Ask Dr. Christensen
by Gordon J. Christensen, DDS, MSD, PhD
In this monthly feature, Dr. Gordon Christensen addresses the most frequently asked questions from Dental Economics® readers. If you would like to submit a question to Dr. Christensen, please send an e-mail to [email protected].
For more on this topic, go to www.dentaleconomics.com and search using the following key words: ethical, esthetic, veneers, crowns, treatment plan, anterior teeth, conservative dentistry, tooth-colored restorations, Dr. Gordon Christensen.
I have an ethical question that frequently bothers me. Quite often, patients request esthetically oriented treatment that is not necessary and that I would not recommend for myself. Examples of my dilemma include requests such as removing all amalgams and replacing them with tooth-colored restorations, placing ceramic veneers on anterior teeth that look very acceptable to me, and replacing gold-alloy restorations with tooth-colored restorations. How should I react to such requests? Is it unethical for me to provide this treatment when I would not do it to myself?A I am faced with the same frustrating patient requests, and I probably have just as much difficulty making the treatment decisions as you do. To answer your question, I will offer my opinions by discussing real-world dialogues I have had with patients I have recently treated, and discussing the suggestions that I made to each of these patients.This question does not bother me as much when I consider another health-care specialty. Plastic surgeons are faced with many complex and frustrating questions and requests as they attempt to satisfy the esthetic desires and demands of their patients. They are in the business of performing esthetically-oriented procedures that are completely elective. Does that knowledge make your oral care decisions easier?
In my opinion, all patients should be provided with detailed information on the various options for their therapy. Patients, with the dentist's help, should make a decision about the most appropriate treatment for their specific situation. After patient education and adequate discussion have been accomplished, I feel comfortable providing the treatment to which we have agreed. Of course, I require the patient to sign an informed consent form before I start the procedure.
The following information includes discussion and images of two patients who represent requests on both ends of the treatment spectrum. One patient wants conservative therapy, and the other wants more comprehensive treatment. I will use the stories of these two patients to illustrate my feelings about the ethical questions involved in these two similar clinical situations.
Patient No. 1 is a 21-year- old female who was treatment- planned by another dentist to receive eight maxillary anterior veneers (see Fig. 1). She has one endodontically-treated, darkened central incisor with significant internal tooth structure missing, superficial white spots on the maxillary anterior teeth, and a few minor diastemas. She was referred to our office for a second opinion because she was very distraught over the eight-veneer treatment plan provided by the previous dentist.
The following potential treatment plans were suggested for her.
1) Conservative Plan: Remove the restorative material and gutta percha in the coronal portion of tooth No. 8. Make a channel for a post. Place a resin-based composite, fiber-reinforced post in tooth No. 8. Bleach all of her teeth with 15% carbamide peroxide in trays, used at home for two weeks. Let the tooth color mature for two more weeks. Remove the superficial “white spots” using muriatic acid and pumice (enamel microabrasion). Place prepless “add-on” resin-based composite restorations on the interproximal surfaces of the teeth where diastemas are present. Let the color of the teeth and composites mature for another week. Prep and later seat an all-ceramic crown on tooth No. 8.
2) Veneer Plan: Same as plan 1, except place veneers on teeth Nos. 7, 9, and 10, and an all-ceramic crown on tooth 8, thereby restoring the defective tooth and filling the diastemas.
3) Previous Dentist's Plan: I did not suggest eight veneers, as her original dentist proposed in his treatment plan.
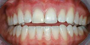
The patient and her parents elected to accept the most conservative option, No. 1 (see Fig. 2). Both the patient and her parents were pleased with the conservative result. It is my opinion that although the treatment was not perfect, it will serve her well for at least several years, with minor, occasional self-administered bleaching to keep the crown and “add-ons” matching the natural teeth.
I was pleased the patient accepted the conservative plan. Placing eight veneers on a 21-year-old person would have required replacement of the veneers several times over her lifetime, with the potential for more tooth reduction and trauma and significant cost each time. She was greatly relieved and pleased with the results.
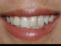
Patient No. 2 is a 28-year-old female. This patient was at the opposite end of the spectrum of the conservative vs. comprehensive treatment (see Fig. 3). She requested longer, fuller, whiter teeth. The following treatment options were suggested to her:
1) Conservative Plan: Minor anterior orthodontics, reducing the width of a few maxillary teeth, and moving the teeth into better alignment. Minor gingival recontouring with electrosurgery or laser. Bleach all of her teeth. Let the color of the teeth mature for two weeks. Remove the previously placed resin-based composites and replace them with new restorations.
2) Veneer Plan: No orthodontic therapy. Bleach all of her teeth. Let the color mature for two weeks. Perform minor recontouring of the four maxillary incisor teeth that are out of alignment. Replace the resin-based composites with new restorations. Place four, thin (0.3 mm) veneers on the maxillary central and lateral incisors.
The patient rejected both of these plans. She continued to request a broader, fuller smile. The desire for this type of smile seems to be a stereotype for young women. Remaking her smile to meet her request would require more veneers.
Her request presented an ethical dilemma. Should I place eight or 10 veneers to satisfy her desire for a broad, full smile? I pondered the request and finally decided that if I didn't do her therapy, someone else would. After significant patient education about the advantages and disadvantages of multiple veneers and completion of a signed informed-consent form, we placed 10 veneers, resulting in the broad, full, white smile shown in Fig. 4.
Did I make the right decision? I feel I did the right treatment for this patient by placing thin, conservative veneers that could be removed if desired without further restorative treatment.
The most significant point I wish to make is that the patient was informed of the potential negative consequences of her treatment. The dental treatment in this example is not different (from an ethical standpoint) than a plastic surgeon agreeing to remove fat, perform breast augmentation, or do a face lift.
Practical Clinical Courses (PCC) has popular DVDs directly related to the examples in this article. The information in these DVDs will help you keep out of clinical and legal trouble:
• DVD V4733 — “Protecting Yourself Against Malpractice Suits” was made by me and a well -known malpractice attorney. It takes you through the necessary concepts that allow you to accomplish elective procedures without endangering yourself, while at the same time providing excellent education and adequate expectations for the patient.
• DVD 1521 and DVD 1512 show conservative, thin veneers and conventional veneers, with me placing each type of veneer in a step-by-step fashion.
Dr. Christensen is a practicing prosthodontist in Provo, Utah, and dean of the Scottsdale Center for Dentistry. He is the founder and director of Practical Clinical Courses, an international continuing-education organization initiated in 1981 for dental professionals. Dr. Christensen is a cofounder (with his wife, Rella) and senior consultant of CLINICIANS REPORT (formerly Clinical Research Associates), which since 1976 has conducted research in all areas of dentistry.
3 tips to boost hygiene productivity
To achieve optimum productivity in the hygiene department, these three Levin Group Hygiene Maximizer™ strategies are vital to total practice success:
1. Establish a hygiene recare system. The more patients you put back on the schedule immediately, the less patient attrition.
2. Educate patients. One of the most valuable ways a hygienist can use chair time is to educate patients and excite them about treatment while emphasizing treatment benefits.
3. Script for questions and objections. Outstanding communication relies on scripts for patient benefit statements and for addressing concerns in the best possible manner.
Levin Group suggests implementing these steps to immediately increase hygiene productivity while improving communication with patients. To learn even more ways to master hygiene productivity, visit www.levingrouptraining.com.




