Upgrading your digital x-ray sensors: Lower cost, higher quality, and compatible with imaging and dental practice management software
Introduction
Digital radiographs are the standard of care in the dental practice, replacing film radiography over the past years. As advances in digital sensors in medical treatment transitioned to dentistry more than 20 years ago, film radiographs have disappeared in the dental practice. During that time, digital sensors and the quality of images have improved, providing higher resolution images and enhancing our ability to identify issues such as caries, cracks, accessory canals, and other pathology in the surrounding bone.
As nothing lasts forever, including digital sensors, they need to be repaired or replaced periodically. When repair is expensive or not possible, replacement of the sensors becomes necessary. The average lifespan of a digital sensor before service is needed has been reported at five years, depending on how they are cared for during use. Trauma to the sensor, such as accidently dropping it on the floor, will damage its internal components. Over time this leads to sensor failure that may or may not be repairable.
Additionally, where the cord connects to the sensor can be a potential point of failure (breakage). If the cord is repeatedly bent at too much of an angle, it can lead to sensor failure, a common issue. Thought needs to be given to replacing sensors when they reach a certain age or become problematic, affecting the image quality. As with other things in life, we may reach a point where repairing things exceeds the cost to replace them. We may fix one aspect and then something else breaks, making repair not cost-effective.
Sensors have continued to improve in product and image quality. With that in mind, I will review an open sensor that is compatible with various dental practice management software systems and offers high-quality images at a lower purchase cost than competing products.
The DentiMax Open sensor
Practices around the country utilize various dental practice management and imaging software, including Dexis Imaging Suite, Planmeca, Gendex VixWin, Apteryx, Dentrix Ascend, Curve, Eaglesoft (Patterson), Gendex, and Suni. So, when looking at adding or replacing digital sensors, the choice is between a closed- or open-source sensor.
Closed-source sensors are designed to work with specific imaging or practice management software and may not be easily connected (i.e., not compatible) with other software products, whereas open-source sensors may be used with any imaging or practice management software. Some software systems require connection via a TWAIN driver, which is a software program that acts as an interface between a scanner—in this case, the digital sensor and an application. DentiMax Open sensors are compatible with various imaging and practice management software systems. They will also work with software that requires a TWAIN driver. The DentiMax Open sensor does not require a connector box but connects to the operatory computer via a USB connector (figure 1).
DentiMax Open sensors are available in four sizes to fit all clinical situations requiring intraoral radiographs in the dental practice. Competitors’ products are offered typically in three sizes (0, 1, and 2). But DentiMax also offers a size 1.5 to accommodate those patients for whom the size 2 is too large or in patients with exaggerated gag reflexes. The 1.5 size allows capture of more area than a typical size 1 sensor may be able to capture. Other competitors do not offer the size 0, which is usually used with pediatric patients where a size 1 sensor may be too large to allow radiograph capture. DentiMax Open sensors are offered in a size 0 (18 mm x 24 mm), size 1 (20 mm x 30 mm), size 1.5 (24 mm x 33 mm), and size 2 (26 mm x 36 mm) (figure 2).
Sensor thickness is also an important factor. Thicker sensors may cause issues such as discomfort or gagging, whereas thinner sensors are more comfortable for the patient and less likely to lead to gagging during image capture. The DentiMax Open sensors come in a thickness of 4.5 mm for each of the four sensor sizes, compared to a 7 mm-plus thickness for some of the competitors’ products (figure 3).
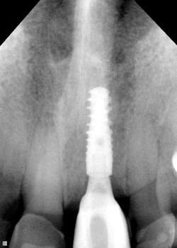
Positioning the sensor intraorally is simplified with the VersaRay sensor positioning kit, consisting of a rod, ring, and bite block (figure 4). The ring aids in positioning the x-ray tube to eliminate cone-cutting in the captured image. The tube is parallel to the rod and aligned with the ring. Autoclavable bite blocks are available as is the VersaRay sensor positioning kit. Its bite blocks are available for anterior periapicals (figure 5), posterior periapicals (figure 6), and bitewings. The bite blocks provide two options to allow capture of a horizontal bitewing (figure 7) or vertical bitewing (figure 8). The benefit of vertical bitewings is a greater visibility of surrounding bone and root surfaces.
The most important factor in images is probably resolution, whether taking digital photographs with a camera or cell phone, and it is equally important when acquiring digital radiographs. Technological advances have resulted in improvements in resolution compared to the original sensors and even those available from just a few years ago. This concept is easily understood if we compare cell phones from five years ago to those we have now. The new cell phones are faster, thinner, and have more features. Additionally, the cameras in the newer cell phones create much higher quality images due to the improvements in resolution technology. This is similar to the newer digital sensors available today compared to those from just a few years ago.
According to DentiMax, evaluation from “CMOS sensors feature a scintillation layer bonded directly to the imager, eliminating the fiber-optic face plate and making the sensors less than 5 mm thick.” The image capture area of the DentiMax Open sensor size 2 provides 879 mm2 compared to Dexis (790 mm2), Schick 33 (910 mm2), and Carestream (930 mm2).
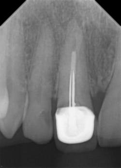
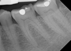
The resolution of DentiMax Open sensors provides 14-16 lp/mm actual, 25 line lp/mm theoretical on size 0 sensor and >20 lp/mm actual, 25 line lp/mm theoretical on the size 1, 1.5, and 2 sensors. Further, Dr. Gordon J. Christensen’s Clinicians Report says that “DentiMax’s sensors exhibited excellent resolution, sensitivity, image quality, and exposure latitude in controlled comparisons with other leading sensor brands.” Quality images are the result with bitewings (figure 9), anterior periapicals (figures 10 and 11), and posterior periapicals (figure 12).
Warranties are important with all technology products. With the DentiMax warranty, should a hardware issue arise, the matter will be addressed and not cost the practice additional funds during that warranty period. DentiMax offers one of the best manufacturers’ warranties on the market, with each sensor including a free three-year warranty from the manufacturer. If an issue that was not accidental occurs in that three-year warranty period, a new sensor will be provided at no additional cost. Additionally, a five-year accidental protection plan covers everything outside of the manufacturer’s warranty, including dropping the sensor, running over it with a chair, stepping on it, or any other accident (minus theft). If an issue arises under the accidental protection plan, simply return the sensor to DentiMax and they will provide a brand-new sensor at a discounted price. The practice won’t need to pay full price for a sensor they purchased again under the plan.
We must take cost into consideration when evaluating purchases. The DentiMax Open sensor costs $2,999 retail for the size 2 sensor, which is 40%–60% less than competitors’ products. The company offers a free two-week trial. They will ship a sensor to your practice and set it up for free. If you decide not to purchase the sensor, DentiMax will cover return shipping.
Conclusion
Speaking from personal experience, after using Schick sensors for 20 years, when a Schick sensor failed, repair was not cost-effective. After evaluating the available options with various companies, I chose to switch to the DentiMax Open sensor due to its comparable resolution, thinner sensor, and lower cost. Installation was a stress-free process. Their technician remotely connected to Eaglesoft on my system, quickly got the sensor set up, and fine-tuned it with the radiography system in my practice.
Our patients have commented that thinner sensors are more comfortable than the ones we used to use. We feel the quality of the images we are taking is higher than what we were getting with our older Schick sensors. Additionally, my old sensors needed to plug into a box, which then connected via USB cable to the operatory’s computer. With the DentiMax system, the sensor connects directly via its USB cable to the operatory computer without that intermediary box.
Editor's note: This article appeared in the March 2025 print edition of Dental Economics magazine. Dentists in North America are eligible for a complimentary print subscription. Sign up here.
About the Author
Gregori M. Kurtzman, DDS, MAGD, FPFA, FACD, DICOI, DADIA, DIDIA
Gregori M. Kurtzman, DDS, MAGD, FPFA, FACD, DICOI, DADIA, DIDIA, is in private general dental practice in Silver Spring, Maryland. He is a prolific author and has lectured internationally on the topics of restorative dentistry; endodontics, implant surgery, and prosthetics; removable and fixed prosthetics; and periodontics. Dr. Kurtzman is a consultant and evaluator for multiple dental companies. He can be reached at [email protected].













