Which crown goes where?
Ask Dr. Christensen
Q: THERE ARE NOW SO MANY CROWN CHOICES that I am confused about which type of crown or bridge is best for which situation in the mouth. Most of the companies are promoting their crown as the best one on the market. Many state that their crowns can be used anywhere in the mouth. I have not had problems with the older materials, especially porcelain-fused-to-metal (PFM), or with the newer material, Glidewell’s BruxZir. Can you give me some guidance?
A: If you are pleased with PFM, there is no urgency to change. You may be interested in a variation of the PFM concept that is having significant success—Obsidian from Glidewell, which is lithium silicate pressed over metal (not lithium disilicate). The strength of this product significantly exceeds the strength of typical historical PFM materials. However, the well-proven PFMs of the past should still be considered for some situations.
I am pleased to hear of your success with the original BruxZir. You are not alone. The Technologies in Restoratives and Caries Research (TRAC) Division of the Clinicians Report Foundation has studied this material in the mouths of many patients for more than 10 years. They have reported that the original version of BruxZir—commonly called 3Y (3 molar percent yttrium oxide content) or Class 5 tetragonal zirconia—is now recognized as the most successful ceramic restoration in the history of dentistry.
It appears that you are having clinical success, but you want to be up-to-date on the numerous crown types now available. I am happy to offer the following update in a clinical manner. I will show a clinical situation preoperatively, discuss the possibilities for treatment, and show the final restorations.
Single crowns
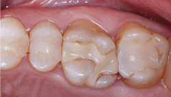
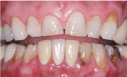
It has been estimated that about 90% of indirect restorations in the US are single crowns, and the majority of these single crowns are for posterior teeth. The phenomenal success of the original formulation of zirconia (3Y or Class 5 tetragonal zirconia) is now well proven. With the limitation of often less-than-desirable esthetic qualities, this material has become the most-used material for posterior crowns (figure 1).
For the following information, I will list the majority of crown materials in approximate decreasing order of current use, followed by generic names that are currently observed in the literature and advertisements for each type of material.
If you do not know some of the previous names for the crown materials, the chemical designations for crown types, or the new classification of indirect ceramic restorations, please look at my previous column in the June 2019 issue of Dental Economics titled, “How do I request the best kind of zirconia crown?”
What types of restorations should be considered for single posterior crowns?
- Original zirconia: Well-proven material, includes BruxZir and other brands, 3Y zirconia, Class 5 ceramic restoration, full-strength zirconia
- Lithium disilicate (IPS e.max): Well-proven material for single crowns, except for bruxers
- Esthetic zirconia: Currently under investigation, Class 4 (zirconia containing cubic) or modifications of 3Y combined with 4Y or higher, many other names, is looking promising
- Porcelain-fused-to-metal (PFM): Well proven, except for bruxers
- Zirconia layered with fired or pressed ceramic: Becoming well proven
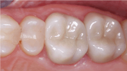
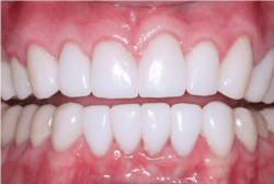
- Zirconia with stains placed on the presintered ceramic and fired into the restorations: Currently only offered by select labs; this material is looking promising (figure 2)
- Cast-gold alloy: Very well proven
- Polymer: Diminishing in use because of debonding problems
What types of restorations should be considered for single anterior crowns?
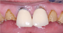
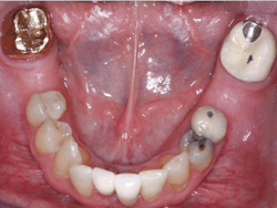
- Lithium disilicate (IPS e.max): Well-proven material, except for bruxers; consider using for single crowns (figure 3)
- Zirconia with stains placed on the presintered ceramic and fired into the restorations: Currently only offered by select labs; this material is looking promising
- Esthetic zirconia: Currently under investigation; Class 4 (zirconia containing cubic) or modifications of 3Y combined with 4Y or higher; many other names; is looking promising
- Zirconia layered with fired or pressed ceramic: Becoming well proven
- PFM: Well proven, except for extreme bruxers
What types of restorations should be considered for three-unit fixed prostheses (FPDs)?
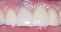
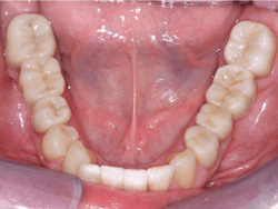
Although this category of restorations is decreasing in use due to implant placement, FPDs are occasionally needed. Clinicians Report Foundation has proven the viability of the original BruxZir in these situations (figure 4).
What other restorations should be considered for three-unit FPDs?
- Original zirconia: Well-proven material, includes BruxZir and other brands, 3Y zirconia, Class 5 ceramic restoration, full-strength zirconia.
- PFM: Well proven
- Esthetic zirconia: Currently under investigation; Class 4 (zirconia containing cubic) or modifications of 3Y combined with 4Y or higher; many other names; is looking promising
- Zirconia layered with fired or pressed ceramic: Becoming well proven
Long-span fixed prostheses
What types of materials are alternatives for long-span FPDs?
- Original zirconia: Well-proven material, includes BruxZir and other brands, 3Y zirconia, Class 5 ceramic restoration, full-strength zirconia
- PFM: Well proven
Use of zirconia is increasing
What have you determined as you have read so far? It is obvious that zirconia restorations are dominating indirect restoration use. Will that continue? There appears to be no reason to believe that zirconia will not continue to be the major indirect restoration material. The companies producing zirconia for dental use are working diligently to make formulations of zirconia that will have improved esthetic qualities and still have the desirable physical characteristics of the original 3Y zirconia. Currently, many brands are undergoing research. Many are being sold to you with research done primarily on a lab bench (in vitro) and with very little in-the-mouth (in vivo) research. As you know, time is required to satisfy the observational component of so-called “evidence-based” dentistry. Many products (including crowns) look good in the basic science research, but they fail as they serve in the mouth. Be careful. Don’t be the first to change to a new product. There are numerous well-proven crowns available as noted in this article.
Summary
Zirconia of different formulations is dominating indirect restorative dentistry, with lithium disilicate in second place. However, many companies are working to make zirconia restorations more esthetic and still have the desirable physical characteristics of the original BruxZir zirconia. These modifications are coming on the market routinely with minimal research. Watch the clinical research conclusions as they are published. Don’t be too fast to move to materials that are relatively unproven. Importantly, don’t throw away the proven PFM and cast-gold restorations.
Author’s note: The following educational materials from Practical Clinical Courses will help you and your staff learn more about restorative materials.
One-hour videos:
- Foolproof, Fast Single-Crown Procedure (Item No. V1980)
- Rescuing Failing Fixed Prosthodontic & Direct Restorations (Item No. V1992)
- Multiple Patient Scheduling—Working Smarter, Not Harder (Item No. V4794)
Two-day hands-on courses:
- Restorative Dentistry 2—Fixed Prosthodontics with Dr. Gordon Christensen
- Restorative Dentistry / Implant 3—with Dr. Gordon Christensen
For more information about these educational products, call (800) 223-6569 or visit pccdental.com.
About the Author

Gordon J. Christensen, DDS, PhD, MSD
Gordon J. Christensen, DDS, PhD, MSD, is founder and CEO of Practical Clinical Courses and cofounder of Clinicians Report. His wife, Rella Christensen, PhD, is the cofounder. PCC is an international dental continuing education organization founded in 1981. Dr. Christensen is a practicing prosthodontist in Provo, Utah.











