Universal and bioactive: The next generation of crown and bridge cements
A clinically “closed” crown margin is considered to be 30–50 microns, where a sharp dental explorer cannot “feel” a perceptible “click.” But is that margin really closed? Since bacteria are only about 1 micron in diameter, a 30–50-micron margin could be “open” to the ingress of bacteria unless the luting agent can successfully and permanently occlude that gap.
Over time, many traditional luting agents may break down and leave margin gaps vulnerable to bacterial penetration. A bioactive luting agent, however, with the availability of fluoride, calcium, and phosphate ions in the presence of saliva can support natural remineralization, leading to formation of apatite crystals on its surface to further protect and seal the marginal area for years to come. One such cement currently on the market is Activa Bioactive-Cement (Pulpdent).
The number one cause of crown restoration failures is recurrent decay and microleakage at the restoration/tooth interface. Activa’s proprietary polymer matrix (Ion-X) has beneficial ionic effects (fluoride, calcium, and phosphate release and recharge, pH neutralization, and apatite formation) that support natural remineralization. This leads to gap-reducing apatite formation and protection from secondary caries—both of which increase the lifespan of the tooth and restoration for the patient.
Some of the features of Activa Bioactive-Cement include:
- Universal bioactive luting applications (retentive preparations): Just load and place the restoration. It can be used on various substrates including zirconia, e.max, and porcelain-fused-to-metal (PFM). A clear advantage of its use is that traditional resin-modified glass ionomers (RMGIs) do not precipitate apatite.
- Activa Bioactive-Cement can be bonded in nonretentive preps, unlike RMGIs which are not compatible with bonding agents. According to the manufacturer, Activa Bioactive-Cement is compatible with bonding systems. It has been shown that the beneficial ions can penetrate the bonding layer to benefit the underlying tooth structure.1
It is important to mention that patented Modulus elastomers in the cement reduce polymerization shrinkage stress and shrinkage stress rate by mitigating or absorbing shrinkage forces during light-curing. This also leads to a “shock-absorbing” effect so that the cement interface is less likely to fracture under forces from occlusion. Another unique feature is that Activa Bioactive-Cement works in moisture-challenged environments, setting it apart from typical resin-based luting cements.
The following cases demonstrate the use of Activa Bioactive-Cement in a clinical setting.
Case 1: Step-by-step cementation of an e.max crown
The patient featured in this case needed a crown replacement on tooth no. 5 due to recurrent decay present at the margin. Figure 1 shows an occlusal view of no. 5 after the provisional restoration was removed.
The crown is prepared first by etching with Porcelain Etch Gel 9.6% hydrofluoric acid (Pulpdent; figure 2), then rinsed and dried with air spray. Figure 3 shows the etch pattern that is consistent with e.max (lithium disilicate) material.
Next, a silane coupling agent (Pulpdent) is used to enhance the bond of the resin to the glass ceramic (figure 4). If this restoration was made from zirconia, the intaglio would be abraded with a micro-etcher, cleaned, rinsed, and dried, and then followed by the application of a metallic primer containing MDP.
Next, let’s discuss the preparation. If the preparation is retentive (six- to 10-degree axial walls) and at least 3 mm in height, bonding protocol is not required. Just place Activa Bioactive-Cement into the intaglio of the crown and seat.
If a bonding agent is desired, perhaps with a less retentive preparation, the prep is etched with 37% phosphoric acid (figure 5) for 15 seconds, rinsed, and dried, being careful not to desiccate the preparation.
Next, the bonding resin is placed by coating the preparation (figure 6). The resin is air-thinned, and the solvent is evaporated. Activa Bioactive-Cement is then syringed into the crown (figure 7), and the crown is fully seated on the preparation (figure 8).
Immediately after seating, a sable brush can be used to remove excess cement from around the margins (figure 9). Figure 10 shows the use of an explorer to remove additional excess cement after the material has reached a gel set. The interproximal contacts are checked with dental floss, and any additional cement fragments are removed (figure 11). It’s always wise to verify cement removal with a postoperative radiograph. Figure 12 shows the completed cementation of the restoration using Activa Bioactive-Cement.
Case 2: Step-by-step cementation of a Maryland ceramic bridge
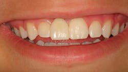
Figure 13 is a retracted intraoral view of a teenage patient with a missing tooth no. 8 due to trauma. The patient was too young to consider an implant restoration. It was decided to go with a bonded ceramic Maryland bridge as an intermediate solution so that an implant could be considered in the future.
As described in case 1, this restoration can be made from either e.max (lithium disilicate) or zirconium. The same protocols described in case 1 would apply for treatment of the substrates.
This case is made from lithium disilicate, the retaining surfaces are etched (figure 14) with Porcelain Etch Gel 9.6% hydrofluoric acid, and then rinsed and dried (figure 15). Silane is applied to the etched surfaces (figure 16).
The palatal surfaces of teeth nos. 7 and 9 are micro-etched to remove the biofilm layer (figure 17) and then etched with 37% phosphoric acid (figure 18) and rinsed thoroughly with water (figure 19). Figure 20 shows a palatal view of the etched surfaces of the retaining teeth.
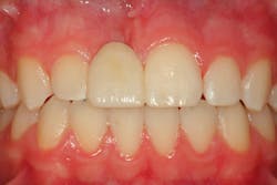
Next, bonding adhesive is placed on the retaining etched surfaces (figure 21). After air-thinning, the bonding agent is light-cured per the manufacturer’s instructions (figure 22). Activa Bioactive-Cement is then placed on the retaining surfaces of the restoration, the restoration is seated into place, and excess cement is removed from the marginal areas with a sable brush while the restoration is secured with finger pressure and light-cured (figure 23). Figures 24 and 25 are postcementation photographs of the completed bonded ceramic Maryland bridge.
Conclusion
Two cases have been shown featuring step-by-step use of Activa Bioactive-Cement. This versatile material can be successfully used for anterior and posterior restorations, supra-gingival, equigingival, and subgingival margins, and all substrates, such as metal, gold, zirconium, and high-strength ceramics. Clinical versatility and bioactive patient protection makes Activa an excellent choice for both doctors and patients alike.
Editor's note: The article appeared in the September 2024 print edition of Dental Economics magazine. Dentists in North America are eligible for a complimentary print subscription. Sign up here.
Reference
- Murali S, Epstein N, Perry R, Kugel G. Fluoride release of bioactive restorative with bonding agents. J Dent Res. 2016;95(Spec Issue A):S0368.
About the Author

Robert A. Lowe, DDS, FACD, FADI, FAGD, FASDA, FICD
Robert A. Lowe, DDS, FACD, FADI, FAGD, FASDA, FICD, is a cosmetic dentist and associate professor in the department of reconstructive and rehabilitative sciences at the Medical University of South Carolina James B. Edwards College of Dental Medicine. He works as an educator, author, and consultant for several dental manufacturers. Dr. Lowe is a recipient of the Gordon Christensen Outstanding Lecturer Award.


























