‘No prep, no shots, no pain’
Michael DiTolla, DDS, FAGD
“No prep, no shots, no pain.” These words are exactly what patients would love to hear when they are considering porcelain veneer treatment. While I usually prefer to do some teeth preparation, I have discovered that some no-prep cases can result in optimal gingival health and beautiful, natural-looking esthetics.
Working with Glidewell Laboratories’ Vivaneer ThinPress Ceramic has changed my view on no-prep cases. This preblended, extra-high-strength, lucite-reinforced ceramic is ideal for thermopressing ultra-thin (0.3 mm) ceramic veneers. This ceramic works great for consistently pressing veneers on cases that have little to no tooth preparation.
No-prep veneers work well for “additive” type esthetic cases. These include cases where multiple diastemata are present, when teeth are shorter than they used to be due to trauma or wear, and where there has been a loss of facial enamel volume. In some cases where the only goal is the “permanent bleaching” effect, no-prep veneers may be best.
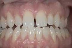
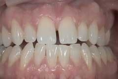
Figure 1 is a preoperative shot of a 30-year-old male patient with multiple diastemata who wanted to close the spaces between his teeth but was not concerned with fixing his incorrect midline. However, the patient had a fear of shots and invasive procedures. Figure 2 shows the .3 mm Prismatik ThinPress veneers tried into place. The patient was ecstatic with how his new smile would look, and the veneers were bonded into place in less than 45 minutes.
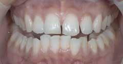
Figure 3 also had multiple diastemata and several teeth that were overinclined to the lingual. This woman had experienced postoperative sensitivity to a crown placed several years earlier, and was hoping not to have to remove much tooth structure. Figure 4 shows the Prismatik ThinPress veneers at try-in. Again, the patient was amazed by the immediate improvement in esthetics. The 10 veneers were cleaned and bonded into place in less than one hour.
Normally, I prefer to prepare the teeth somewhat in veneer cases. Prismatik ThinPress also works extremely well in these minimal-prep situations. I find there are certain advantages to prepping teeth. Many times when teeth are not prepped, veneers can exhibit overcontoured margins or the veneers will appear bulky in the mouth. When you prepare the teeth, you also retain control of a number of factors that can ruin a case if left unattended. Advantages of doing conventional teeth preparation include:
• Contour factors (emergence profile, facial profile, incisal third)
• Color change without overbulking the ceramic
• Margin placement for concealment
• Provides definitive margin for technician to work with
• Allows correction of greater misalignment
If a dentist decides to go ahead with a no-prep case, I believe it is very important to have written, informed consent from the patient. No-prep cases can produce great, natural-looking esthetics. However, it’s important that patients know their options for veneer treatment. I like to talk with a patient about any potential downside, as mentioned above, that could be involved in a no-prep case. Once a patient is informed and agrees to proceed with no-prep veneers, a dentist can proceed with confidence.
As always, when doing a veneer try-in, be careful not to push patients toward accepting veneers if they seem unsure. A dentist wants to make sure patients love their veneers before they are bonded into place. This type of treatment isn’t “reversible” without damage to the teeth. I have used my Waterlase YSGG laser from Biolase to remove no-prep veneers without damage to a patient’s teeth. However, many dentists have yet to incorporate this technology. So, be sure that a patient is happy with the veneers while they are still filled with try-in paste.
I did not believe that quality, esthetically pleasing restorative veneers could be achieved without preparing the teeth. However, after doing a no-prep case, I now believe no-prep veneers can be a great option for certain patients. If you would like to receive a free Porcelain Veneer Technique DVD or VHS tape showing prep and no-prep technique and cementation, send me an email at [email protected].
Dr. Michael DiTolla is director of clinical research and education at Glidewell Labs in Newport Beach, Calif., where he also teaches courses on topics such as esthetic restorative dentistry. He teaches a two-day, live-patient, hands-on laser-training course that emphasizes diode and erbium lasers. He also teaches a two-day, hands-on digital photography course on intraoral and portrait photography, and image manipulation. More information on these courses can be found via email at [email protected] or by calling (888) 535-1289.




