Ask Dr. Christensen: What material should I use for an anterior three-unit fixed prosthesis?
Q+A
In this monthly feature, Dr. Gordon Christensen addresses the most frequently asked questions from Dental Economics readers. If you would like to submit a question to Dr. Christensen, please send an email to [email protected].
Q
Occasionally, I am asked to place an anterior three-unit fixed prosthesis. Why? Usually, patients do not have enough bone to place a conventional-diameter implant; they do not want grafting or can’t afford it; they have highly restored and often unsightly teeth on one or both potential abutment teeth; or they have other reasons for their personal preference. In the past, this was not a difficult decision, because porcelain-fused-to-metal (PFM) was the material of choice for this treatment. Now, there are at least four potential fixed restorative materials, which makes the decision difficult. Which material is considered the optimum for a three-unit fixed prosthesis at this time?
A
I have been asked this question many times this year, because there are several choices. One of the alternatives is well-proven, but some of the others are questionable or too new to have long-term research. There are only four current contenders for an anterior fixed prosthesis using full-crown abutments. Patients should receive education on the viable alternatives and be offered adequate informed consent.
In my answer, I will identify the treatment alternatives, state their advantages and disadvantages, and provide some in vivo research and clinical observations on the subject. The comments that follow are my interpretations of each material’s observed service record to date along with my interpretation of the currently available research for each.
All of the comments on the following alternatives are based on the assumption that the restorations are fabricated in the correct manner and that they will be used in anterior fixed prostheses. Let’s compare the materials, starting with the alternative with the most long-term research.
Porcelain-fused-to-metal (PFM)
This treatment alternative has been used for nearly 60 years. The first generation had numerous challenges, and several years passed before the technique was accepted by the profession over the then-popular gold alloy full and partial crowns. The refined current generation has been used extensively with improvements and modifications since the late 1950s. Millions of restorations have been placed with a commendable service record (figures 1 and 2).
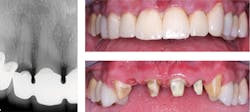
Figure 1: Failing splinted anterior restorations. Socket grafted with adequate gingival contour created. Grossly overprepared teeth due to repeated treatment.
Strength: Very good to excellent, depending on the category of metal. Many prefer the moderate bond of ceramic to “noble” metal and reject the metal allergy potential of “base” metals and the lower bond of high-noble metal.
Esthetics: Good to excellent for several years. Since stains and glaze wear off over several years, most PFM prostheses appear too light or monotone after several years of service, depending on the competence of the technician in placing the stains.
Success to date as a fixed prosthesis (FPD): Very good to excellent.
Failures: Minimal, known as very reliable treatment. Most common failures are chips and outright fractures of the ceramic from the metal. Esthetic failure is often evident because of the disappearance of stains after several years of service.
Cement: Any of your choice. Most popular is resin-modified glass ionomer.
Wear on opposing teeth: Early feldspathic ceramics wore enamel significantly. Current veneering ceramics still cause slight wear of enamel. Glaze placed on the prosthesis wears enamel until the glaze wears off. Clinicians Report Foundation, TRAC Division, recommends polishing zirconia and lithium disilicate restorations instead of glazing them. The glaze wears opposing enamel.
Average longevity estimate in a nonbruxer: At least 20 years.
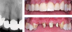
Figure 2: A comparison of PFM with all-ceramic restorations. Base your own decisions on both history and the research on all-ceramic restorations as summarized in the state-of-the-art information in this article.
Full-strength zirconia
Zirconia has been used as a biomaterial for more than 25 years. Zirconia-based veneered dental restorations were introduced in the early 2000s. They had significant challenges with degeneration of the superficial veneer layers. As a result of these problems, the first generation of monolithic full-strength zirconia used for crowns and fixed prostheses was introduced by Glidewell Laboratories in 2008. This version is known to scientists as Y3 (3 mol% yttria) zirconia or stabilized zirconia. In spite of early lack of esthetic acceptability, this concept has had phenomenal acceptance and extremely rapid growth, nearly replacing other crown types. Now, nearly 50 companies are selling this type of zirconia from various sources.
Strength: High, about 1,000 MPa.
Esthetics: Early brands had terrible esthetic qualities. Now, many colors are available, but some are still quite opaque and mono color. Some call this type of zirconia restoration generation one. The next category in this article is generation two, with at least two more iterations in the planning stages to come later.
Success to date as a fixed prosthesis: This category has been used in all fixed prosthodontic indications. However, most of these restorations have been placed on posterior teeth because of esthetic limitations. This material is just beginning to be used by some dentists as an anterior restoration, including fixed prostheses.
Failures: Almost no structural failures. Some debonding in service.
Cement: In vivo testing of zirconia-based three-unit FPDs over 12 years by TRAC Division of Clinicians Report Foundation shows resin-modified glass ionomer is successful with minimal debonds.
Wear on opposing teeth: In vivo research on three-unit FPDs show wear of opposing enamel and full-strength zirconia to be equal, contrary to many initial criticisms of the material. Addition of glaze to the zirconia causes wear of opposing enamel.
Average longevity estimate in a nonbruxer: Unknown. Expected to be many years.
Translucent, anterior, esthetic zirconia, etc.
The poor esthetic properties of the full-strength zirconia motivated some manufacturers in about 2015 to change the zirconia formulation, adding more yttria to increase translucence and improve the esthetic result. Although the esthetic properties were improved, strength and transformation toughening (lack of crack propagation) were decreased. Some call this type of restoration generation two (known also as 7Y). It was promoted for singles and three-unit anterior FPDs. Later, another zirconia iteration (4.5–5.5Y) became available with similar translucency and increased strength, and additional suggestions for posteriors (examples are 3M Lava Esthetic and BruxZir Esthetic). More iterations of zirconia are in the planning stages, which are said to have additional improved esthetics, strength, and broadened-use locations.
Strength: Moderate. About ~550 to 700 mPa and the later version is ~800 to 925 mPa.
Esthetics: Numerous colors are now available. Its has greatly improved esthetics versus full-strength zirconia.
Success as a fixed prosthesis: Minimal long-term research on anterior fixed prostheses done to date because of relatively recent introduction.
Fixed prosthesis potential: Long-term unknown. Should be adequate for nonbruxers.
Failures: No long-term research. Watch the in vivo research soon to come.
Cement: No long-term in vivo research on cement for these modified zirconia formulations. Some researchers are suggesting bonding with resin cement. Since resin-modified glass ionomer has been successful for full-strength zirconia, it seems logical that it would be adequate for this formulation. More long-term research is needed.
Wear on opposing teeth: In vivo research shows wear of opposing enamel and full-strength zirconia to be equal, but addition of oxides to this version of zirconia is expected to cause more long-term wear. Glazing the ceramic causes wear of opposing enamel.
Average longevity estimate in a nonbruxer: Unknown. Expected to be at least several years in nonbruxers.
Veneered full-strength zirconia (zirconia-based)
This category was the first crown type using zirconia and was introduced in the early 2000s. It required about 0.3 mm to 0.5 mm of zirconia as a substructure layered with fired or pressed ceramic over the zirconia. Significant clinical failures of the external ceramic became evident in the first year of service as shown by the TRAC Division of Clinicians Report Foundation. Improvements in the formulations have been made since then.
Strength: Moderate if using the current generation with proper veneering ceramic. In vivo research shows Kuraray/Noritake CZR Press placed over full-strength zirconia is a reliable choice.
Esthetics: Good to excellent. Zirconia-base ~1,000 MPa, veneer ceramic ~100 MPa.
Success to date as fixed prosthesis in anterior portion of the mouth: Good with proper veneer ceramic as mentioned above.
Failures: In early brands, superficial ceramic degenerated and/or broke off soon after cementation. Currently, the failures are fewer than the earlier generation.
Cement: In vivo testing over 12 years by TRAC Division of Clinicians Report Foundation show resin-modified glass ionomer is successful with minimal debonds.
Wear on opposing teeth: Depends on superficial veneering ceramic. Appears to be minimal. Glaze causes wear of opposing enamel.
Average longevity estimate in a nonbruxer: Unknown. Expected to be at least several years.
Lithium disilicate
Strength: Moderate. About 460 MPa or more depending on test method.
Esthetics: Superb!
Success to date as fixed prosthesis in anterior portion of the mouth: Some breakage in heavy occlusion.
Failures: Avoid developing heavy canine rise or incisal guidance situations or bruxers.
Cement: Bonded resin.
Wear on opposing teeth: Glaze wears opposing teeth. No wear of opposing enamel if not glazed.
Average longevity estimate in a nonbruxer: Excellent clinical success for single crowns for more than 10 years. Additional long-term research on three-unit anterior FPDs is needed.
Other new types of tooth-colored fixed prostheses
It is too soon to predict the success of the many types of tooth-colored crown and fixed prosthesis restorations competing for the market.
Summary
Because of the explosion of new materials on the market, the decision concerning the type of restorative material to use for a three-unit anterior fixed partial denture is a difficult one. The comments that follow are based on my long-term clinical experience and in vivo research at Clinicians Report Foundation.
Porcelain-fused-to-metal—Proven effective, with long-term service expected, but greatly reduced in popularity and use.
Full-strength zirconia—Proven strength, can have adequate esthetics for many situations.
Translucent zirconia—Moderate strength, good esthetics, avoid heavy occlusion, little long-term research, stronger iterations of zirconia present and more coming.
Lithium disilicate—Excellent esthetics, moderate strength, avoid heavy occlusion.
Many other new materials are currently being promoted. But be careful until there are more clinical research results!
Author’s note: Additional educational resources from Practical Clinical Courses, some of which relate directly to this article:
Two-day courses in Utah
• Faster, Easier, Higher Quality Dentistry with Dr. Gordon Christensen on March 2–3, 2018
• Restorative Dentistry 2—Fixed Prosthodontics with Dr. Gordon Christensen on May 11–12, 2018
One-hour videos
• Crowns—Materials and Techniques for the Best Results (Item No. V1987)
• Foolproof, Fast Single-Crown Procedure (Item No. V1980)
For more information about these educational products and many others, please call (800) 223-6569 or visit pccdental.com.
Gordon J. Christensen, DDS, MSD, PhD, is a practicing prosthodontist in Provo, Utah. He is the founder and CEO of Practical Clinical Courses, an international continuing education organization founded in 1981 for dental professionals. Dr. Christensen is cofounder (with his wife, Dr. Rella Christensen) and CEO of Clinicians Report.
About the Author

Gordon J. Christensen, DDS, PhD, MSD
Gordon J. Christensen, DDS, PhD, MSD, is founder and CEO of Practical Clinical Courses and cofounder of Clinicians Report. His wife, Rella Christensen, PhD, is the cofounder. PCC is an international dental continuing education organization founded in 1981. Dr. Christensen is a practicing prosthodontist in Provo, Utah.




