The “magic bullet” of composites?
Jeff T. Blank, DMD
For more on this topic, go to www.dentaleconomics.com and search using the following key words: magic bullet, composite layering, Jeff T. Blank, DMD, Discus Dental.
While I speak and write on many diverse topics, I particularly enjoy teaching direct composite layering techniques. I love the artistic intricacies of replicating nature and being in complete control of the esthetic results.
As a profession, we are fortunate to have several excellent direct composite systems that provide us with a complete artistic pallette of shades, translucencies, and tints, and permit us to duplicate nearly every subtle nuance of natural teeth. But not every dentist is an “artist,” and to fully utilize some of the newer advanced systems requires time, a reliable technique, and a healthy measure of humility and patience.
With this in mind, some dental manufacturers now offer simplified direct resin systems that permit the creation of lifelike esthetics with minimal effort, skill, and shades. While I still enjoy the finer nuances that can be delivered through many of the more elaborate direct composite systems, I cannot deny the fact that not every restoration requires such attention to detail. Also important, not every patient values the time, skill, and effort involved enough to pay the fee. So I am constantly evaluating new products, looking for the proverbial “magic bullet” of direct resins that can render a beautiful, vital, polychromatic restoration quickly and affordably.
Nuance Composite
Nuance Composite by Discus Dental is a nano-hybrid composite resin system with excellent physical properties that is delivered in what is probably the most practical composite syringe on the market. It spreads like butter, is not sticky, and holds its shape when contouring.
Nuance offers a streamline selection of the most commonly used body shades and three enamel materials designed to tackle the vast majority of everyday cases. I know a good bit about the optical properties of modern composite resins, so you can imagine my initial skepticism concerning claims that Nuance’s multifaceted fillers permit varying degrees of translucency in a single body shade based on thickness alone. This week, the perfect test case walked in the door.
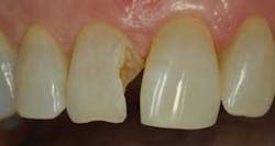
An emergency patient presented in my office after losing a large, aged composite on tooth No. 8 (Fig. 1). The schedule was packed and she was short on time, so I decided to place a large composite and appoint her for more definitive treatment later. I took an overall shade and grabbed the syringe Nuance A2 Universal and filled the defective area with a single shade. As I polished, I truly began to appreciate the optical miracles this material conjures. In the deep recesses in the gingival half of the prep, the material appeared to be appropriately opaque to match the more cromatic tooth structure.
However, as I thinned the material to blend into the incisal half, the material became more translucent in near perfect harmony with the adjacent existing natural tooth (Fig. 2). It’s fairly well known that slightly beveling the incisal edge lingually can give the illusion of an incisal halo, but with Nuance, that glowing edge that can be so elusive with some systems jumps right out there. Creating all that vitality in one shade is simply amazing.
I have done several Class III cases with Nuance, as well as a handful of posterior composites using Nuance in the “singles,” and this optical miracle consistently emerges. So there’s no doubt in my mind that Nuance by Discus Dental might just be the magic bullet we need to create incredibly lifelike restorations without all the fuss of layering.
Jeff T. Blank, DMD, graduated from the Medical University of South Carolina, College of Dental Medicine in 1989. He maintains a full-time private practice in Fort Mill, S.C., and is the chief instructor for New Millennium Education. He can be reached at [email protected], or visit his website at www.carolinasmilecenter.com.


