Esthetic and functional long-term prototypes utilizing high-strength bis-acryl resin
NextGen Leadership Showcase
In this series, we feature articles from the next generation of dental key opinion leaders. Some of the online versions of these articles also feature video interviews with the authors. Find previous articles in the series by Drs. Amisha Singh, Sarah Winter, Nathaniel Lawson, Kathryn DeWood, Albert Ambriz, and Laura Picano on dentaleconomics.com. Search "NextGen."
Esthetic functional prototypes have been utilized to test drive the proposed smile design, vertical dimension, phased treatment plan, and functional blueprint for future care.3–5 Different materials and techniques have been used to create bonded functional prototypes, such as polymethyl methacrylate (PMMA) and highly filled flowable composites.6–9
Case description
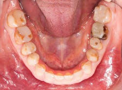
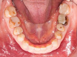
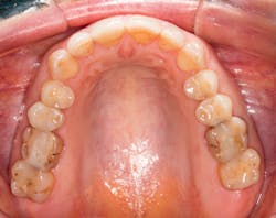
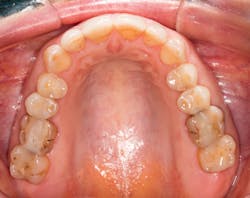
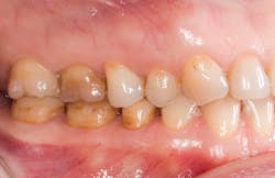
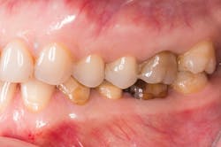
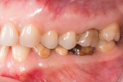
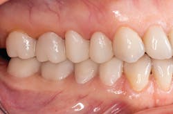
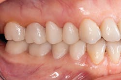
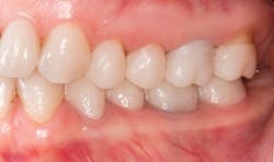
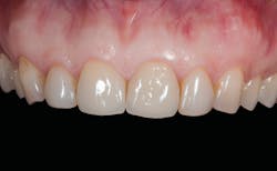
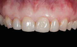
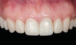
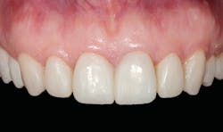
A patient presented with multiple deficient restorations, discolored teeth, and attrition (figures 1–4). The patient’s treatment plan was a full-mouth rehabilitation with a combination of veneers, crowns, and onlays.
Esthetic and functional prototypes are an effective way to evaluate esthetics and function of a proposed restorative plan, all while spreading the cost of definitive treatment over time. Esthetic, functional, and long-lasting restorations can be achieved if clinical and laboratory protocols are carefully followed using adhesive additive techniques.
1. Calamita M, Coachman C, Sesma N, Kois J. Occlusal vertical dimension: treatment planning decisions and management considerations. Int J Esthet Dent. 2019;14(2):166-181.
2. Fradeani M, Barducci G, Bacherini L, Brennan M. Esthetic rehabilitation of a severely worn dentition with minimally invasive prosthetic procedures (MIPP). Int J Periodontics Restorative Dent. 2012;32(2):135-147.
4. McLaren EA, Schoenbaum TR. The bonded functional esthetic prototype: part 1. Inside Dent. 2013;9(1):70-74.
6. Terry DA. Restoring with Flowables. Hanover Park, IL: Quintessence Publishing Co.; 2017.
7. Hemmings KW, Darbar UR, Vaughan S. Tooth wear treated with direct composite restorations at an increased vertical dimension: results at 30 months. J Prosthet Dent. 2000;83(3):287-293. doi:10.1016/s0022-3913(00)70130-2
10. Sulaiman T. Novel semi permanent restorative material, wear, post fatigue, and mechanical properties. University of North Carolina; June 2019.
About the Author

Celin Arce, DDS, MS, FACP
Celin Arce, DDS, MS, FACP, a board-certified prosthodontist, received his dental degree from University Latina of Costa Rica. He completed a residency in advanced prosthodontics at the University of Alabama (UAB) at Birmingham and a master of science in clinical dentistry. A diplomate of the American Board of Prosthodontics and fellow of the American College of Prosthodontists, Dr. Arce serves as assistant professor of the restorative sciences department at UAB School of Dentistry.













