Increasing practice activity: An ongoing team effort
Q: I have been practicing for more than 17 years in a relatively small town. There are a few other dentists also practicing here, but I do not estimate that the town is overpopulated with dentists. I enjoy dentistry, and I am very satisfied with my career choice. My practice grew rapidly when I started it. Over time, the increase in patient care and revenue slowed, and now these factors have been level for several years. Is this situation normal? Should my practice continue to grow? My children are nearing college age, and although my income is adequate for all current family needs, I am seeing the need to augment it as the children prepare for college. What should I do?
A: The story of your practice development is normal, and most dentists have the same experiences you have expressed. Some are satisfied with the status quo, while others see the need to change and produce more patient services and thus more revenue. I will provide some insights for you on how to increase practice activity. They are not prioritized, and not all of them will be attractive for you or your situation. Incorporating any of them requires proactivity on your part as the practice leader along with support from your staff.
If you feel your practice needs major changes to be more productive, hire a practice management consultant team to come in and analyze it. Although such consultants are somewhat expensive, they can help significantly.
Following are some simple practice-increasing activities you and your team can incorporate into your practice.
Further reading: Improving net revenue
Concentrate on your existing patients
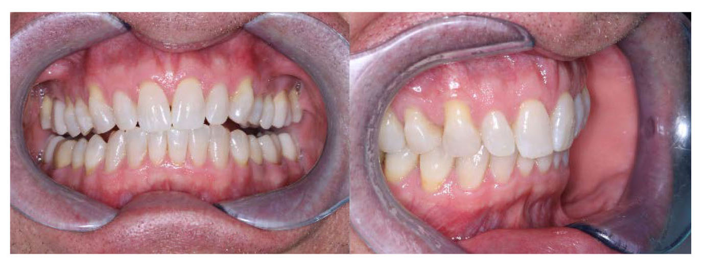
Many of the preventive and treatment procedures accomplished by dentists are clearly elective, such as veneers, adult orthodontics, teeth whitening, improving tooth anatomy by tooth recontouring, diastema closures, Botox, decreasing snoring, preventive procedures, and so on (figures 1–3). Before the Great Recession and COVID-19, over 50% of general dentist activity was estimated by many practice management companies to be elective. Some of those procedures died out during the challenges of the last several years.
The economy is now stabilizing, and it is time to stimulate patients back to requesting those elective procedures. You will find patients grateful to you for offering them elective treatment and preventive opportunities.
Increase staff clinical responsibilities
This concept is a significant one to increase patient services. Some dentists want to incorporate expanded clinical staff-oriented activities into their practices, and others are not interested. Several elective procedures can be easily and legally delegated to educated team members. A combination of increasing services for your current patients and delegating more clinical procedures toMake your website attractive and educational
An informative and stimulating website is not self-aggrandizing, but an important educational tool to reach current and potentially new patients.
Make sure your website is stimulating for those viewing it. Most patients do not have significant knowledge about the procedures dentists accomplish, so they don’t know the potential value of those concepts for themselves and their families. Educate patients on your website with photos, short video clips, patient testimonials, and your personal testimony of the value of the dental procedures. There are many companies eager to help you upgrade and improve your website. Keep it ethical and truthful. Patients can easily identify questionable commercial hype.
Become involved in civic/religious organizations
Many dentists who are involved in civic or religious groups don’t tell their friends in these organizations what they do professionally. This can be accomplished from an altruistic standpoint to help people understand what your profession can do for them, or it can be overtly self-promoting. It is obvious which method is best. Everybody would like to reduce or prevent the diseases dentists and their teams treat, but do they know of your expertise in doing so? Volunteer to provide educational programs for these groups. A simple PowerPoint presentation provided by you can motivate patients to become involved with you professionally. A brief educational piece in your local newspaper or civic/religious newsletter is an excellent way to attract attention to your practice.
Stimulate current patients to refer friends
Have a meeting with your team concerning how to motivate satisfied patients to refer their friends and family members to your practice. Some of your patients may feel you are already too busy to accommodate more patients. Make sure they know that you welcome new patients. When someone refers a patient to your practice, a simple thank-you note to them is appropriate and will foster additional referrals.
Make your office attractive (not extravagant)
A modest, up-to-date office is attractive to patients. After several decades of practice, I am convinced patients judge you by many factors, but the quality of your treatment is not likely one of them. Your office is the first impression they have of you. I believe that an office can survive about five years of constant patient flow. After that, it becomes worn and smelly, with out-of-date décor and furniture. Obviously, those factors relate to the patient’s perception of your expertise and quality of treatment. I suggest you take some time to sit in your reception room and look around. What do you see? Cobwebs, dust, moldy magazines, spots on the furniture, a “dental office” smell? Sit in each of your operatory chairs. Again, what do you see? Spots or dust on the clinical lights, cobwebs on the ceiling, dirty air vents on the ceiling, chipped countertops, or maybe a myriad of other disagreeable sights? Revise, clean, or remodel your office periodically. Do a complete office inspection once every five years at minimum and remodel anything that does not represent the image you feel is appropriate.
Encourage patient reviews
What do you do when you are considering going to a new restaurant, buying a car, or finding someone to remodel your home? Most of us immediately go to the internet. Staff members can effectively and tactfully request internet reviews from your patients at the end of a successful treatment procedure, upon leaving the office after a pleasant appointment, or anytime you feel it is appropriate.
But keep in mind that there is growing evidence of corruption in this business activity, and the validity of reviews is under question. Any business or practice can get companies to provide false positive reviews for them. Articles are appearing in magazines and elsewhere about this unscrupulous activity. Nevertheless, patients still look at reviews to judge you and your practice. Regularly monitor your online reputation and work to resolve any negative reviews.
These suggestions will encourage patients to talk positively to their friends about you and your practice. Word-of-mouth referrals are highly valuable. Earn them!
Summary
Growing a practice is an endless procedure. Your practice has a personality that slowly becomes well-known to patients. Developing patient trust is also a continual process. The longer patients stay with your practice, the more they trust a deserving practitioner. Use that trust to inform your patients about all ongoing changes in dentistry and what these great preventive and treatment procedures can do for them and for their families. Consider the suggestions made in this article. See which ones seem to fit your practice, your community, and your personal and family needs. Then, you can integrate the appropriate ones into your practice.
Author’s note: The following educational materials from Practical Clinical Courses offer further resources on this topic for you and your staff.
One-hour videos:
- Optimizing Dental Hygiene to the Next Level (Item no. V4799)
- Multiple Patient Scheduling—Working Smarter, Not Harder (Item no. V4794)
Two-day hands-on courses in Utah:
- Restorative Dentistry 1—Restorative/Esthetic/Preventive with Dr. Gordon Christensen
- Faster, Easier, Higher Quality Dentistry with Dr. Gordon Christensen
For more information, visit pccdental.com or contact Practical Clinical Courses at (800) 223-6569.
Editor's note: This article originally appeared in the January 2022 print edition of Dental Economics.
About the Author

Gordon J. Christensen, DDS, PhD, MSD
Gordon J. Christensen, DDS, PhD, MSD, is founder and CEO of Practical Clinical Courses and cofounder of Clinicians Report. His wife, Rella Christensen, PhD, is the cofounder. PCC is an international dental continuing education organization founded in 1981. Dr. Christensen is a practicing prosthodontist in Provo, Utah.


