In-office tooth whitening: The frontline tactic for many noninvasive dental treatments
The impact dental whitening has in dentistry is much larger than we as professionals often consider in everyday practice. The desire for whiter dentition is nearly a consensus among various cultures and generations. Take-home whitening treatments are common and convenient for patients, but these treatments can commonly take two or more weeks to complete. In our fast-paced culture, that timeline may not be acceptable for patients.
In-office whitening gives clinicians a treatment option to appease the immediate desires of patients while not requiring immense amounts of time and energy from doctors. The patient views the clinician as responsible for the results, and the clinician has total control over the procedure. Effectively utilizing whitening treatments can provide a massive boost to a dental practice. To do so, clinicians must understand the nuances between in-office and take-home whitening treatments, how to identify proper candidates for in-office whitening, the cause(s) of tooth discoloration, and pulpal response.
More than a vanity procedure aimed at giving patients whiter teeth, whitening can be a first-line noninvasive dental procedure. The speed of the process is a key aspect of in-office treatments. Clinicians can boost patients’ self-confidence and how they perceive their own smiles often in just one appointment. The drastic change in appearance and patients’ heightened perception of their smiles can often illuminate color and shape discordances that passed unnoticed before whitening. In those cases, patients will often return to the practice asking us to treat additional conditions, such failing restorations, crowns, and other issues.
Along with improving color in large restorations, whitening can also improve cases involving hypoplastic stains in the labial aspect of anterior teeth. Bleaching can help alleviate the perception of these white stains because the whole background becomes whiter in the process, allowing the two colors to merge. Unfortunately, merging does not always occur, which could require another—usually more invasive—procedure, such as a direct composite restoration, for example.
When weighing potential whitening cases, there are multiple key factors to assess outside of staining alone. Understanding the cause of the discoloration and the pulpal response to the procedure are both significant.
Stains coming from external sources are typically easier to bleach, since the staining tends to be in the organic portion of enamel and dentin. Internal causes, on the other hand, tend to be more difficult as the stain is usually attached to the inorganic portion of the tooth.
To understand the pulpal response, the clinician must remember pulp physiology—all of the changes both internally and externally that occur as teeth age. “Older” dentition presents a cementum deposition and subsequently a narrower foramen, which hinders proper blood exchange and compromises any inflammatory response (older here should be used with caution, as this is a very normal condition in an individual’s late 30s). However, the younger the tooth, the less secondary and tertiary dentin (which could act as a makeshift barrier) are present. In these situations, there will be a better inflammatory response because of a larger foramen. Recognizing the cause and pulpal response helps guide clinicians in selecting the appropriate materials and concentrations for each case.
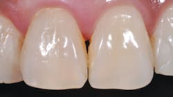
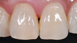
Knowing when and how to end whitening treatment is also of paramount importance. If a clinician follows protocol and the treatment seems to be “stuck” halfway through, a more invasive technique—such as a direct or even an indirect veneer—may be required to attain the patient’s desired results. Fortunately, in this case the desired color to match the vital neighboring teeth was achieved with no additional treatments needed.
Combining whitening techniques can be an effective way to approach treatment. Starting with an in-office procedure provides a quick and often immediately noticeable outcome. Following up with at-home treatment then ensures stable, long-lasting results without the need for additional chair time.
There is an influential benefit clinicians receive from in-office procedures that often goes unnoticed: getting the credit for the results. The patient recognizes the dental professional’s active work in achieving the successful outcome, and this perception adds value to the time spent in the chair. A happy and confident patient is one who will refer care to more friends and family. When using take-home whitening, patients often might credit the whitening products themselves for the treatment outcome.
In-office whitening provides rapid results that helps patients become more aware of their oral health. In turn, that awareness makes it easier for them to understand the importance of proper care of their dentition. Whitening is much more than simply an esthetic procedure; it can be effective as a first-line choice of noninvasive treatment. Utilizing everything whitening can offer requires clinicians to have a keen understanding of both in-office and take-home treatments as well as the ability to properly identify whitening cases, which includes knowing the root cause for tooth discoloration and pulpal response.
About the Author

Rafael Beolchi, DDS, MSc
Rafael Beolchi, DDS, MSc, of São Paulo, Brazil, has more than 20 years of experience in esthetic and cosmetic dentistry. He is known for his international lectures and educational activities. Dr. Beolchi is the author of two book chapters: “Restoration of endodontically treated teeth” in Professor Mario Leonardo’s book on endodontics, and the chapter on light curing in Professor Ewerton N. Conceição’s book on operative dentistry.



