Zirconia crowns: The good and the bad
Each month, Dr. Gordon Christensen answers a question from readers about everyday dentistry.
Q: Full-zirconia crowns have been commonly used for several years. I have been using them since they were introduced in about 2009. Esthetic zirconia crowns have been available for only a few years, and I am switching some of my treatment plans to include them. There are some things I really like about zirconia, and there are others that I don’t like. Where are we with this material? Is it going to dominate fixed prosthodontics? Are there improvements coming, and if so, when will we see them? Are porcelain-fused-to-metal (PFM) and metal dead?
A: Zirconia for fixed prostheses is what I call a developing technology. There are several easily observed good characteristics and several concerning ones yet to be solved. In my opinion, zirconia still has some identifiable challenges needing to be overcome that I will describe in this article.
You asked a good question, and I see many dentists confused about both the positive and negative characteristics of zirconia. I will begin with the positive characteristics. My opinions are based on placing many zirconia crowns and prostheses and assisting in accomplishing significant basic science projects and microscopic observation of zirconia crowns and prostheses. Following that discussion will be my comments about the properties of zirconia that could be better.
Desirable characteristics of zirconia restorations
High strength: Full-strength zirconia—or as it is known in dentistry, 3Y zirconia (3 molar percent yttrium oxide)—has been used in industry for more than 35 years as a replacement for steel. Zirconia has an impressive reputation as an inexpensive and proven concept. In a large, long-term clinical research project being accomplished by Clinicians Report Foundation that includes more than 100 dentists and more than 100 dental laboratories, full-strength zirconia single crowns have had no breakage after about 12 years in the mouth (data available at Clinicians Report Foundation).
Low cost: Zirconia comes from the earth. It is dirt. Dental crowns and prostheses can be made for very little cost. Laboratory costs for making zirconia crowns are much lower than the costs of making PFM crowns or lithium disilicate crowns. Dentists, laboratory technicians, and potentially patients can have lower costs than the costs of time-consuming previous dental crown types.
Crowns are easily made. Zirconia restorations are milled from pucks, each of which make several crowns to fit previously made virtual models. This has replaced the labor-intensive time involved in making PFM, gold alloy, and lithium disilicate crowns.
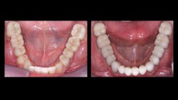
Crowns seat easily because of laboratory spacing of virtual dies. The intaglio surfaces of zirconia crowns are smooth, because the scanned impressions and computer spacing have eliminated the diamond scratches and other irregularities on the preps (figures 1 and 2). Because of this spacing, zirconia crowns seat without resistance. Dentists and patients are pleased when crowns seat easily, but the preps should be slightly deeper.
Challenges related to zirconia restorations
Zirconia crowns coming off in service: I have polled large groups of dentists in many of my courses concerning the frequency of zirconia crowns coming off in service. I seldom find a dentist who has not had zirconia crowns come off unexpectedly. Historically, this dilemma was rarely encountered related to the use of rigid zinc phosphate or glass ionomer cemented crowns.
In my opinion, the reasons for crowns coming off in service include these and undoubtedly many others:
- The smooth intaglio surfaces of zirconia crowns
- Lack of long-term bond of many bonding agents or cements
- Use of resilient resin cement instead of rigid cement, such as glass ionomer or resin-modified glass ionomer cement
- Lack of thorough rinsing of basic cleaners followed by seating with typical acidic cements
Color of full-strength zirconia: Full-strength zirconia colors are inconsistent from puck to puck. They are made in the Classic Vita colors, not the Vita Master Shade guide colors. So what? Your technician must place a thin layer of ceramic on the outside of all zirconia crowns to make them the color your patient needs (figure 3). Unfortunately, that ceramic wears the enamel on opposing teeth until it wears off. Internal pre-sinter applied colors can eliminate this problem, but this concept needs to be simpler to use and less expensive.
Lack of available information about various zirconia formulations: In the early days of dental zirconia, there was information for lab techs and dentists about formulations of zirconia relative to their similarity to the historical formulation of industrial zirconia. In recent years, specific information about zirconia formulations is difficult to find. Some ceramic manufacturers have published data using different methods for testing strength, causing confusion. Most have added more yttria to increase translucency, but more yttria has caused significant decreases in zirconia strength. To obtain the most adequate strength, the original zirconia formulation should be used (3Y, full strength); this is highly important for the most posterior teeth, and especially important for bruxing patients.
Laboratory spacing of occlusal contacts: Some labs are spacing occlusal contacts with opposing teeth as much as 0.5 mm to reduce the necessity for practitioners to adjust occlusal surfaces (figure 4). This negative technique is often not recognized by dentists, since excessive crown height is not present, and the patient does not complain. This technique places occlusal forces on the teeth adjacent to the new crown, potentially causing cusp breakage, primary occlusal trauma, and partial collapse of occlusion until tooth extrusion occurs.
Open margins of milled zirconia crowns: Scanners space the external of crown preps a significant amount (note figure 1). This spacing is inadvertently extended to the margins, making the margins open more than previous cast-gold alloy or PFM crowns. In my opinion, it is mandatory to use cariostatic cements to provide reduction or elimination of subsequent caries on the crown margins. Good choices are resin-modified glass ionomers (3M RelyX Luting or GC FujiCEM Evolve)—not resin cements, which shrink on setting and do not have cariostatic properties. In high-caries patients, I suggest conventional glass ionomer cements such as GC Fuji I or 3M Ketac Cem.
Reduced thickness of restorative material caused by tooth preparation spacing: When the tooth preparation is spaced significantly and the prep has been made to optimum specifications, the thickness of the restorative material is reduced proportionately, potentially weakening it. If significant spacing is being done, preps need to be made deeper to accommodate for it.
More long-term research is needed
At the time of this writing, full-strength zirconia has been used since 2009, and esthetic zirconia has been used for only about eight years. As a result, we still need more clinical research to validate the strength of zirconia multiunit fixed prostheses, how to place precision attachments in zirconia, what formulation of zirconia is best for single-unit crowns (anterior and posterior), how to simplify internal coloration of zirconia at the pre-sintered stage to eliminate the need for firing ceramic on the external of zirconia crowns, and many other questions.
Summary
It is clear zirconia is taking the place of most other fixed prosthodontic materials and will continue to do so. Improvements are constantly being made in zirconia formulations, and we hope they will solve some of the challenges noted. More real-world practice research needs to be done on zirconia. It is still an evolving technology. Unfortunately, PFM and cast-gold restorations are nearly dead, except for some devoted practitioners and for use on dentists themselves.
Editor's note: The article appeared in the November/December 2024 print edition of Dental Economics magazine. Dentists in North America are eligible for a complimentary print subscription. Sign up here.
About the Author

Gordon J. Christensen, DDS, PhD, MSD
Gordon J. Christensen, DDS, PhD, MSD, is founder and CEO of Practical Clinical Courses and cofounder of Clinicians Report. His wife, Rella Christensen, PhD, is the cofounder. PCC is an international dental continuing education organization founded in 1981. Dr. Christensen is a practicing prosthodontist in Provo, Utah.




