Three keys to cosmetic dentistry success
by Marvin Berlin, DDS
At McKinneyDentist.com, our team believes in planning for success. That's why we start every day by reviewing our schedule with the entire team at the morning huddle. This particular day's schedule, like most others, looked to be busy and filled with many rewards. However, to say I was intrigued when I noticed an interesting emergency case on the schedule would be an understatement. Looking at the schedule, I saw "New Patient, Veneers Emergency."
I've seen a lot of emergencies in my years as a dentist. But veneers – an emergency? Sure enough, I talked with my scheduler and it wasn't a typo. An emotionally stricken patient wanted to be seen as soon as possible for a case of "gone wrong" veneers.
Meet Cheyenne, a 22-year-old schoolteacher, tearfully distressed about her new veneers that left her feeling less than made-over. From the moment her previous dentist handed her the mirror to see the six new upper, anterior veneers that he had placed, she pleaded for a redo. Cheyenne's fear quickly turned to disappointment when the dentist explained that he had done as much as he could for her.
After reviewing Cheyenne's case and listening to her story, I assured her that my team could give her a smile she would be proud of.
Communication
In all aspects of dentistry, especially cosmetic dentistry, communication is critical. More often than not, what we think looks right may not be what our patient wanted. Did we ask the right questions? Do we know the emotional reason behind why this patient is sitting in our chair today? If not, it's unlikely the patient will be satisfied with the outcome, regardless of how clinically sound the case presents.
Treatment planning cosmetic dentistry needs to be a group effort – you, your team, the lab, and the patient must have aligned expectations. Not only is it important for my team and me to know the exact outcome of a cosmetic case before we start, it's even more important that our patient knows the intended outcome before we ever get started.
Listen
Instead of telling patients what you can do, listen to what they want you to do. Cheyenne told us that these veneers made her teeth look huge. She felt they were too thick and very opaque.
After listening to her story and examining her veneers, I couldn't argue that the results had major room for improvement. I was confident I could improve her smile. Most importantly, though, I wanted her to be excited and feel comfortable about the positive changes I would make for the smile she deserved. For the case to be successful in Cheyenne's eyes, I needed her to visualize her final results before we started by showing her a cosmetic wax-up.
I use OptraGate when I prep and seat to keep lips out of the way.
The cosmetic wax-up is the first opportunity to show the impact cosmetic dentistry can have on the patient's smile. First and foremost, I had to address Cheyenne's chief complaint – that the teeth were too large, both buccolingually and mesiodistally.
I use a prep guide, made from the wax-up, to verify material thickness.
Additionally, I prefer doing eight or 10 veneer units in a case, instead of six, giving me the opportunity to bring the premolars out buccally, which creates a fuller, more esthetic smile. This methodology also allows me to decrease the width of the anterior teeth (smaller mesiodistally) by adding width to the premolars.
Ideal temporaries; keep those gums happy!
The cosmetic wax-up was a great visual for Cheyenne. I assured her that we would make her temporaries from the mold of her wax-up so she could get a feel for her new smile. Once Cheyenne saw her wax-up, she was very excited and ready to move forward with the treatment plan.
Preparations
These had to be done perfectly. My personal philosophy on preps is not to go subgingivally while avoiding supragingival, and don't mess with gingiva. For optimum preps, equi-gingival is the best. I also use OptraGate by Ivoclar when I prep and seat to keep the lips out of the way.
I use a Brasseler KS-2 bur on all teeth except the laterals, where I use a KS-1. Both of these burs are designed so that if you keep them parallel to the long axis of the tooth and follow the gingiva 360 degrees, they will give your lab technician an ideal prep with ample clearance.
As soon as we get the case back from the lab, we verify that all specs are correct.
The burs also provide a deep shoulder margin, ideal for Ivoclar's e.max. To be on the safe side, I also use a prep guide, which I make from the wax-up, to verify material thickness.
For e.max, my lab technician requests 1.5 mm, so I give him 1.75 mm. I've never had a lab tech complain about too much clearance. As a final part of the tooth preparation, I polish the preps with Super-Snap® mini-discs from Shofu Dental Corporation to remove sharp edges or line angles on the preps.
Cheyenne after
Temporaries
Ideal is the only way these should be described. We use a double-layer splint made from the wax-up to increase precision and guarantee that the marginal integrity and occlusion are spot-on. I assured Cheyenne that if we needed to make any adjustments she didn't recognize on the wax-up, we could adjust or reshape her temporaries, take an alginate impression, and the lab could duplicate the revisions. In Cheyenne's case, she loved her temps as is. Once again, keep those gums happy!
Shade verification
From the first time we met Cheyenne, she thought her original veneers were too opaque and yellow. Her original minimal prep veneers were very thick and dull, so our goal was to add some life to them. To accomplish this, we had the lab put in translucent porcelain and highlight with a white halo around the incisal quarter edges of the teeth.
Delivery of her case had to be flawless. Therefore, as soon as we got the case back from the lab, we verified that all requested specifications were correct: margins, shade, thickness, contour, and incisal edge position.
YES!
In our practice, there is one word we can't get enough of – YES! Simply put, if a patient wants it, we'll do whatever it takes to make it happen. Same-day emergency appointments – YES! Same-day treatment – YES! Weekend appointments – YES! You get the point.
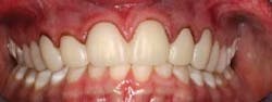
Cheyenne's after smile
In Cheyenne's case, she wanted smaller, less protrusive, whiter, more translucent teeth. So we said YES! With great communication, planning, and execution, our team was successful in delivering the smile our patient wanted from the get-go. In fact, I think we even exceeded her expectations. Saying YES to Cheyenne was a win-win for Cheyenne and our team.
As I mentioned above, it takes more than me, the dentist, to make cosmetic dentistry a success in my practice. Thanks go to my scheduler, Cathey, who understood Cheyenne's urgency and scheduled her for an emergency appointment the same day. That appointment gave me and my assistants – Jennifer, Stephanie, and Ketoya – the opportunity to say yes to Cheyenne's needs.
Beyond saying yes, it took many people behind the scenes to make her case so successful: the excellent wax-up, prep guide, and temp matrix from Jimmy Fincher, my local lab technician at Cosmetic Advantage, and the beautiful crowns made on Christmas Eve by Bob Clark at Williams Dental Lab.
Without a doubt, the rewards of changing someone's life with cosmetic dentistry are beyond cool. Just remember that communication, planning, and execution can go a long way in your cosmetic dentistry success.
Marvin Berlin, DDS, is happily married to his wife, Leah, and has been blessed with two beautiful daughters, Annie and Tori. He has been practicing dentistry for 22 years, and is the senior partner at Heartland Dental Care (McKinneyDentist.com), one of the most productive and profitable dental offices in America. Dr. Berlin lectures on marketing and management of dental practices. The YES philosophy of patient care has changed the way hundreds of dentists approach their practice philosophy. Be on the lookout for the in-depth Dental Economics article, "Practice of the Future," featuring McKinneyDentist.com.
Past DE Issues







