Does a simplified-shade composite system limit or improve outcomes?
Dentists love systems, and I’m no different, even if the system is complicated. I used to think that the only way to create gorgeous composite restorations was via a complex approach, including multiple layers, tints, and opacifiers. As a result, I bought many composite systems that didn’t always yield satisfying results. There’s a time and place for layering, and the amount of layering is dictated by the tooth and adjacent teeth being treated. However, I’ve found that in many cases, excellence can be achieved with a simplified system.
Related reading:
- I have it—you want it! G-ænial A’CHORD, Safe 'n' Sure Wall Dispenser, GrandioSO Light Flow
- Invisible Composite Restorations: Mastering shade matching with a Simplified System
Simplified-shade composite systems offer many benefits, including:
- Reduced inventory and waste: Composite kits with multiple shades can be very useful, but the less commonly used shades risk expiring. Expired materials are a waste of money, and rarely used composite is a waste of space. A composite shade system that offers more flexibility with fewer shades solves these issues.
- Reliable shade match and simplicity of restorations: Simplified-shade composite systems minimize time spent deciding between shades and allow you to spend more time providing direct patient care. When a single composite can be imperceptible on several shades of tooth structure, planning and execution of the restoration is more efficient and predictable.
- Universal composite: Composite resins that provide long-lasting restorations are ideal, but some that are designed for anterior teeth lack the physical properties for posterior teeth, and some that are designed for posterior teeth lack the optical properties required for anterior teeth. Respecting the proper use and handling, indications, and limitations of every product in the practice will produce the intended results of each material.
Finding a universal composite that offers strength, wear resistance, fracture toughness, and realistic optical properties can be challenging. Moreover, many dentists have a specific preference in the handling and consistency of their desired composite. There are many systems commercially available, and clinically acceptable results are achievable with most composite systems, but this article will focus on the features of G-ænial A’CHORD from GC America.
G-ænial A’CHORD is a simplified-shade universal composite system that covers the 16 shades in the Classic VITA shade guide in five core shades. It’s indicated for all classes of composite restorations, including diastema closures and composite veneers. In instances where the restoration requires characterization due to translucency or for areas that require more opacity, enamel and opaque shades are available. This material attributes its excellent strength, wear resistance, gloss retention, stain resistance, and radiopacity to GC’s proprietary technologies: full-coverage silane coating (FCS) and high-performance pulverized CERASMART (HPC) fillers.
My experience
I’ve had the opportunity to use G-ænial A’CHORD for many cases, and I find it to be pleasant to handle, yielding excellent results. For posterior cases, my assistant often selects the shade and confirms it with me. As a result, shade selection takes under 10 seconds. I prefer a nonsticky, creamier composite consistency, and I particularly appreciate the handling of this radiopaque composite resin. Additionally, I appreciate being able to efficiently evaluate my composites on radiographs at recall exams.
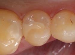
I have found that most posterior teeth can be restored using a single shade. In cases where the tooth structure is very discolored, coupled with a shallow tooth preparation, I opt for an opaque layer beneath my core shade. For anterior cases, the enamel shades offer enough translucency to give the restoration a lifelike appearance. I tend to opt for a core shade to restore chipped incisal edges, and the results have been terrific. Nothing’s worse than a patient coming back with an anterior composite restoration that didn’t hold up; it leads to patients losing confidence in your skills, sometimes negative reviews, wasted chair time, and lost profitability. Polishing this composite is very efficient and effective, and so far, it’s maintained its shine. From my assistants’ perspectives, simplifying my systems made it easier to learn, maintain inventory, and prepare for direct restorations. From my perspective, simplifying composite restorations allows me to reduce chair time, minimize waste, and predictably and efficiently place restorations that my patients love.
Fabricating composite restorations with a simplified system can yield exceptional clinical outcomes and enhance practice profitability.
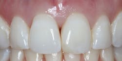
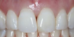
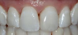
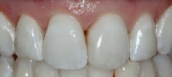
Results
Editor’s notes:
GC America is among Dental Economics’ financial supporters.
This article appeared in the December 2022 print edition of Dental Economics magazine. Dentists in North America are eligible for a complimentary print subscription. Sign up here.
About the Author
Pamela Maragliano, DMD
Chief Editor of Dental Economics
Pamela Maragliano, DMD, is the chief editor of Dental Economics. Based in Salem, Massachusetts, Dr. Maragliano began her clinical career as a dental hygienist. She went on to attend Tufts University School of Dental Medicine, where she earned her doctorate in dental medicine. She then attended the University of California, Los Angeles, School of Dental Medicine, where she became board-certified in prosthodontics. Dr. Maragliano owns a private practice, Salem Dental Arts, and lectures on a variety of clinical topics. You may contact her at [email protected].







