The laser that can do it all — for all
Industry professionals discuss their top laser procedures
For more on this topic, go to www.dentaleconomics.com and search using the following key words: dental lasers, clinical dentistry, oral surgery, restorations, orthodontics, implant dentistry.
Universally, the soft-tissue diode laser has emerged as a favorite clinical tool among professionals working in the dental device market. Ranked at the top is AMD LASERS’ Picasso/Picasso Lite line of dental lasers which, in record time, continue to produce extraordinary results in the operatory. Whatever the laser specialty — dentist, hygienist, or academic — this line is truly for everyone. Professionals reveal their choice procedures and explain how this revolutionary laser has advanced treatment in their practices and classrooms, thus changing the lives of their patients.
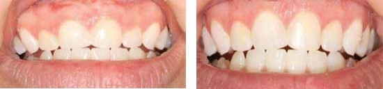
Ron Kaminer, DDS“I purchased my laser for crown troughing around CEREC restorations so that the margins would be easy to identify. Without a doubt, the laser makes the design process within CEREC so much easier because there is no guessing as to where the margin is located. But what has really made the difference in my practice is all the other applications I use the laser for on a daily basis. From gingival recontouring following short-term braces or Invisalign to something as basic as treating an aphthous ulcer or herpetic lesion, the laser has improved the level of care in my office and in the lives of my patients. As dentists, we make equipment purchase decisions for a number of reasons, most of which have to do with how they enhance our clinical treatment. What I didn’t realize about the laser when I purchased it was that it was going to create a buzz in my community about the technology we offer. This has subsequently led to a tremendous increase in new patients. My advice is to purchase a laser to improve your quality of dentistry and then sit back and watch your practice soar!”Fay Goldstep, DDS
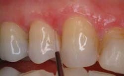
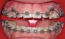
Exposing cuspids for bracket placement — after
“One procedure I do regularly with my laser is expose cuspids for bracket placement. In orthodontics, placing the bracket correctly is critical for proper movement. In the situation illustrated, I would often wait months or even a year for the teeth to erupt. Currently, I use my laser to expose the cuspids (the procedure takes me about 30 seconds) with little pain to the patient. The laser cauterizes and sanitizes so I can bond immediately on a dry field and save the patient (and my staff) several months in treatment. The laser continues to be an asset in the operatory. It is lightweight and easy-to-use, and it has enhanced my practice daily in countless ways. I rely on the laser for many soft-tissue procedures, and it never fails to deliver.”Kathy Traub, [email protected]
Stanley Jachimowicz, DDS
Tel: (317) 844-7626
“I have been very happy with my laser. I use it on a regular basis for minor oral surgical procedures, such as cuspid uncoverings, frenectomies, second-stage implant exposures, and tissue sculpting around implant and soft-tissue grafting sites. I find laser use in implant dentistry to be invaluable. I am especially pleased with the comfort settings, which allow me to perform minor procedures without the use of injected local anesthesia. My patients state that they ‘feel very little.’ Most procedures are used on a 3- to 4-watt setting with ease.”







