Masking color irregularities in bulk-fill composite restorations
By By Nantawan Kolakarnprasert, DDS, Camila S. Sampaio, DDS, PhD, MS, Ronaldo Hirata, DDS, PhD, MS
A large cavity in a posterior tooth can be either incrementally restored or bulk filled with resin composite. In the past, the incremental placement of a composite layer was the standard technique in order to prevent polymerization shrinkage and shrinkage stress. (1) However, one disadvantage of this technique was that air could become trapped between each layer. Also, it was more time-consuming due to the number of steps and layers that had to be applied. (2)
Due to the disadvantages of the incremental technique, the bulk-fill technique for direct posterior restorations was introduced. This technique is less sensitive and less time-consuming, and it has been widely accepted in dental practices. (3) Bulk-fill technology allows up to 4 or 5 mm of composite (depending on the manufacturer) to be placed in a single layer. Bulk fill composites such as Tetric EvoFlow Bulk Fill (Ivoclar Vivadent) claim to reduce polymerization stress due to the incorporation of stress relievers, which can result in better marginal adaptation and enhanced bond durability. Also, the bulk-filling technique has been reported to decrease cuspal deflection significantly, compared to traditional incremental filling, after adequate light polymerization of resin composites. (4,5)
Today, most flowable bulk-fill composites have higher translucency, compared to conventional flowable composites, in order to allow deeper penetration of light energy and higher depth of cure, thereby increasing polymerization of the restoration. But this beneficial property can also lead to a compromised esthetic restoration. After the preparation has been completed, the remaining pulpal floor usually reveals color irregularities. Under the threat of bacterial invasion, the pulp may attempt to protect itself by forming reparative dentin, resulting in an arrested carious lesion. (6) The arrested carious lesion is hard, and its surface is a yellow to dark brown color. (7) A second type of color irregularity can be found after amalgam removal; metal color can remain “tattooed” along the prepared tooth structure. These color irregularities can appear through the more translucent restorative materials and compromise the final esthetic result.
The following case study shows how these types of color irregularities can be managed efficiently while still taking advantage of bulk-fill technology.
Case Presentation
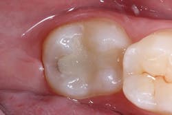
A 26-year-old patient visited a private office for a regular dental checkup. The clinical evaluation showed a No. 18 Class I composite restoration with marginal leakage and infiltration on the distal side of the cavity (figure 1). The surface of the restoration was irregular and lacked dental anatomy. Due to the patient’s esthetic needs and the remaining amount of natural tooth structure, composite filling was selected for the restoration.
The surface anatomy of the restoration was also compromised.
The existing composite restoration was removed with a No. 1015 diamond bur (KG Sorensen) mounted on a high-speed handpiece. Then, decayed tooth structure was removed using low-speed metal burs and a hand excavator. After the cavity was completely clean, a rubber dam was placed with a traditional 26 clamp on tooth No. 18.
The selective etching technique was chosen, and 37% phosphoric acid (Total Etch, Ivoclar Vivadent) was applied for 30 seconds. The tooth was irrigated with water spray and air-dried (figure 2). Next, a universal bonding agent (Adhese Universal, Ivoclar Vivadent) was scrubbed on the cavity surface until an immobile layer was achieved (figure 3). The excess solvent was removed with an air stream for 20 seconds, and the adhesive was light cured for 10 seconds with an LED light (Bluephase Style, Ivoclar Vivadent) 1 mm away from the cavity.
After adhesive treatment, Tetric EvoFlow Bulk Fill (IVA shade, Ivoclar Vivadent) was injected on the pulpal floor of the cavity in an increment of 4 mm, leaving the thickness for packable resin composite approximately 1.2 mm from the cavosurface margin to allow for final sculpture of the occlusal surface per the manufacturer’s recommendation. After light polymerization, the dentin-like opacity of Tetric EvoFlow Bulk Fill was observed, which masked the dark stump shade and improved esthetics. (figures 4 and 5).
An increment of conventional resin composite (Tetric EvoCeram, A1 shade, Ivoclar Vivadent) was placed in the cavity all the way to the cavosurface margin. Final sculpture was made with finite grooves and correct inclination of the molar anatomy to prevent possible stresses and polymerization shrinkage. After this last layer, brown pigments (IPS Empress Direct Color, Ivoclar Vivadent) were applied in the depth of the sulcus to enhance the occlusal pits and optically create depth in the final restoration. A superficial sealant (Biscover LV, Bisco) was applied over the pigments to preserve them. The restoration was light cured for 20 more seconds with a layer of glycerin gel to prevent the formation of the oxygen inhibition layer.
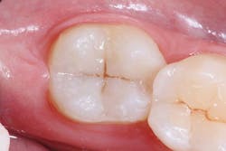
After the finishing process, occlusal contact was checked with contact paper (Bausch Progress 100, Bausch Dental). Any high occlusal contact point was removed with a carbide-finishing bur (No. H379, Komet Dental) at low speed. For polishing, an Astrobrush (Ivoclar Vivadent) was used without water, followed by a brush with diamond paste (0.5-μm Diamond Polishing Paste, Ultradent) mixed with baby oil (Johnson’s Baby Oil, Johnson & Johnson). The restoration was then finalized (figure 6).
References
1. El-Damanhoury H, Platt J. Polymerization shrinkage stress kinetics and related properties of bulk-fill resin composites. Oper Dent. 2014;39(4):374-382.
2. Bicalho AA, Valdívia AD, Barreto BC, Tantbirojn D, Versluis A, Soares CJ. Incremental filling technique and composite material - part II: shrinkage and shrinkage stresses. Oper Dent. 2014;39(2):E83-E92.
3. Simon JF. Success with bulk-fill composites requires understanding, attention to detail. Compend Contin Educ Dent. 2016;37(2):132-133.
4. Rosatto CM, Bicalho AA, Veríssimo, et al. Mechanical properties, shrinkage stress, cuspal strain and fracture resistance of molars restored with bulk-fill composites and incremental filling technique. J Dent. 2015;43(12):1519-1528.
5. Kim RJ, et al. Polymerization shrinkage, modulus, and shrinkage stress related to tooth-restoration interfacial debonding in bulk-fill composites. J Dent. 2015;43(4):430-439.
6. Al-Angari SS, AT Hara. A conservative approach to esthetically treat stained arrested caries lesions. Quintessence Int. 2016;47(6):499-504.
7. Daculsi G, Kerebel B, Le Cabellec MT, Kerebel LM. Qualitative and quantitative data on arrested caries in dentine. Caries Res. 1979;13(4):190-202.
Nantawan Kolakarnprasert, DDS, is in the master of science program in biomaterials at New York University. She holds a dental degree from Prince of Songkla University, Thailand.
Camila S. Sampaio, dds, PhD, ms, is a researcher at the Universidad de los Andes, Chile. She works in a private dental office in Chile and as a professor in esthetic and restorative dentistry in Brazil.
Ronaldo Hirata, DDS, PhD, MS, is an assistant professor of biomaterials and biomimetics at New York University, where he researches implant and restorative biomaterials. He keeps a private practice in Curitiba, Brazil.






