Direct-indirect composite veneers: Balancing esthetics and minimal intervention
Many dentists consider complex anterior composite restorations challenging and criticize them for yielding underwhelming results. This sentiment may lead to dentists performing more invasive procedures, such as full-coverage indirect restorations, due to an unreal perception of improved predictability and comfort. However, when complex anterior composite restorations are appropriately planned, the clinician’s skill and experience will frequently elicit predictable esthetic and functional outcomes.
Esthetic and functional long-term prototypes utilizing high-strength bis-acryl resin
Smile makeover: A minimally invasive recipe for esthetic success
Careful diagnosis and treatment planning will aid the clinician in identifying the etiology of enamel breakdown and carefully curating a minimally invasive plan that yields predictable long-term results. Using the principles routinely employed for indirect restorations for direct restorations will improve the confidence of the dentist and exceed patient expectations. Here is case report using a technique that combines the benefits of a direct composite layering approach with those of indirect veneers to achieve optimal shade matching, marginal adaptation, and natural morphology.
Diagnosis
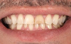
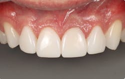
This patient presented to my private practice to improve the appearance of his teeth (figure 1).
Upon clinical and radiographic evaluation, the following diagnoses were made:
- Multiple discolored teeth
- Wear on maxillary central incisors with passive eruption
- Wear and crowding of mandibular incisors with passive eruption
- Occlusal dysfunction/bruxism limited to anterior teeth
- Reverse smile line/inadequate incisal edge length
Treatment
After careful diagnosis and treatment planning, the following procedures were carried out:
- Radiographic and clinical evaluations for caries, periodontal disease, periapical abnormalities
- Occlusal evaluation
- Screening for sleep disorders
- Esthetic and functional evaluation
Photography and intraoral scanning aid the dentist in evaluating the case outside the operatory and educating the patient. It is common for teeth to erupt passively during tooth wear. When this happens, there tends to be inadequate space for any restorative material. Restoring incisal edges without adequate space using composite resin will lead to chipping of the restorative material, poor contours, and reduced longevity.
For this case, an interdisciplinary approach with endodontics and orthodontics is indicated before the restorative phase. It is essential to educate the patient on his oral condition, proposed treatment, proposed treatment outcomes, and the limitations of not pursuing comprehensive care. It will help the patient understand the treatment recommendations and will improve case acceptance.
The treatment plan for this case is ultimately to restore the four maxillary incisor teeth using a conservative technique by fabricating direct-indirect composite veneers. These restorations will be fabricated in a single appointment. The benefits of this approach include an ultraconservative approach to restoring these teeth and an ideal enamel surface area for predictable bonding. In addition, should this case require repair, it is a simple task.
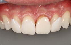
Orthodontics using clear aligners effectively set up the tooth positions for this case. The teeth were positioned for optimal restorative space, occlusion, and oral hygiene. Once orthodontics was completed, a direct-indirect composite resin mock-up was completed to test the proposed composite resin shades, incisal edge position, point angle position, and embrasures (figure 2). A silicone matrix was utilized to guide tooth preparation and composite resin layering.
The direct-indirect technique
The direct-indirect technique1 for composite resin veneers assembles many advantages of the direct and indirect techniques:
- The composite resin is applied directly on the tooth structure without prior adhesive preparation, light-activated, removed from the tooth, heat tempered, finished, and polished extraorally.
- It is bonded indirectly in the mouth with luting resins in a single appointment. Consequently, the veneers exhibit superior mechanical properties, esthetics, marginal adaptation, and polishing.
- It is possible to modulate the final color of the restoration with try-in pastes and luting agents, allowing for minor shade modifications.
The direct-indirect composite veneering technique is additive and indicated to restore teeth that require tooth preparation or via a prepless technique. Tooth preparation is required if the original tooth structure is overcontoured or discolored. Each veneer is fabricated one at a time, starting with a single central incisor. These veneers can be as thin as a contact lens or thicker as needed.
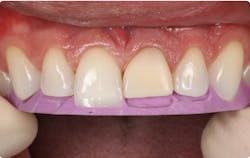
- A silicone matrix is used (figure 3) to idealize lingual contours, the incisal edge, and incisal embrasures.
- Add composite to the facial surface and light cure (figure 4).
- Remove veneer and use disks (e.g., FlexiDiscs from Cosmedent or Contours from Clinicians Choice) to trim excess composite.
- Repeat these steps on the contralateral central incisor (figure 5).
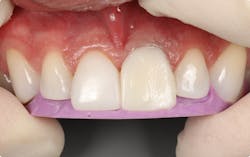
- Using disks as described above, create symmetrical line angles and facial contours to create primary anatomy (figure 6).
- Repeat the above steps for the lateral incisors (all teeth on the treatment plan).
- Try in all veneers and confirm shade selection (figure 7).
- Remove veneers and perform supplemental light curing and heat tempering (figure 8).
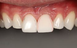
- Prepare veneers and teeth for bonding (figure 9).
- Bond veneers onto teeth with an adhesive resin bonding system and remove excess cement.
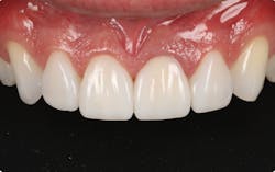
- Create secondary and tertiary anatomy and polish (figure 10).
This case emphasizes the necessity of proper diagnosis and treatment planning and demonstrates a conservative approach to managing discolored and worn teeth (figure 11). Modern composites’ mechanical and optical properties are suitable for definitive restorations for worn dentition in the esthetic zone. Current trends in restorative dentistry include comprehensive treatment planning, an interdisciplinary approach, and providing minimally invasive care.
Editor's note: This article appeared in the February 2023 print edition of Dental Economics magazine. Dentists in North America are eligible for a complimentary print subscription. Sign up here.
Reference
- Fahl NF, Ritter AV. Composite Veneers: The Direct-Indirect Technique. Quintessence Publishing; 2020.
About the Author
Newton Fahl Jr., DDS, MS
Newton Fahl Jr., DDS, MS, received his DDS degree from the Londrina State University, Brazil, and the Certificate in Operative Dentistry and Master of Science degree from the University of Iowa. He is an adjunct professor of operative dentistry at the University of North Carolina. He has extensively published on direct and indirect bonding techniques and is the author of Composite Resin Veneers—The Direct-Indirect Technique. He also serves on the editorial board of several peer-reviewed journals. Dr. Fahl is in private practice and director of the Fahl Center, Curitiba, Brazil.
Updated January 12, 2023












