The rising demand for clear aligner therapy: How to be efficient, predictable, and profitable
Today’s dental patients are multigenerational, savvy consumers who demand much more than a “cleaning and exam” to fulfill their dental needs. They do their due diligence in finding modern, high-tech dental offices offering esthetically driven procedures, such as clear aligner therapy, teeth whitening options, and veneers. Many speculate this is a result of the newly coined “Zoom effect,” where dental esthetics become all too consuming.
Equally important to these dental consumers are treatment plans that are customized to fit their dental and lifestyle needs. Lauren Gueits, BS, RDH, shares, “Patients appreciate time-saving, painless procedures to achieve the smile of their dreams and keep their teeth for a lifetime. Having options also helps them move forward with recommended treatments such as clear aligner therapy.” The dental professional can adapt to these demands by providing modern treatments with time-saving advantages that not only address patients’ esthetic concerns but also the root causes to help them achieve the utmost in dental health.
Case study by Dr. Ben Miraglia
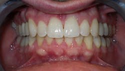
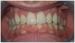
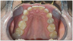
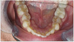
Primary issues
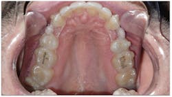
- He measured 28 mm, which is very narrow considering that uncrowded adults measure 35 mm–39 mm.
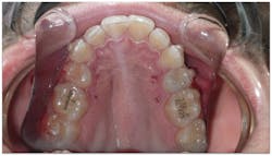
- His narrow maxilla had a corresponding vaulted palate, which is clearly visible (figure 3).
- He had improper buccolingual inclination as most of the posterior teeth had excess lingual inclination (figure 4).
Diagnosis
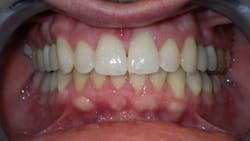
Everything added up to a diagnosis of maxillary deficiency, which had an adverse effect on the position of the mandible. The patient’s narrow, underdeveloped maxilla also trapped his mandible in a retruded position upon closure.
Treatment planning
Again, the above diagnostic information was taken into consideration during the consultation process. Since the patient had both foundation and tooth alignment issues, it was determined that he would benefit from a treatment plan addressing both issues. An upper removable expansion appliance would be a good choice to start; however, this patient knew he would not be able to achieve the compliance necessary for the appliance to be effective. Fortunately, clear aligners offer an excellent opportunity for arch development, tooth alignment, and a healthy occlusion.
Micro-osteoperforations
Since my goal was to open the premolar extraction sites, we decided to use the Excellerator Series drivers (Propel Orthodontics) for micro-osteoperforations (MOPs) as a supportive technique to stimulate the patient’s biology. When anatomical issues delay tooth movement longer than is considered normal, productive, or within the patient’s expectations, or the patient has expressed issues with long-term compliance, MOPs are an essential part of the treatment plan.
Without any additional compliance needed from the patient, MOPs can accelerate the rate of orthodontic tooth movement by up to 62% via a microinvasive delivery. The technique can be targeted to certain areas, allowing for total clinical control and predictable, fast tooth movement. The patient agreed to clear aligners with MOPs after a full discussion of all options, including the risks and benefits of each.
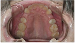
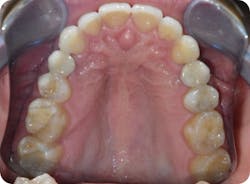
Three-step process including integration of MOPs
If I treated this patient today...
If I treated this patient today, I don’t believe I would have repeated the MOPs. Instead, I may have combined MOPs with VPro (Propel Orthodontics) for the most effective results. High-frequency vibration with the VPro Series has been shown to reduce treatment time by up to 64%. These devices also reduce treatmentEditor's note: This article appeared in the August 2021 print edition of Dental Economics.
Ben Miraglia, DDS, a graduate of the State University of New York at Buffalo School of Dental Medicine, has practiced general dentistry for 26 years in Mt. Kisco, New York, including 16 years of interceptive orthodontics with a focus on early childhood growth and development. An international lecturer, he is on the Align Technology faculty, the American Academy of Physiological Medicine and Dentistry Board of Directors, the Northern Westchester Hospital President’s Council, and is vice president of clinical affairs for Airway Health Solutions.
Lauren Gueits, BS, RDH, is CEO and founder of Airway Health Solutions and Clear Aligner University. A 1991 graduate of the State University of New York at Farmingdale, she received postgraduate training in myofunctional therapy from the Academy of Orofacial Myofunctional Therapy in 2013. She is guest faculty at New York University, a key opinion leader/national speaker, and a recipient of the 2010 Sunstar/RDH Award of Distinction. Gueits is an advocate for airway health and early interceptive/expansive orthodontics.
About the Author
Ben Miraglia, DDS
BEN MIRAGLIA, DDS, a graduate of the State University of New York at Buffalo School of Dental Medicine, has practiced general dentistry for 26 years in Mt. Kisco, New York, including 16 years of interceptive orthodontics with a focus on early childhood growth and development. An international lecturer, he is on the Align Technology faculty, the American Academy of Physiological Medicine and Dentistry Board of Directors, the Northern Westchester Hospital President’s Council, and is vice president of clinical affairs for Airway Health Solutions. To learn more about expansive orthodontics, contact Dr. Miraglia at [email protected] or visit airwayhealthsolutions.com.
Lauren Gueits, BS, RDH
Lauren Gueits, BS, RDH, is CEO and founder of Airway Health Solutions and Clear Aligner University. A 1991 graduate of the State University of New York at Farmingdale, she received postgraduate training in myofunctional therapy from the Academy of Orofacial Myofunctional Therapy in 2013. She is guest faculty at New York University, a key opinion leader/national speaker, and a recipient of the 2010 Sunstar/RDH Award of Distinction. She is an advocate for airway health and early interceptive/expansive orthodontics.














