Transformative Change in the Dental Economics of Restorative Dentistry
By Michael R. Sesemann, DDS
One of the foundational necessities of the 21st century dental office is to be able to provide an affordable direct posterior restoration as a solution for small- to medium-size structural problems of the human dentition.
Dental amalgam served this purpose for a long period of time. This was partially due to the ease of its placement protocol and its reasonable length of service, no matter the expertise and/or effort of the clinician when placing the restoration.
In order to switch from amalgam to direct posterior composite restorations, a dentist and staff needed to commit to a decidedly more tedious protocol that lengthened the time of the restorative appointment. This protocol had to be skillfully applied for a restoration to serve the patient without postoperative sensitivity and with the same longevity as an amalgam filling.
For those of us who accepted that challenge, it required incorporation of a stringent bonding protocol and mastery of incremental composite placement techniques. Prior to placement of the composite, some clinicians may additionally line the preparation with glass ionomer or low-viscosity composite for fortification of the tooth/restoration interface prior to composite placement in order to defy the detrimental effects of composite polymerization shrinkage.
I implemented such a protocol into our office services, eliminating amalgam from my practice in 1996. This change was primarily motivated to eliminate one of the detrimental effects of amalgam I had witnessed repeatedly in my first 15 years in practice.
Through anecdotal observation, it became clear to me that the high coefficient of thermal expansion of amalgam and the nature of the cusp-undermining amalgam preparation was directly responsible for causing frequent cuspal fractures in patients. I can only assume that my observations were correct, as I recorded only two cuspal fractures of teeth with bonded direct composite restorations in the following 17 years.
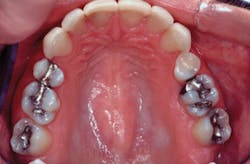
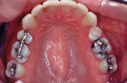
Evidence of the viability of my technique during this time can be seen with my American Academy of Cosmetic Dentistry accreditation case done in 1996. Direct posterior composite restorations on teeth Nos. 2, 3, and 15 complement the indirect restorations completed to replace faulty anterior veneers (Figs. 1 and 2).
Approximately five years ago, I was asked to try a new composite product, one that would permit a different mode of composite placement. The product was markedly different because of three new patented technologies that would allow me to cure the composite in bulk form up to 4 mm while retaining the favorable chemistry of a highly filled composite in terms of strength, esthetics, and polishability.
Specifically designed for bulk placement, Tetric EvoCeram Bulk Fill is formulated with two types of glass fillers with different mean particle sizes that enable excellent wear and polishability while diffusing the polymerization shrinkage stresses of traditional composites. The shrinkage percentage has been reduced to 1.9% while generating shrinkage stress of 1.4 MPa.
What does this mean for the practicing clinician?
The dentist can fill the preparation, sculpt the entire occlusal surface of the restoration to its cavosurface outline, cure it in its entirety, and not have to worry about encountering a dreaded white line indicative of marginal damage due to curing stresses when finishing and polishing.
The patented reactive polymerization booster, Ivocerin, nicely augments the gap between the commonly used photoinitiators, camphorquinone and lucirin, to create a composite that cures in dramatically less time. This happens while not increasing the photosensitivity during working time or ruining the esthetic value of the restoration by making the material too translucent to facilitate light transmission.
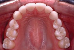
When all of these technologies are added into a posterior composite protocol, it allows the dental team to place excellent restorations in 30% to 60% less time (Figs. 3 and 4).
Conclusion
The wait is over. The practicing dentist now has the ability to fabricate an optimal, direct placement, posterior restoration using a manageable protocol. Tetric EvoCeram Bulk Fill contains patented technologies, allowing restoration completion that works sensibly into the dental economics of the 21st century dental practice.
Michael R. Sesemann, DDS, is an accredited fellow of the American Academy of Cosmetic Dentistry. He lectures internationally on the essential techniques involved in treating the comprehensive restorative case. He serves on the editorial review boards of many peer-reviewed publications while maintaining a private practice in Omaha, Neb. He can be reached at [email protected].
Past DE Issues




