Which crown types are best for what situations?
Q: There is enormous confusion in the dental marketplace regarding which indirect restorations should be used and where in the mouth they should be used. The ads are not only confusing, but, in my opinion, they are also too optimistic. The significant commercial information claiming unprecedented success for specific restorations seems unrealistic. What is the state of the art for indirect restorations? What should be used and where in the mouth? How does heavy occlusion factor into the decision? Can optimum esthetics be achieved for all new materials? I would appreciate knowing what Clinical Research (CR) Foundation has found in long-term clinical studies.
Zirconia crowns in dentistry: Uses, clinical challenges, and solutions
A: I answered some of the same questions in "Which crown goes where?" but since then, many changes have occurred, more research is available, and questions keep coming up frequently. Importantly, the research on the various indirect restorations is starting to mature and provide some answers. In this article, I will give you a status report on the most-used crown types and their current success in CR/TRAC (Technologies in Restoratives and Caries Research Division of the CR Foundation) in vivo research. The information is divided into several locations in the mouth along with my suggestions as to the different strength and esthetic needs for those locations.
Also by Dr. Christensen:
Are endodontic posts really necessary?
The following overall statements relate to my answers.
- It is reported by large US dental labs that over 74% of indirect restorations are for single teeth.1
- Large labs report that ceramic indirect restorations currently comprise over 90% of the total indirect restorations made. The majority of those indirect restorations are milled from one of the zirconia variations, some are milled or pressed lithium disilicate, and a small number are conventional porcelain-fused-to-metal (PFM), or polymer.1
- A very conservative estimate is that about one-third of the adult population have either grinding or clenching bruxism, a highly important characteristic for restoration selection.
It can be concluded from the previous statements that different types of indirect restorations are present and that their various physical and esthetic characteristics relate to where they should be used. It is also important to note that additional long-term research is needed to confirm some of my suggestions.
Molars
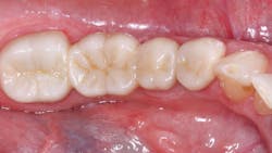
Optimum strength is available by using class 5, 3Y, tetragonal zirconia (figure 1). This is the original BruxZir formulation, now available from many Glidewell laboratories. Similar products are produced by other companies under other names. It is often called LT (“low translucency”) zirconia by dentists and labs. The strength and durability of this zirconia category have been confirmed through 11 years of in vivo research by the TRAC Division.
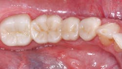
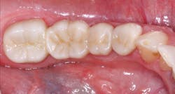
But, as most dentists know, this zirconia category has less-than-desirable esthetic qualities unless coated with layering ceramic or stained in the presintered zirconia stage (figures 2 and 3). Some dentists do not object to the unmodified color of this zirconia category for molars since it is not usually visible in the posterior of the mouth.
This zirconia formulation is well proven and has had unprecedented clinical success and lack of breakage. However, labs and manufacturers primarily promote the more esthetic forms of zirconia, identified as class 4 cubic zirconia. It is often described as HT (high translucency), or esthetic zirconia. This form of zirconia has lower strength than class 5 zirconia, and it still lacks long-term research for use in high-strength needs.
Currently, clinical research has mixed results, indicating promise for class 4 zirconia formulations but also some potential challenges. Since this formulation has been available for only a few years, you and your peers are doing much of the observational clinical research on these materials in your practices. Long-term clinical research is still needed to validate the use of this zirconia form for molars, bruxing patients, long-span fixed prostheses, and other high-strength clinical needs.
Premolars
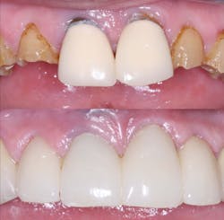
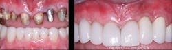
IPS e.max (lithium disilicate) is classified as a class 3 ceramic restoration. It is very well proven for single premolar restorations by both controlled studies and millions of such restorations placed internationally. As you know, it has unprecedented high esthetic qualities and strength (figures 4 and 5).
For nonbruxers, IPS e.max can be used safely for single premolars and select three-unit fixed prostheses involving both premolars and anterior teeth. It is suggested that at least 1.0 mm of IPS e.max thickness is present on all axial walls and 1.5–2.0 mm thickness on the occlusal surface for optimal strength. However, more fractures have been reported on multiple-unit lithium disilicate fixed prostheses in the premolar to anterior area than on single teeth.
Should IPS e.max be used on premolars in bruxing patients? Some practitioners are using it in bruxing situations because of its great success in nonbruxers. The only alternatives are porcelain-fused-to-metal (PFM) or class 4 zirconia. Selecting an appropriate restoration for a bruxing patient requires that the dentist have personal knowledge of the patient, the anticipated occlusal loading, and any esthetic needs.
Should class 4 cubic zirconia restorations be used for premolars? These modified zirconia forms are being highly promoted for such situations. Clinical observation by CR evaluators has been promising, but those observations are only short term. Developing challenges have already been noted in some brands by CR’s in vitro microscopic research, indicating the use of class 4 zirconia with caution until additional long-term research is available.
At present, IPS e.max is a well-proven product for single premolars and select three-unit fixed prostheses involving premolars.
In situations involving high-strength needs, such as in bruxing patients, color-modified class 5, 3Y zirconia is still a more-proven concept. Additional clinical research will determine if class 4 zirconia will be adequate for patients who are bruxers.
Anterior teeth
Anterior teeth usually have the least need for strength. The statements on premolars apply directly to anterior teeth, but esthetic acceptability is more important in the anterior area of the mouth.
If the restoration is for single teeth and the patient is not a bruxer, IPS e.max currently is the optimum restoration.
If a three-unit (or larger) fixed prosthesis is needed, color-modified class 5, tetragonal, 3Y zirconia may be optimum, especially for a bruxing patient, but such zirconia requires an artist/technician to achieve the best esthetics.
Should class 4 cubic zirconia be considered for anterior three-unit (or larger) fixed prostheses? The same challenges are present as those for premolars. More long-term research is needed. How long? At least several years of research on many brands. That research is beginning to come forth, but there are still numerous questions. If using class 4 zirconia for anterior restorations, I suggest observing the restorations carefully with high-power loupes at each recall appointment. Look for pits, minor cracks, excessive wear on opposing teeth, or other maladies. These challenges have been seen on some class 4 zirconia brands in preliminary research. It is our hope that class 4 zirconia brands will soon prove themselves in clinical research. In the meantime, be observant and cautious.
Summary
Significant confusion is present about what type of indirect restoration is best for specific situations. Current evidence, both scientific and observational, support the use of class 5, tetragonal, 3Y zirconia. However, this formulation has esthetic challenges that must be overcome. Class 4 cubic-containing zirconia has many formulations. Many brands are currently proving themselves, but more years will be necessary for that proof to be solidified.
IPS e.max is well proven for near universal use in nonbruxers and limited use in bruxers. In the meantime, don’t forget the more than 120 years of success dentistry has had with cast-gold alloy and the more than 65 years of success with porcelain-fused-to-metal.
The immediate future appears to point to continued and expanded use of zirconia indirect restorations with a slow reduction in the use of the excellent, well-proven IPS e.max.
Reference
- Based on data from Glidewell Labs.
Author’s note: The following educational materials from Practical Clinical Courses offer further resources on this topic for you and your staff.
One-hour videos:
- Cementing Restorations—Proven and Successful (Item no. 1921)
- Impressions Can Be Simple and Predictable (Item no. 1922)
Two-day hands-on courses in Utah:
- Restorative Dentistry 1—Restorative/Esthetic/Preventive with Dr. Gordon Christensen
- Faster, Easier, Higher Quality Dentistry with Dr. Gordon Christensen
For more information, visit pccdental.com or contact Practical Clinical Courses at (800) 223-6569.
Editor's note: This article originally appeared in the February 2022 print edition of Dental Economics.
About the Author

Gordon J. Christensen, DDS, PhD, MSD
Gordon J. Christensen, DDS, PhD, MSD, is founder and CEO of Practical Clinical Courses and cofounder of Clinicians Report. His wife, Rella Christensen, PhD, is the cofounder. PCC is an international dental continuing education organization founded in 1981. Dr. Christensen is a practicing prosthodontist in Provo, Utah.





