Early diagnosis, minimally invasive cavity prep, and bioactive restorative materials
Minimally invasive restorative techniques are becoming more prevalent as a philosophy and treatment modality. Even so, many dentists still diagnose pit-and-fissure caries like Fred Flintstone and Barney Rubble's dentist did, with an explorer—the same explorer that is now a blunt probe after being sterilized hundreds of times!
With the combination of early caries detection devices, microinstrumentation, and bioactive restorative materials, the days of G.V. Black's rule of "extension for prevention" are all but gone. Today, with an emphasis on patient comfort, early intervention, and a more conservative approach to cavity preparation and restoration, this trend is taking a front seat to the old watch-and-wait approach for the treatment of pit-and-fissure dental caries.
You might also be interested in: Smile makeover: A minimally invasive recipe for esthetic success
The economics of practice growth
Growing the bottom line is something all doctors think about regardless of the type and size of their dental practice. Some build by trying to attract as many new patients as possible. Then, the challenge is to find the time to treat them and still maintain the quality of care. There are only so many hours in a day, after all.
Another approach is to expand services through CE. While this may seem like a good strategy, there are time commitments and considerable costs. For example, for a general dentist to add implants, the required coursework can take an average of one to four weeks out of the office. After that, additional equipment is needed, another added expense. Adding rotary endodontics, Invisalign, and Botox, to name a few, also requires additional training and equipment costs.
This article will describe the procedure of "comfortable cavity preparation." Adding this procedure to your practice requires no additional training and very little additional equipment cost. The good news? This approach to augmenting your practice can help boost the bottom line, attract new patients, and build your business through internal marketing and word of mouth to your existing patient base. This is still considered by most practice management experts as the most effective and cost-efficient way to market. Whether the practice is fee-for-service or a DSO, comfortable cavity preparation is time efficient and carries a high level of patient satisfaction, both huge positives in practice growth.
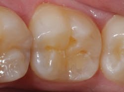
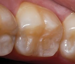
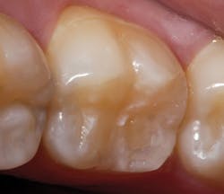
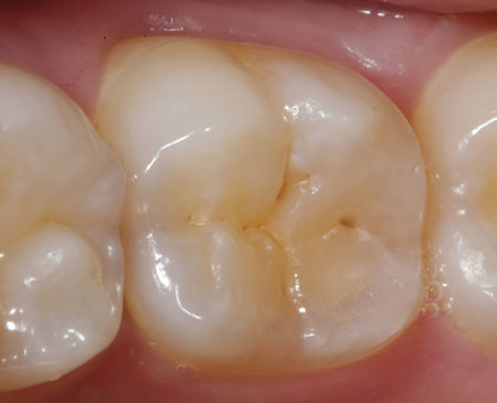
Incipient carious lesions: The fissurotomy
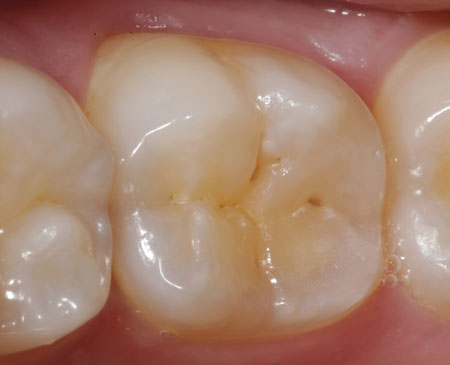
Fissurotomy allows the dentist to conservatively widen the primary grooves of a posterior tooth using specialized carbide burs designed to minimize preparation size, while creating ideal shape and form utilizing divergent walls and rounded internal line angles to reduce the risk of fracturing for the restorative material. The bonuses for the patient are minimized biologic risk, and that because enamel is not innervated, the preparation can often be performed free of pain without local anesthesia.
Patients respond positively when procedures can be performed comfortably and they can leave the office without a numb lip. The result is that a majority of the surrounding healthy tooth structure is preserved. And by using bioactive restorative materials that can help replenish calcium and phosphate ions in the demineralized tooth structure, the rebuilding of healthy hydroxyapatite is now possible.
The Comfortable Cavity Prep System
The Comfortable Cavity Prep System is a kit of task-specific rotary instruments by SS White designed to give the dentist both a conservative way to access carious lesions in tooth structure and a way to remove carious dentin only, leaving behind structurally healthy dentin substrate. Access into enamel does not elicit a pain response because there is no nervous innervation of this tissue. The diminutive tip of the fissurotomy bur allows for pinpoint access through the enamel to the carious lesion with little to no removal of healthy tooth structure.
Once the dentino-enamel junction is penetrated, SmartBurs II (SS White), a polymer bur designed to discriminate between healthy and infected dentin and remove only decayed tooth structure, is used for excavation. Unlike carbide burs, which cannot discriminate between diseased and healthy tissue, SmartBurs II do not remove affected dentin. The dentin can then be remineralized using a biologic restorative that has calcium and phosphate ions available for uptake.
Using the combination fissurotomy and SmartBurs II with a minimally invasive approach will lead to better patient outcomes and referrals from happy patients, while at the same time helping them keep their natural teeth throughout their lifetime.
Biologic restorative materials: A new look at bioactivity
Most restorative materials, even most of the latest generations of composites, still merely occupy the void left by cavity preparation. There is a trend toward dental restoratives and liners referred to as "smart" materials. These products have the potential to not only restore the tooth, but also help it heal and rebuild itself from within, deposit apatite crystals at the restorative interface in the presence of moisture, or release ions from the material to create a disruptive antiplaque effect.
Bioactivity is no longer just about fluoride ion release alone. Restorative materials can now be chosen based on the individual needs of the tooth and the patient, not on which material is the clinician's favorite. Bioactive liners (e.g., Activa Bioactive-Base/Liner, Pulpdent; TheraCal LC, Bisco; Calcimol LC, Voco) have the availability of not only fluoride ions, but also the building blocks of apatite to help convert affected dentin to healthy dentin.
It has long been supported in the dental literature that affected dentin can be remineralized back to healthy dentin.1 Some of the bioactive liners also provide a moisture-proof seal (TheraCal LC, Bisco) and can be used for direct pulp-capping procedures. New smart restoratives like Activa and Beautifil II (Shofu), a composite based on Shofu's giomer technology, are examples of materials that can provide bioactive protection at the cavosurface margins for a level of protection not provided by previous generations of filling materials.
Conclusion
Using comfortable cavity preparation protocol in conjunction with bioactive restorative solutions can help increase patient satisfaction by offering long-term solutions to help them keep their teeth for a lifetime and in many cases offering anesthesia and pain-free treatments, leading to increased referrals to your practice. Early diagnosis and efficient treatment also translate into better efficiency at the chair, increased number of procedures performed, and a better bottom line for the practice!
Reference
1. Mount GJ. A new paradigm for operative dentistry. J Conserv Dent. 2008;11(1):3-10 doi: 10.4103/0972-0707.43411.
Originally published in 2017 and updated regularly.
About the Author

Robert A. Lowe, DDS, FACD, FADI, FAGD, FASDA, FICD
Robert A. Lowe, DDS, FACD, FADI, FAGD, FASDA, FICD, is a cosmetic dentist and associate professor in the department of reconstructive and rehabilitative sciences at the Medical University of South Carolina James B. Edwards College of Dental Medicine. He works as an educator, author, and consultant for several dental manufacturers. Dr. Lowe is a recipient of the Gordon Christensen Outstanding Lecturer Award.



