10 years of clinical success with composite resin technology: Case studies
One of the advantages of practicing dentistry for 30 years is having the opportunity to observe and participate in the evolution of restorative dental materials. The composite resins that we currently have available are light-years better than the materials we used in the late 1980s and early 1990s.
The demand by dentists and their patients pushed dental material manufacturers to continue to improve composite resins to meet higher esthetic and functional characteristics. In 2012, GrandioSO (Voco) was introduced to the American marketplace. Since that time, Voco has extended this line of composites to include GrandioSO x-tra (bulk-fill), GrandioSO Heavy Flow, GrandioSO Flow, and most recently, GrandioSO Light Flow, based on the same chemistry that led to the success of the original product. GrandioSO has an 89% filler content, creating an excellent wear rate. Its modulus of elasticity, thermal expansion, and flexural strength are very similar to tooth structure. These physical characteristics have contributed to GrandioSO’s long-term clinical success and its continued popularity in the marketplace even after 10 years.
Related reading:
- Best practices for class II restorations: Innovative thermoviscous bulk-fill composite
- Better orthodontic impressions with putty + wash method
Certainly, longevity of a composite resin is in part due to excellent physical properties. But longevity is also determined with proper technique.
The following case studies will demonstrate this time-tested material.
Case 1
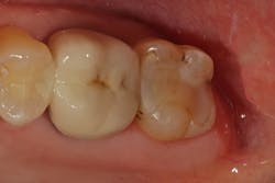
A second premolar radiographically demonstrates decay, and the distal marginal ridge has been undermined and fractured (figure 1). A conservative preparation is made with a 330-carbide bur, and the caries is removed with a slow-speed round bur. A caries detection agent (Seek, Ultradent) is used to ensure that all decay is removed.
The quadrant is isolated using the Isolite system (Zyris) to prevent contamination during placement of the restoration.
A critical part of the success of the restorative process is an excellent matrix system. We have had many years of great results using a sectional matrix system (ComposiTight, Garrison). The sectional matrix is anatomical in its design, helping create a more anatomically correct proximal contour. The ring is designed not only to get great adaptation of the matrix, but also to provide additional proximal separation in addition to what the wedge provides (figure 2).
A total-etch technique is used, and the entire prep is etched with 35% phosphoric etch (Vococid, Voco). Once rinsed and lightly dried, a universal bonding agent (Futurabond U, Voco) is applied, air-dried, and light-cured.
A thin layer of flowable composite (GrandioSO Light Flow, Voco) is applied to the most apical portion of the proximal box to ensure there are no voids in this caries-prone area (figure 3).
The restorative composite (GrandioSO, Voco) is placed and sculpted to its initial form and light-cured.
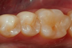
Lastly, the restoration is contoured into its final anatomical form and polished. The highly filled composite not only has excellent esthetics, but it will also achieve a high polish and demonstrate a very low wear rate over time (figure 4).
Case 2
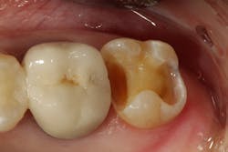
A second molar presents with an old leaking, large class II restoration that has been previously repaired and has radiographic recurrent decay (figure 5). In an ideal world, this tooth would be best served with a core buildup and full-coverage crown. However, due to financial considerations, the patient requests restoring with the less expensive option of a composite restoration.
The exceptional physical properties of GrandioSO make it an excellent choice for the demands that will be placed on this restoration.
The old restoration is removed with an 845KR diamond bur. Decay is excavated using a slow-speed round bur and confirmed using a caries detection agent (Seek, Ultradent; figure 6).
The preparation is deep in the area of the MB pulp horn. To insulate and protect the pulp in this area, an indirect pulp cap is placed. A resin-based calcium-releasing liner (Calcimol LC, Voco) is placed in a thin layer in this area.
The quadrant is isolated using the Isolite system. An anatomically designed sectional matrix system is placed to ensure proper contact and contour of the final restoration.
Because of the extent and depth of the preparation, it was decided to use a selective-etch technique (figure 7). This technique will place phosphoric etch only on the enamel of the preparation with care taken to minimize contact of the etchant on the dentin. The thought process here is that with such deep dentin exposed, it is wise not to irritate the pulp with the acid-etch. This technique is made possible with the use of a universal bonding agent (Futurabond U, Voco) by taking advantage of its self-etching properties. The etch is rinsed after 20–30 seconds, and then the universal bonding agent is applied and light-cured.
The restorative composite (GrandioSO, Voco) is placed in two separate increments. Each increment is light-cured for 20–30 seconds. An anatomically designed diamond bur (Occlusinator, Strauss) is used to create the initial anatomic form and occlusion. This is then polished to a high shine using a series of composite polishers (Dimanto, Voco).
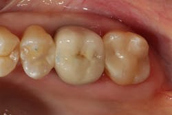
Using a composite with excellent physical characteristics and careful attention to technique should enable the restoration to provide years of service to the patient (figure 8).
Conclusion
When asked about the future of GrandioSO after 10 years of clinical success, Voco offered this statement:
“The fact that GrandioSO, after 10 years, remains a gold standard product in terms of physical characteristics and toothlike behavior suggests that restorative dentistry has reached the summit regarding what is possible with composites, based on silicate/glass fillers and traditional methacrylic resin. The technology behind GrandioSO has proven to result in long-lasting restorations that in turn has been used as the foundation for three highly filled flowable restoratives [GrandioSO Heavy Flow, Flow, and Light Flow], a posterior bulk-fill [GrandioSO x-tra], and that same technology is the basis for Voco’s permanent full-coverage crown milling material, Grandio blocs and Grandio discs. When comparing its toothlike properties to the materials of 10 years ago or today, GrandioSO continues to outperform other top brands. Only time will tell what new chemistry will give us the next quantum leap forward in dental materials, but for now, GrandioSO has earned its place as a stand-out restorative material.”
Composite resins are now very close to being as optimized as their chemistry will allow. Voco’s statement suggests that while they continue to innovate with new restorative technologies, the 10-year run of GrandioSO represents a pinnacle of silicate/methacrylic restorative manufacturing demonstrated by the composite’s toothlike physical properties which, collectively, have optimized what is possible with nanohybrid composite resins, elevating expectations of what we are able to do within this category of material in terms of longevity and performance. It is exciting to see what can be accomplished as the material is optimized for milling. But even more exciting will be to see what the future holds for the next restorative material breakthrough.
As we wait for that next material to be developed, it has been fun watching a material evolve and to have maximized its potential to give us a material we can successfully place and that will provide patients with many years of reliable, toothlike service.
Acknowledgment: Thanks to Dr. Robert Lowe of Charleston, South Carolina, for his assistance.
Disclosure: Voco is a financial supporter of Dental Economics.
Editor's note: This article appeared in the September 2022 print edition of Dental Economics magazine. Dentists in North America are eligible for a complimentary print subscription. Sign up here.
About the Author
Gary M. Radz, DDS
Gary M. Radz, DDS, is a graduate of the University of North Carolina School of Dentistry and has a private practice in Denver, Colorado. He is an associate clinical professor at the University of Colorado School of Dentistry, a founding member of the Catapult Group, and the director of industry relations for Smile Source. He lectures internationally on subjects related to esthetic dentistry and the development of cosmetic-based dental practices. He can be reached at [email protected].
Updated August 2, 2022









