The “natural tooth interim pontic”
by Jeff T. Blank, DMD
For more on this topic, go to www.dentaleconomics.com and search using the following key words: natural tooth interim pontic, implant, Ribbond THM, Jeff T. Blank, DMD.
For people with healthy, attractive smiles who meticulously care for their teeth, the diagnosis of nonrestorable internal/external resorption on a maxillary central incisor can be devastating. As clinicians, we realize that the road to restoration with an implant can be filled with a series of complex procedures that often span several months, and a functional and esthetic provisional restoration is required.
While some patients may be satisfied with an interim single tooth flipper partial, this is rarely ideal in terms of esthetics, function, and confidence.
When given the alternative of a fixed, highly esthetic, and dependable natural tooth pontic, most patients will gladly pay the additional fees associated with this service. In most cases of internal/external resorption, the destruction occurs within the radicular confines and the clinical crown remains unaffected.
Often the clinical crown has ideal contour and position, matches the adjacent teeth in terms of color and surface texture, and properly supports the soft tissue architecture. Thus, utilizing the patient’s natural clinical crown as a fixed interim pontic is often a superior alternative to a flipper partial.
The steps for creating a natural tooth interim pontic are relatively simple, but do take a degree of coordination from the implant surgeon during each phase of treatment. Once the tooth is extracted, the root is sectioned from the clinical crown and the root canal is sealed with flowable composite and shaped to support the free gingival margins and papilla. I like to use Ribbond THM (Ribbond, Seattle) in the 2 mm width to secure the clinical crown to the adjacent teeth.
First, I mark the occlusal contacts with articulating paper to locate the best position to place the strand and avoid occlusal interferences. I then estimate the length Ribbond THM requires, cut the fibers with the supplied scissors, and wet it with Ribbond wetting resin. The unaltered adjacent teeth are etched, dried, and a fifth generation primer/adhesive is applied and light cured. Ribbond makes a flowable securing resin that has the ideal handling properties to permit adaptation to the adjacent teeth.
Once the strand is in place, it is light cured and creates a rigid beam on which the extracted clinical crown can be attached (Fig. 1). Simply cut a rectangular slot in the lingual aspect of the tooth, etch and apply bonding agent and light cure, fill the slot with Ribbond securing resin, and seat the natural tooth on the strand in proper alignment. I wipe away the excess flowable material and light cure (Fig. 2).
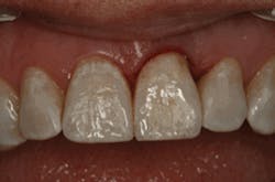
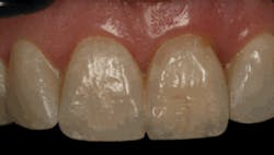
Fig. 3 shows the immediate facial view of the natural tooth interim pontic in place. Over the course of treatment, this natural tooth pontic can be easily removed by sanding away the Ribbond THM strand on the adjacent teeth, and then removing the material from the lingual slot with appropriate diamond burs. The placement steps are then repeated. Fig. 4 shows the implant-retained crown that has been custom stained for a perfect match.
Although each reseat procedure takes about 30 minutes, there is no lab fee or concerns for common flipper RPD adjustments and fracture/repairs; therefore the fees are quite reasonable. Patients love the confidence and superior esthetic result the natural tooth interim pontic permits.
Jeff T. Blank, DMD, graduated from the Medical University of South Carolina, College of Dental Medicine in 1989. He maintains a full-time private practice in Fort Mill, S.C., and is the chief instructor for New Millennium Education. He can be reached at [email protected], or visit his website at www.carolinasmilecenter.com.




