Advances in direct composite placement
In 2019, the global estimated cost for dental caries management was close to $300 billion. According to the World Health Organization, up to 10% of health-care budgets in industrialized countries are dedicated to caries disease management.1 Despite the prevalence of this disease, proximal caries management in the form of class II composites continues to be a headache for patients and practitioners alike. Postoperative sensitivity, difficulty flossing, food impaction, and deep, recurrent caries remind providers how technique-sensitive direct restoratives can be.2,3
Over the last decade, advances in tissue management and updates in materials and how we can handle their physical properties allow for direct composite placement to be more predictable. This article will discuss three specific advances: warming composite, the use of clear anatomic-shaped matrices, and bulk-fill restoratives, which make direct composite placement more efficient and long-lasting.
Warming composite
The benefits of warmed composites are threefold: changing viscosity, decreasing extrusion force, and potential for increased strength of the composites themselves. With regard to composite resin, the viscosity refers to how thick the composite is and its resistance to movement. A lower-viscosity material flows with less resistance, allowing for better adaptation of the materials into the areas of most critical importance.4 The addition of heat to composites allows for a change in viscosity, making the materials flow smoother into or onto a surface.4 Adding heat to the system increases the entropy within the resin itself and allows the composite particles on a molecular level to move about with less resistance, thereby flowing into proximal boxes and around line angles as needed.
Extrusion force, or the amount of hand pressure needed to move a substance out of the compule into the tooth, is significantly lower if the materials are heated. The ADA states that the physical demands and the hand motions used in providing oral health care may aggravate tendinitis and osteoarthritis.5 In a 2011 study, dentists were found to be more susceptible to musculoskeletal ailments such as tendinitis, synovitis, tenosynovitis, and bursitis due to repetitive demands on the hands and wrists and extrusion forces.6 Warmed composite resin, with its increased flowability, decreases extrusion forces needed and allows for a more ergonomic approach to the delivery of composite into the prepared surfaces.7
Properties of composite, such as shrinkage stress and fracture resistance, have been studied extensively.8 There is some debate as to how much of a quantitative difference preheating makes in these properties, warranting further research. However, the lower viscosity of warmed resins—leading to overall better adaptation of material to tooth—in conjunction with the potential gains in structural properties cannot be overlooked.
Clear anatomic-shaped matrices
Advances in clear, anatomic-shaped Mylar matrices increase the predictability of sealed margins and closed proximal contacts. Voids, open proximal contacts, and depth-of-cure concerns decrease when a provider can visualize these issues directly through a clear Mylar matrix. Their anatomic shape increases efficiency by cutting down on time spent contouring, and the matrices are designed to place the proximal contact at the junction of the middle and occlusal thirds of the tooth.9
Bulk-fill restoratives
With the advent of bulk-fill restoratives, curing can be achieved predictably in composites upward of 4 mm in one layer.2 These restoratives are translucent in their gel state, which allows light to pass through them. During the polymerization reaction, monomers within the material link together to create a structure with an opaque, toothlike appearance.2 Beginning in the late 1990s, ORMOCER (organic modified ceramics) technology became available in a resin composite, where particles of silicon oxide replace the traditional resin particulate within a composite. These ceramic-modified composites provide the cost-effectiveness of direct composites with the increased strength of ceramics.10 These organically modified nanocomposites can also be heated, which lowers the viscosity, has the potential to increase surface hardness, and provides a sturdy, esthetic direct restorative.
The addition of bulk-fill capability to a system with warmed composite that flows easily into a clear matrix removes the guesswork of whether proximal boxes are sufficiently restored. Bulk-fill restoratives give predictable confidence if an effective bonding protocol is followed where adhesive procedures rely on tissue and moisture management. In cases of deep posterior caries combined with periodontal disease, ceramic--reinforced, bulk-filled composites offer indirect restorative alternatives.
Case study
A 68-year-old patient presented with the upper right first premolar with occlusal amalgam and two distal marginal ridge fractures and discoloration under the mesial marginal ridge (figure 1). He previously had an extraction due to a fracture on his lower arch and wanted to treat the upper first premolar proactively. The existing occlusal amalgam was removed under rubber dam isolation. Caries were visualized clinically, and cracks were visualized with transillumination under both marginal ridges (figure 2). The premolar was prepared using a nonretentive cavity preparation design to allow the resin to flow in, out, and around the tooth (figure 3). Particle abrasion with 27 microns at 40 psi (PrepStart, Danville Products) was completed for microretention and biofilm removal before matrices, phosphoric acid etch (figure 4), and adhesive were placed.
The packable ceramic-modified nanocomposite was warmed at 155o F in a composite warmer (figure 5) and applied with an injection-molded technique. In this technique, an increment of flowable composite (Admira Fusion Flow, Voco) was placed first at the deepest level of the restoration and cured. A subsequent layer of flowable was placed at the deepest portion and up the buccal and lingual line angles, and not light cured. The tip of the warmed, packable composite was then placed into the uncured flowable and injected into the flowable under pressure, displacing the uncured flowable and allowing the bulk-fill packable Admira Fusion x-tra (Voco) to restore the majority of the preparation.
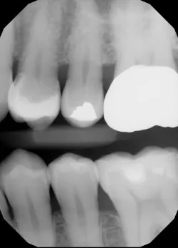
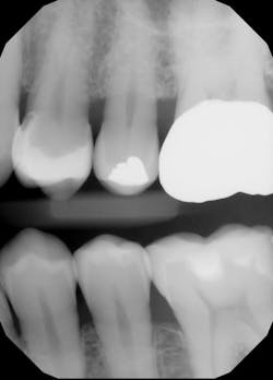
Polymerization was completed in a three-point light-cure technique, curing from the occlusal, buccal, and lingual surfaces with and without separators and wedges present. Final contouring with discs and polishing brought the spectral highlights of the composite to a high luster (figures 6 and 7). Occlusal evaluation was completed along with a postoperative radiograph (figure 8). The patient reported no postoperative sensitivity.
The single-tooth case described can be applied to quadrant caries management or even extrapolated for use in direct composite overlays with cuspal protection or replacement. The use of a warmed bulk-fill composite in a transparent preformed matrix allows the visual clarity to work beautifully with materials with a high compressive strength to deliver a predictable, anatomic outcome, and should be considered in posterior direct restoratives wherever applicable.
Editor's note: This article appeared in the July/August 2024 print edition of Dental Economics. Dentists in North America are eligible for a complimentary print subscription. Sign up here.
References
- Sugar and dental caries. World Health Organization. Updated November 9, 2017. Accessed March 29, 2024. https://www.who.int/news-room/fact-sheets/detail/sugars-and-dental-caries
- Elgezawi M, Haridy R, Abdalla MA, et al. Current strategies to control recurrent and residual caries with resin composite restorations: operator- and material-related factors. J Clin Med. 2022;11(21):6591. doi:10.3390/jcm11216591
- Cramer NB, Stansbury JW, Bowman CN. Recent advances and developments in composite dental restorative materials. J Dent Res. 2011;90(4):402-416. doi:10.1177/0022034510381263
- Demirel G, Orhan AI, Irmak O, et al. Effects of preheating and sonic delivery techniques on the internal adaptation of bulk-fill resin composites. Oper Dent. 2021;46:226-233. doi:10.2341/19-241-L
- Reducing hand pain. American Dental Association. Accessed March 29, 2024. https://www.ada.org/resources/practice/wellness/reducing-hand-pain
- Shaik AR, Sripathi BHR, Husain A, D’sa J. Work-related musculoskeletal disorders among dental surgeons: a pilot study. Contemp Clin Dent. 2011;2(4):308-312. doi:10.4103/0976-237X.91794
- Yang J, Silikas N, Watts DC. Pre-heating effects on extrusion force, stickiness and packability of resin-based composite. Dent Mater. 2019;35(11):1594-1602. doi:10.1016/j.dental.2019.08.101
- Ribeiro MT, Bragança GF, Oliveira LR, et al. Effect of pre-heating methods and devices on the mechanical properties, post-gel shrinkage, and shrinkage stress of bulk-fill materials. J Mech Behav Biomed Mat. 2023;138:105605. doi:10.1016/j.jmbbm.2022.105605
- Nelson SJ. Wheeler’s Dental Anatomy, Physiology, and Occlusion. W.B. Saunders; 1984:82.
- Manhart J, Frasheri I. Intraoral repair of a glass-ceramic restoration with nanohybrid Ormocers: a case report. Compend Contin Educ Dent. 2016;37(10):700-709.
About the Author
Lauren Yasuda Rainey, DDS
Lauren Yasuda Rainey, DDS, is a graduate of the University of the Pacific, Dugoni School of Dentistry, and completed a GPR at Tufts University School of Dental Medicine. In addition to private practice, she is an avid dental educator, sharing her passion for restorative techniques with dentists and their teams. Dr. Rainey is part of the speakers’ bureau at Catapult Education and on the education team at Bioclear Matrix Systems. Products mentioned are used in her regular course of practice. Dr. Rainey can be reached at [email protected].










