A better clear aligner treatment experience with SureSmile
Many adults in the US have some meaningful form of untreated malocclusion. Before the advent of clear aligner therapy, a good deal of these patients were resistant to traditional orthodontics, so we had to help them clean their teeth deeper with root planing and soft-tissue management programs and hope they would stay on top of it.
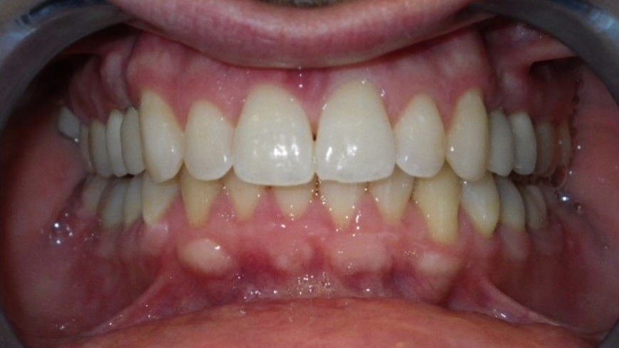
With clear aligners, which are both more efficient and accepted by patients, we can move the teeth into a better position, and patients are less likely to need periodontal maintenance, surgery, or crowns, or to deal with broken teeth or the development of sleep apnea.
Significant revenue potential
Clear aligner therapy presents a huge opportunity for dentists. It can provide a new revenue stream, without raising fees, and requires minimal time to take a brief scan with an intraoral scanner, such as Primescan. I have been offering clear aligners for 15 years; however, about two years ago, I started looking at SureSmile aligners. I realized that offering them would provide a better treatment experience for my patients, so I switched. The biggest advantage of SureSmile is their refinement rate. Recent data has shown that 72% of Invisalign cases needed two or more refinements,1 but in a three-year analysis of SureSmile cases, three out of four patients did not need refinements.2 I have experienced the need for even fewer than that in my own office, and this has greatly reduced patient chair time.
Happy patients = practice growth
SureSmile aligners move the teeth efficiently, and average cost is less than that of the aligners that I recommended previously, which makes an enormous difference in my profitability. In addition, my patients are happy with the experience and tell their family and friends how wonderful the process is, further fueling the growth of my practice.
The option to incorporate a straight or scalloped trimline into the aligners is a nice feature. My patients complain about discomfort far less with SureSmile aligners. SureSmile offers a complete case option that includes the SureSmile VPro vibration device, which improves patient comfort when seating the aligners and accelerates orthodontic tooth movement, as well as the SureSmile whitening kit, which can further enhance smile esthetics once cases are finished.3,4
Backed by training and resources
The customer support is another reason I switched. Although I rarely experience an issue, if I do, I know that someone will get back to me right away. SureSmile also offers an ever-growing amount of training and resources, such as SureSmileU and the DS Academy, which is excellent for doctors who are new to providing clear aligner therapy.
SureSmile has provided a better clear aligner treatment experience for both my patients and me. It is amazing what straight teeth can do.
Takeaways
- Treating malocclusion with clear aligners is a huge opportunity for dentists to improve patients’ oral health while adding a new income stream.
- SureSmile makes clear aligner treatment seamless, offering a high-quality, efficient system that gets results in less time with fewer refinements, which increases profitability.
- SureSmile offers a complete case option that includes aligners, the SureSmile VPro vibration device, and the SureSmile whitening kit.4
- Dentsply Sirona provides the support and resources that dentists need to be successful with SureSmile aligners. The SureSmile clinical, customer care, and sales specialists are always available to answer questions.
Editor's note: This article originally appeared in DE Weekend, the newsletter that will elevate your Sunday mornings with practical and innovative practice management and clinical content from experts across the field. Subscribe here.
References
- Kravitz ND, Dalloul B, Zaid YA, et al. What percentage of patients switch from Invisalign to braces? A retrospective study evaluating the conversion rate, number of refinement scans, and length of treatment. Am J Orthod Dentofacial Orthop. 2023;163(4):526-530. doi:10.1016/j.ajodo.2022.03.016
- Based on an internal analysis in excess of 150,000 global SureSmile aligner cases conducted between Jan. 2021 – June 2023. Data on file.
- Alansari S, Atique M, Gomez J, et al. The effects of brief daily vibration on clear aligner orthodontic treatment. J World Fed Orthodontists. 2018;7(4):134-140.
- Shipley T. Effects of high frequency acceleration device on aligner treatment-a pilot study. Dent J (Basel).2018;6(3):32.
About the Author

Trent W. Smallwood, DDS
Trent W. Smallwood, DDS, began his education at Indiana University Bloomington, then went on to earn his DDS at Indiana University School of Dentistry, where he graduated with honors in prosthodontics. Dr. Smallwood specializes in advanced aesthetic dentistry with an emphasis on comprehensive esthetic rehabilitation and clear aligner orthodontics. He is an international speaker and published author and has been recognized as a Top 100 Speaker in Dentistry Today several times in the last 10 consecutive years. In addition, Dr. Smallwood regularly provides consulting services to dental manufacturers, laboratories, and his peers. He owns the Centre for Contemporary Dental Concepts in Tempe, Arizona, where he has been practicing for over 25 years.


