
  • Back Issues >
  • Dental Economics >
  • Volume 105, Issue 4
  • Volume 105, Issue 4

    More content from Volume 105, Issue 4

    The provision of health care is changing rapidly as providers endeavor to maintain maximum efficiency while navigating a technology-rich climate. As a result of the reliance on...
    April 10, 2015
    Getting to the video store and finding out all of the copies of the movie you wanted were gone. Hunting down a pay phone to ask your spouse if there is anything else he or she...
    April 10, 2015
    1504degro P01
    The high-speed dental handpiece is, without a doubt, one of the most commonly used and critical instruments in dental practices. Used in nearly every dental procedure, proper ...
    April 10, 2015
    1504depre P01
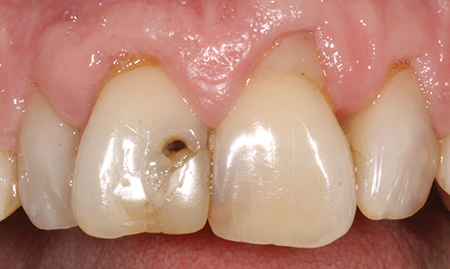
    Biomimetic dentistry seeks to promote the science and merits of tooth-conserving dentistry. When compared to more traditional methods, these concepts can result in greater longevity...
    April 10, 2015
    Airway
    Patients seek out practices where they believe they will receive the most comprehensive exams and treatment, so they bill not only their dental carriers, but also their medical...
    April 10, 2015
    Restorative digital dentistry (RDD) can be a complicated thing at first glance. It can be frustrating, demanding, confusing, and even exhausting to master. But there is no doubt...
    April 10, 2015
    An explanation or description of lifespan is unnecessary, as it is understood by all to mean the duration of existence of an individual. No one, including physicians, dentists...
    April 10, 2015
    1504dechr P01
    I've read various opinions on when to extract a tooth and place an implant. Assuming a patient has adequate financial ability to do either treatment, when should a tooth be extracted...
    April 10, 2015
    1504denot P01
    The rule of three is a principle suggesting that things that come in threes are inherently funnier, more satisfying, or more effective than other numbers of things. It is also...
    April 10, 2015
    1504depea 8 Endoultra High Resolution Image
    Pearls for your Practice
    April 10, 2015
    What does your dream dental practice look like? What level of financial success do you want? Is your current practice success what you hoped it would be?
    April 10, 2015
    Follow Up Poster 1 As Smart Object 1
    You already know about lead generation, right? It's the pretty sister in the marketing family. Everyone wants to get to know her first. But when it comes to cosmetic dentistry...
    April 10, 2015
    Your hygiene team is a crucial, but often overlooked, aspect of the success and productivity of your practice. In many ways, they are the "front lines" of the office, promoting...
    April 10, 2015
    I am a solo practitioner and have two full-time hygienists. Our practice is very busy, and I don't have the luxury of spending copious amounts of time in the hygiene exam. But...
    April 10, 2015
    If you don't know where you're going, any road will take you there.
    April 10, 2015
    Let me ask you a question. What would you do if you knew that your receptionist was kicking 33% of your new patients in the shins when they tried to come into your practice? You...
    April 10, 2015
    We ask two experts the same question on a complex issue.
    April 10, 2015
    Dentists don't want to guess when it comes to making business decisions for their practices. That's why, like many other successful business owners, they rely on the reporting...
    April 10, 2015
    Many dentists continue to rely on a scheduling system that should have been replaced years ago. Some practices see no reason to improve their scheduling system because there are...
    April 10, 2015
    Dreamstime 42578574
    In an attempt to protect Allied shipping during World War II, the War Advertising Council produced a series of propaganda posters that reminded the public about information security...
    April 10, 2015
    It's no secret. Dentistry has shed about 18% of total revenues over the past six or seven years. Do you remember the cosmetic heyday that lasted from 2002 through 2006? Almost...
    April 10, 2015
    Img 7806b
    Six years ago at the beginning of America's second worst economic collapse, I opened a new general dental practice with a focus on cosmetic dentistry in Naperville, Illinois. ...
    April 10, 2015
    Look how fast time goes. Nearly a year ago, the ADA told dentists about the deadline to make a decision about Medicare. Dentists learned they would need to take action and submit...
    April 10, 2015
    You already know you should be using social media marketing to reach your practice's target audiences. What may not be so clear is which platforms to use, what kind of message...
    April 10, 2015
    Content Dam De Print Articles Volume 105 Issue 4 Kids Table 180 100
    Through the years, one indicator that experts used to judge the financial success of a dentist was whether the dentist had stopped treating kids. Making the decision to stop treating...
    April 10, 2015
    Content Dam De Print Articles Volume 105 Issue 4 Crossing Into Future 180 100
    Peter E. Dawson, DDS, hears the same concerns from his young students over and over again: diminshed futures for dental graduates. But he thinks that the future for young dentists...
    April 10, 2015
    1504desol Z01 1 As Smart Object 1
    The first three articles in this series explored trends in dental education, how they have impacted dental workforce trends, and dental economic trends (see sidebar). We saw how...
    April 10, 2015
    Any general dentist can add the word "cosmetic" to their shingle, right next to the words "family" or "implant." Adding a word to a shingle means we are looking to establish ourselves...
    April 10, 2015