What type of crown should I use?
Q: When I first became a dentist, it was very easy to decide what type of crown was best for specific clinical situations and locations in the mouth. Now, there are so many types of crowns that it is almost impossible to decide which to use. Many companies are promoting their crown type with significant and impressive claims. All of the crown types sound good when reading the ads, but I know that all of them are somewhat different from one another, and I hear that some are not working well. I also know that some of them do not have long-term clinical research. What is the state of the art of the today’s confusing array of crowns?
A: The last 10 years of development in crown types have brought significant and frustrating confusion for both laboratories and dentists. Because changes in crowns are occurring at a fast pace, I would caution readers to consider my comments here in relation to the publication date.
The following categories are currently available types of crowns. I will list and discuss them one by one, and finally make suggestions about which to use at this time.
Current popular crown types
It is evident when observing this list that crown type selection is a daunting decision. Clinicians Report Foundation has long-term in vivo research going on with almost all of these types of restorations, and my comments here relate to the currentconclusions of that research. Additional research information is available if desired at cliniciansreport.org. The following list is in approximate order of decreasing acceptablity based on our current clinical findings:
• Cast gold alloy
• Porcelain fused to metal (PFM)
• Full-strength zirconia (several confusing names, including 3Y zirconia, BruxZir Solid Zirconia, and generation 1 zirconia)
• Lithium disilicate (IPS e.max, Ivoclar Vivadent)
• Veneered full-strength zirconia (zirconia-based)
• Lithium silicate (Obsidian, Glidewell Laboratories)
• Translucent zirconia (has more confusing names, including esthetic zirconia, anterior zirconia, 7Y zirconia, and generation 2 zirconia)
• Translucent zirconia (names conflicting with the previous category: esthetic zirconia, anterior zirconia, 5Y zirconia, generation 3 zirconia)
• Resin-nano ceramic (polymer)
Figure 1: With the exception of a small crack on the incisal edge of the left central incisor, would you believe these PFM crowns with feldspathic ceramic fired over noble metal have served approximately 25 years without problems?
Cast gold alloy
This type of crown has the most proven longevity of all types of crowns. Even when fabricated and seated at average levels of adequacy, cast gold restorations have been shown to serve for 40 or more years.
Desirable characteristicsinclude little or no wear of opposing dentition if the appropriate alloy is used correctly, ability to produce margins nearly perfectly closed (as tightly as a few microns), little or no allergenic potential, and good gingival acceptance.
Limitations to cast gold alloy are few. The major one is its unesthetic appearance. This one negative has reduced use of cast gold restorations to what we would estimate as less than 5% of indirect restorations in the US.
The desirability of these restorations is well-known to dentists, who are now the primary remaining recipients of this type of restoration.
Porcelain fused to metal
These restorations, as shown in Figure 1, have served the profession and patients well since the late 1950s. In the current generation of patient preference for ultra-white teeth, is it time to retire PFM? In my opinion the answer is no.
Desirable characteristicsinclude moderate longevity (my experience placing and watching thousands of these crowns since their inception shows an average functional and esthetic longevity of at least 20 years), moderate to very good esthetics until the glaze and stain wear off, moderate to excellent strength, and low reported intolerance to gingival allergies if base metal is avoided.
Limitations include occasional chipping and debonding of the ceramic from the metal, degenerating color acceptability as the stain and glaze wear off, and moderate-to-extreme wear of opposing teeth when some older feldspathic ceramics are bonded to the metal.
Full-strength zirconia (3Y zirconia, etc.)
Introduced about 10 years ago by Glidewell Laboratories, the 3Y type of restoration is now dominating crown use in the US. Research by Clinicians Report Foundation has shown outstanding clinical service in long-term in vivo studies now in progress up to nine years.
One of the best ways to identify the several generations of zirconia now present is to use the designation indicating the yitria oxide content. This first generation has 3 molar percent of yttria oxide (3Y). Currently, other iterations of zirconia are 4Y, 5Y, and others up to 7Y. 3Y zirconia has been used with success in many industrial situations for more than 25 years.
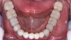
Figures 2a and 2b: What material are these crowns? The anterior and premolar teeth are IPS e.max, and the molars are 3Y zirconia stained in the presintered stage. None of these single crowns have external stain or glaze. They are polished only. We accomplished the case recently. It represents the current state of the art in ceramic crown use. The characteristics you see in this case will appear the same many years in the future. Technicians: John and Jed Archibald (Archibald Associates, Orem, Utah); clinician: Gordon Christensen, DDS
Advantages include very high strength, ability to be used in multiunit fixed prostheses, low cost to manufacture, excellent lack of clinical problems to date, minimal laboratory fees, and low wear on opposing dentition if not glazed. Adverse gingival irritation and allergies are nearly nonexistent.
Initially, the major limitationwas primarily poor esthetics. This can be overcome by staining presintered zirconia, which fires the desired pigments into the internal structure of the zirconia.
Early allegations of high wear of opposing dentition and damaging characteristics related to extreme hardness have been largely disproven. High quality, small-particle–sized, unglazed, polished zirconia wears opposing teeth almost identically to the wear of enamel on enamel, and the hardness of zirconia has been shown to be no more traumatic to the periodontal ligament or bone than the long-used PFM. It appears that unless some unexpected ill event occurs in the future, zirconia is here to stay.
Lithium disilicate
IPS e.max (Ivoclar Vivadent) now has about 10 years of highly successful use as single crowns and some multiunit situations, primarily in the anterior part of the mouth (figures 2a and 2b).
Advantagesinclude unprecedented and beautiful esthetics, relative ease of fabrication by pressing or milling, adequate strength for single crowns in most nonbruxing situations, low to no wear on opposing dentition if polished (not glazed).
Limitationsinclude need for external staining to overcome monochromatic nature of the initial versions, lack of strength adequate to be used in long-span fixed prostheses, need for an optimum tooth prep depth of 1 mm or more on axial surfaces, and 1.5 mm to 2.0 mm occlusal reduction. New forms of e.max such as IPS e.max Press Multi have overcome the monochromatic limitation, but only a few labs and dentists are using this relatively recent innovation.
Veneered full-strength zirconia (3Y zirconia with a veneer of fired or pressed ceramic)
Early versions of this concept nearly 15 years ago cracked and broke in the first year of service. However, most current versions are working well if fabricated adequately. Both fired and pressed ceramic are being placed over zirconia with success.
Other relatively new types of crowns
The remaining four crown types have various challenges, such as the following: they lack long-term research; they are new and it’s too soon to evaluate them confidently; they have broken in service in some cases; and they experience debonding (primarily polymer).
The bottom line in 2019
The following suggestions are related to the time of this publication: Cast gold alloy, porcelain fused to metal, full-strength zirconia (3Y), lithium disilicate, and veneered full-strength zirconia are the major, currently available, relatively well proven ceramic tooth-colored restorations. If you desire to use other types of restorations, they are available for your consideration. I suggest finding out as much as you can about them before placing them in your patients. Dental manufacturers are working to find new types of restorations to compete with the ones noted here, and these are already known to work well in the mouth.
A word of warning: the words “translucent” or “esthetic” applied to a given type of crown can be very misleading. Several categories of crown types have those words added to their brand names. These adjectives do not describe the restorations’ constituents or characteristics. Some of these have already had failures in service. Some are older products and some are new. Check with the manufacturers or with Clinicians Report Foundation relative to the constituents of products unknown to you. Similarly, be careful when using brands identified with the following types of terminologies: translucent zirconia, resin-nano ceramic, and polymer.
Summary
The past few years have seen more types of crowns introduced than any other time in dentistry. Some of them have been introduced before in vivo research has shown them to be acceptable. Clinicians Report Foundation has been studying most of the crowns as they have come on the market, with some of the restorations having more than 14 years of observation in real-world clinical studies for the in vivo testing component. This article identifies the crown types that have proven themselves and those that are still being proven at this time.
Be careful when changing to a new crown type. Do your own literature research on the product before changing. Some of the new crowns are not serving well clinically, while others are excellent.
Author’s note: The following educational materials from Practical Clinical Courses will help you and your staff better understand the confusing topic of this article:
One-hour CE videos
- Crowns—Materials and Techniques for the Best Results (Item V1987)
- Foolproof, Fast Single Crown Procedure (Item V1980)
Two-day courses in Utah
- Restorative Dentistry 2—Fixed Prosthodontics with Gordon Christensen
- Restorative Dentistry 1—Restorative, Esthetic, Preventive with Gordon Christensen
For more information about these educational products, call (800) 223-6569 or visit pccdental.com.
About the Author

Gordon J. Christensen, DDS, PhD, MSD
Gordon J. Christensen, DDS, PhD, MSD, is founder and CEO of Practical Clinical Courses and cofounder of Clinicians Report. His wife, Rella Christensen, PhD, is the cofounder. PCC is an international dental continuing education organization founded in 1981. Dr. Christensen is a practicing prosthodontist in Provo, Utah.



