How Voco Retraction Paste can simplify and enhance the digital scanning workflow
It is a unique challenge in dentistry that so many materials do not react well with blood, saliva, and sulcular fluids, yet we are constantly working in an environment where these fluids play a role. The daily challenge is to effectively isolate and/or control these fluids to optimize the properties of our dental materials and provide a better clinical result.
Dentistry has developed an array of tools and materials to assist with this clinical challenge—rubber dams, hemostatic agents, lasers, electrosurgery, retraction cord, and epinephrine (via local anesthetics)—all of which can be used at various times depending on the clinical situation.
In recent years, the use of retraction paste has become more and more popular. These extrudable, puttylike materials contain a hemostatic agent (most commonly aluminum chloride) that will effectively stop minor bleeding, dry the sulcular area of fluids, and provide some soft-tissue retraction.
You may also be interested in ... 10 years of clinical success with composite resin technology: Case studies
Retraction paste is easy to use, atraumatic to the tissue, and requires minimal time to apply and remove. Because of the material properties and technique used, retraction is an easy process to delegate to the dental assistant.
What makes Voco Retraction Paste different?
Recently, Voco introduced a new product to the dental market: Voco Retraction Paste. It has some similarities to competitor products (e.g., single-use capsules of an extrudable material containing aluminum chloride as the hemostatic agent), but it also has some improvements to both the product and the delivery.
The capsule has a very thin, bendable tip, which allows more precise placement of the material. The material itself has a two-stage viscosity. The first stage allows for easy extrusion and flow of the material in the desired area. In the second stage, the viscosity slightly increases, having the effect of widening the gingival sulcus. Lastly, the material’s color (a bright turquoise blue) makes it easy to identify upon rinsing off, without leaving a stain.
Using retraction paste with digital impressions
The most common use of retraction paste is as an alternative to placing retraction cord before taking an impression. This saves significant chairside time. Placing retraction cord is time consuming and technique sensitive. Additionally, placement of cord is often uncomfortable for the patient and can be traumatic to the tissue.
With retraction paste, the dentist can go quickly from final prep to final impression in just two or three minutes. Retraction paste is the ideal material to use with digital impressions. The speed at which retraction paste can be applied and digital impressions taken saves valuable minutes of chair time.
When making an impression, dentists can use retraction paste to “modernize” the time-honored gold standard of the two-cord technique. Retraction paste can now effectively eliminate the need for placement of the second cord, making this step faster to accomplish and causing less trauma to the soft tissue.
How retraction paste helps during cementation
Retraction paste can be an important tool during the cementation process, especially when cementation requires a bonding protocol. Too often, the soft tissue around a temporary restoration is inflamed and irritated due to lack of proper hygiene, failure to remove all the temporary cement, and/or a poorly fabricated temporary. In situations where the tissue is irritated and bleeding, retraction paste can often be used to control the area so that proper bonding steps can be completed without contaminating the prepared tooth.
Case study using retraction paste
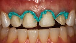
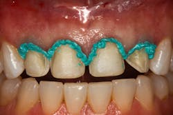
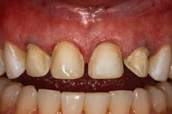
In this case (figure 1), the tissue is mildly irritated upon removal of the veneer temporaries. Retraction paste (Voco) is placed on the tissue for two minutes (figure 2), and then thoroughly rinsed off.
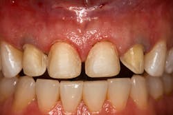
The result is controlled bleeding, dried sulcular fluids, and a slight retraction of the tissue that allows the margins to be visible (figure 3). This quick step helps create an ideal environment for veneer cementation.
A lesser-used, but effective, use of retraction paste is to control bleeding before placing a direct composite. Often when preparing a class II restoration, the papilla can become irritated and easily bleed. Placing retraction paste before placing the matrix will help control the bleeding and dry the restorative area. This is an efficient and easy way to prevent contamination of the bonding site.
As digital impressions become more common, the use of retraction paste will continue to grow. The material is an excellent match with the technique. Retraction cord can be difficult to place in the posterior area, which makes retraction paste an easy-to-use and excellent alternative. Because of the atraumatic nature of the application, retraction can be delegated to a dental assistant, saving chair time for the dentist. Once the final preparation is completed, the assistant can place the retraction paste and complete the scan, enabling the doctor to move to another operatory and another patient (figure 4).
It is still occasionally necessary to use retraction cord in cases where preparation margins are a bit deeper. However, placing retraction cord in deeper areas can cause more bleeding than it stops. This is another situation well suited for retraction paste to improve the final clinical results.
A small-diameter retraction cord is placed to visualize and prepare the margins (figure 5), followed by placement of the retraction paste for one to two minutes to stop localized bleeding. The result is an excellent scan of the preparation.
A small-diameter retraction cord is placed to expose the margins for preparation and scanning (figure 6). Retraction paste is used to control small areas of localized bleeding and also allows more unprepped tooth structure to be captured on the scan. This helps the ceramist have a better idea of the emergence angle of the teeth to be restored.
Retraction paste is an important part of the daily clinical armamentarium for any restorative practice. It has several practical uses to simplify and enhance the quality of clinical dentistry. Its ease of use and atraumatic characteristics lend it to delegation to dental assistants, which saves time and leads to greater patient comfort. Incorporating retraction paste into the digital scanning workflow is as easy as it is obvious. The delivery design and favorable paste characteristics of Voco Retraction Paste make it a competitive product in an increasingly competitive market.
Editor's note: This article appeared in the October 2023 print edition of Dental Economics magazine. Dentists in North America are eligible for a complimentary print subscription. Sign up here.
About the Author
Gary M. Radz, DDS
Gary M. Radz, DDS, is a graduate of the University of North Carolina School of Dentistry and has a private practice in Denver, Colorado. He is an associate clinical professor at the University of Colorado School of Dentistry, a founding member of the Catapult Group, and the director of industry relations for Smile Source. He lectures internationally on subjects related to esthetic dentistry and the development of cosmetic-based dental practices. He can be reached at [email protected].
Updated August 2, 2022







