It’s time to end your love affair with dentures and move on to full-arch implant restorations
I love dentures. I love the endless adjustment appointments, the complaints that patients can’t chew their steak like they used to, and the fact that dentures just don’t stay where they’re supposed to. Give me all the dentures.
The genesis for full-mouth reconstruction is varied. Although poor home care and oral hygiene are without doubt the crux of the issue, factors such as genetics, medications, systemic health issues, and circumstances beyond a patient’s control cannot be ignored. It is furthermore understood that edentulism affects our most vulnerable patient populations—the aging and the economically disadvantaged.
Let’s look at some numbers:
- About 23 million Americans are completely edentulous.1
- Approximately 12 million are edentulous in one arch.1
- 90% of those who suffer from edentulism have dentures.1
- It has been estimated that the adult population in need of one or two complete dentures will have increased from 33.6 million adults in 1991 to 37.9 million adults in 2020.2
- About 15% of the edentulous population has dentures made every year.2
- By 2020, the estimated unmet need for prosthodontic services will be 560 million hours (partial and fixed included).3
What dialogue are you giving your patients after they are informed of the need to remove all their teeth? For that matter, what about the patients who already have dentures but are asking if they are candidates for implant-supported dentures?
There are five options for each of these patient groups:
- No teeth at all. As absurd as this may sound, I have had patients opt for this and they couldn’t be happier. Is it ideal? Well, each to his own, I suppose.
- A complete denture, which is essentially a piece of plastic that, unfortunately, most patients expect to function like real teeth due to misplaced high expectations and misunderstandings brought about by various media forums (figure 2).
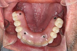
- An implant-supported overdenture or—more easily understood by many patients—a “snap-on” denture, which utilizes implants as anchors (figure 3).
- All-on-4 (AO4) or a full-arch hybrid prosthesis that is fixed (figures 4 and 5).
- Single implants across the arch in various positions to which single-tooth and bridge entities are fixed to mimic the natural dentition in a more natural way.
I had a discussion with one of my colleagues who has a practice solely dedicated to implants. He is on the lecture circuit discussing his cases, challenges, and promoting the utilization of this tool that essentially changes the quality of life for many patients who otherwise are at the mercy of a piece of plastic. My question to him: Why aren’t implants used to their maximum potential with this particular patient population? His answer surprised me:
To these points of concern, my answer is simple. There really is no one-size-fits-all approach. My recommendation is to do your research into each of these questions so you can incorporate them into a customized treatment plan for each patient. Why? Because you can’t treat a frail, 85-year-old woman the same way you treat a man with masseter muscles the size of your fist.
Let’s be honest—nobody likes telling a patient that it’s your first time doing a particular procedure, especially when their pocketbook, smile, and self-esteem are on the line. But once that first hurdle gets jumped, let’s just say the rest is history.
1. Facts & figures. American College of Prosthodontists website. https://www.gotoapro.org/facts-figures/. Accessed December 30, 2019.
2. Douglass CW, Shih A, Ostry L. Will there be a need for complete dentures in the United States in 2020? J Prosthet Dent. 2002;87(1):5-8. doi:10.1067/mpr.2002.121203
3. Douglass CW, Watson AJ. Future needs for fixed and removable partial dentures in the United States. J Prosthet Dent. 2002;87(1):9-14. doi:10.1067/mpr.2002.121204
About the Author
Stacey L. Gividen, DDS
Stacey L. Gividen, DDS, grew up in Hamilton, Montana. She did part of her undergraduate work at Purdue University and then received her bachelor’s degree in exercise physiology from the University of Utah. After applying to both medical and dental school, she decided that dentistry was her career of choice. In 2004, she received her DDS degree from Marquette University School of Dentistry in Milwaukee, Wisconsin. She is in private practice in Hamilton, Montana, where she focuses her care on prosthodontics and cosmetic dentistry. She is a guest lecturer at the University of Montana in the anatomy and physiology department. Dr. Gividen is the co-editorial director of Endeavor Business Media’s clinical and product newsletter, Through the Loupes, and a contributing author for DentistryIQ, Perio-Implant Advisory, and Dental Economics. She also serves on the Dental Economics editorial advisory board. Outside the office, Dr. Gividen trains for triathlons and spends time with her family. You may contact her at [email protected].
Read Dr. Gividen's DE Editorial Advisory Board profile here.










