Tired of utilizing cord and paste to manage tissue retraction?
By Stephen D. Poss, DDS
In the typical dental practice, the clinician must wear many hats, yet fixed prosthetics is considered the "bread and butter" for most dentists. One primary challenge to obtaining an accurate final impression is managing tissue. Carried forward, an accurate impression can lead to precise dies that the dental laboratory can use to fabricate a final restoration with adequate contacts and detailed occlusion.
Since all-ceramic restorations are now the material of choice, there is less emphasis on hiding the crown margins below the gingival crest. However, many of the restorative procedures the dentist has to perform involve replacing an amalgam restoration or PFM crown that may have been placed subgingival, and in this case a finish line below the gingival margin may still be needed.
In situations where crown finish lines may be equi- or subgingival, the clinician will need to consider various techniques to manage the gingival fluids including blood and saliva. The most traditional method for these challenges is using gingival retraction cord. This can be done as a single layer of cord or, if needed, the clinician can place a double layer of cord. A hemostatic agent is either incorporated in the retraction cord or can be added at the time of placement. This has always been a time-consuming process that can have mixed results to control the tissue and bleeding. It can be quite uncomfortable for the patient postoperatively as well.
Recently, DENTSPLY Caulk introduced Aquasil Ultra Cordless Tissue Managing Impression System. This unique system can virtually eliminate the use of retraction cord and paste with most crown and bridge impressions. There are several things that make this tissue managing impression system unique. First, there is a pen style delivery system instead of a 50 ml dispensing cartridge for easier handing. The volume and speed of the low-viscosity material is controlled by an air-powered delivery system. The handpiece has a four-speed regulator to assist in the rate in which the material is delivered.
Second, there is an ultrafine placement tip that can be placed into the sulcus for a more detailed impression. The tip is so fine that it can usually be placed in the sulcus where the clinician would typically place the retraction cord.
Since the Aquasil Ultra Cordless impression material has improved tear strength compared to the leading competitive wash materials, there is less chance of the impression material tearing in the sulcus. Aquasil Ultra Cordless impression material also allows the dental laboratory the option to pour the impression in a traditional manner or scan it for CAD/CAM restorations.
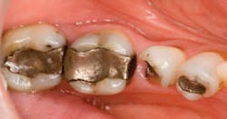
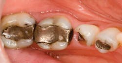
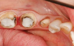
Clinical case: The 65-year-old woman had several teeth with large amalgams and one broken tooth, with decay in teeth Nos. 18 through 20. (Fig. 1) After completing the preparations and achieving hemostasis, a pre-impression surface optimizer (B4, DENTSPLY Caulk) is placed over the entire preparation. (Fig. 2) This will reduce the surface tension between the tooth and the impression material.
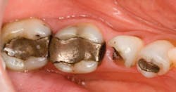
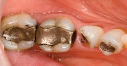
With the air-driven pen style handpiece, the clinician can place the intrasulcular tip below the prepared margin and with the four-speed regulator control the flow of the impression material. (Fig. 3) This handpiece will allow smooth dispensing without the concerns of the tip moving like with the traditional 50 ml cartridge dispenser. Aquasil Ultra Cordless Tissue Managing Impression System will allow the clinician to eliminate the placement of retraction cord and retraction paste in most clinical cases. This can dramatically reduce the chairside time and stress for the dentist. This is also much more comfortable for the patient since there is less trauma to the tissue. This technology is a positive step toward better dentistry for both the dentist and the patient. (Fig. 4)
Reference available upon request
Stephen D. Poss, DDS, maintains a cosmetic-oriented restorative practice in Brentwood, Tenn. Dr. Poss lectures internationally on esthetic dentistry, sleep apnea, and TMD. He is an active consultant to several dental manufacturers in the area of new product development and refinement. You may reach him by email at [email protected].
Past DE Issues




