The light Fantastic
by Stewart Rosenberg, DDS
When I became interested in advanced technology, specifically lasers that could perform both hard and soft tissue procedures, I had two main concerns: Would the laser be a good investment, and would the learning curve be too steep? I have since learned that many dentists who are investigating the acquisition of a laser share these concerns. Let's examine both questions in detail.
Most dentists have little formal business training; therefore, they tend to make all business decisions from a clinical perspective rather than a financial one. Normally, the maximum comfort zone on dental purchases is about $1,000. As long as an item does not exceed that magic number, we'll generally buy anything. We're susceptible to influence from our peers. We see advertisements in a trade journal, or a buddy at the local study club raves about a certain product. Perhaps a "guru" on the lecture circuit says a certain product is the best thing since sliced bread. Whatever the situation, we get excited about products and often purchase them impulsively. We've all done this more than once, spending $150 here, $500 there on some great new product - only to stash it on a shelf. There, it gathers dust until, three years later an assistant — tired of moving it around —throws it out.
On the other hand, if someone tries to persuade a dentist to invest in a product that costs $5,000, yet will make a $50,000 return by the end of the year, the response would likely be, "I can't afford $5,000."
We all know that most dentists tend make decisions to buy or not buy based on emotion, fear, peer pressure, whim, or on their spouse's mandate. They rarely base their purchasing decisions on the most important criteria of all: return on investment.
A crucial principle to understand is that it doesn't matter what something costs so long as the return on the investment is more than the cost. If it costs $1 million, and you realize a $3 million return, you have a phenomenal investment. If your investment costs $129, but you never use the product, then you have wasted your investment.
In my personal experience, I know of no better return on investment for our practice than our purchase of a YSGG laser. In the early days of lasers, sales were miniscule because lasers only cut soft tissue — sometimes not very well. Many of us decided to wait for a laser that could cut tooth structure and soft tissue.
However, in the last three years, lasers have become available that cut both types of tissue, some more effectively than others. More and more dentists are embracing laser technology and using it for cavity preps (which the YSGG laser does very well, normally without anesthesia.)
Owning a hard-tissue laser also allows me to work on multiple quadrants at the same time, and I rarely have to wait for anesthetic to take effect. It's a tremendous practice builder to offer needle-free, drill-free dentistry. These factors have a positive economic impact on our practices and are enough to more than justify the cost of the laser.
However, the real economic and professional bonanza is the array of procedures we can now offer our patients that we used to either refer to specialists or, worse, ignore completely. These procedures represent a gold mine of incremental income walking in and out of our doors on a daily basis. And, best of all, we will be doing our patients a great service by addressing their needs more comprehensively, more comfortably, and often more economically — and have a heck of a lot of fun in the process.
Figuring your return on investment
Obviously, adding a YSGG hard and soft tissue laser to your practice opens up many possibilities to expand the services within your practice. My own experience illustrates clearly just how profitable the purchase of a YSGG laser can be.
When I first investigated lasers and became interested in a top-of-the-line YSGG from the leading manufacturer, I was told that the cost would be around $1,000 a month. I naturally assumed that my team and I would have to generate double that amount to make this decision economically worthwhile.
Before I acquired my laser, I did not perform any of the procedures listed above. Like most of you, I fancied myself a "cosmetic dentist" (meaning I did no amalgams, a few veneer cases, and a ton of routine restorative and single crowns and inlays.) As a fairly successful "cosmetic dentist," though, I had no clue as to how many procedures I should have been treating. Additionally, I was very anti-blood and anti-surgery. I only liked to do clean, painless stuff.
One other problem: as a dentist offering a fairly basic "portfolio" of procedures, I wasn't sure what to charge for all of the extra things my practice could do with a laser. I assigned my office manager the task of calling local oral surgeons and periodontists to determine a reasonable fee schedule. Based in this research, we decided to charge — with a few exceptions — the same fees the specialists charged. I've always believed that if general practitioners can perform a service with an identical degree of skill, accuracy, speed, and success as a specialist, then we are entitled to the same fee. If we could not do a procedure as well as a specialist, we should continue to refer to the specialist.
With the laser, I knew that I could not only do procedures as well, but, in many instances, better, faster, and with less postoperative discomfort. To make the YSGG laser pay for itself, I determined that we needed to do four or five procedures a month. The increased revenue from probable referrals, time saved from reduced anesthesia use, and the increased practice efficiency were added bonuses. It became quite obvious that the decision to purchase a YSGG laser was a no-brainer economically.
Much to my delight, my calculations were completely accurate! We soon began putting the YSGG laser to work by increasing the number of hard- and-soft-tissue cases. We quickly discovered that we had been ignoring thousands of dollars a month in procedures, as well as many types of treatment that improved the standard of care for our patients.
Improved standard of care
Let's cite some examples of how we improved our standard of care. A patient presents with teeth fractured near the gingival. The teeth need a buildup and crown, but the margins would invade the biologic width unless a crown lengthening is performed first. In the past, this patient would have been dispatched to the periodontist who, after several weeks, would perform the procedure and charge the patient $700 to 800. With the YSGG laser, we can do the procedure ourselves quickly, often without anesthesia and without a flap. We can then prep the tooth, take impressions, make a temporary, and, two weeks later, insert the final crown. I charge the patient $650 for this over and above the buildup and crown fee. We often do several in a week. The patient saves money, time, discomfort, and my practice earns an extra $650. Having the YSGG laser in my practice made this scenario a true win-win situation for the patient and for me.
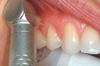
Another example: How much time do you spend troughing around crown and veneer preps? I spend on average between five to seven minutes. If I do five crowns a day, I've wasted a half hour of valuable chair time. Furthermore, using retraction cord is a difficult and annoying chore, at best. With the laser, I can trough around a prep in a minute or less and then immediately take an impression in a dry, bloodless field. (Fig. 1) What's that worth to you?
Another example of raising the standard of care with a laser: How many patients complain of a sensitive, exposed root surface? With the laser we can permanently desensitize a tooth in 30 seconds to a minute at a fee of $75 per tooth*. (Fig. 2)
Frenectomies are incredibly easy to do and take only about 60 seconds — even on a bad day — and usually with nothing more than topical anesthesia. Fees for frenectomies average from $200 to $350 in our area —and I'm not just referring to lingual frenectomies. Virtually every practice has countless patients with excessive frenum that pulls at their lower central incisors or bicuspids. If it isn't released, it will end up with stripping of the gingiva and the eventual need for a graft.
What about the veneer case that requires a smile lift? Wouldn't it be nice not to have to lay a flap and remove bone and then wait to restore the case? With the laser, it can often be accomplished without a flap; the case can be inserted two weeks later. And soft-tissue, gummy smile removal takes only a few minutes. We charge $600 per quadrant for this procedure.
If we are doing a restoration that is below the gingival margin and need to remove tissue to expose the margin, we use the laser at a soft-tissue setting. In less than 30 seconds, we can recontour the tissue at a fee of $150. Immediately after recontouring, I can change the laser settings to hard tissue and then prep the tooth — all without anesthesia.
Biopsies are still another situation where the YSGG improves the standard of care. The procedure takes only a minute or so, normally without anesthesia, and is billed at $250. Ulcers can be cauterized in 30 seconds at a fee of $75. If a patient is in for other work and happens to have an ulcer, we will treat it for free. When the laser is used to treat periodontal conditions, there is an additional fee of $150 per quadrant. Post-operative healing is uneventful and seems to be shortened when a YSGG laser is used.
Cutting enamel and dentin with the YSGG laser is a breeze — and you'll see none of the messy side effects of the high-speed drill, such as heat, fractures, or trauma to surrounding tissues.
These are all special cases that you probably refer out or simply overlook. The YSGG laser also is a workhorse for everyday dental procedures like class I-VI cavity preps and much more.
What most dentists discover when they have the means to treat these problems is that they view their patients differently. They diagnose and treat much more comprehensively, thus raising the standard of care in their practices. It's the old cliché, "If all you have is a hammer, everything looks like a nail!"
Everyday procedures can boost your income
As you can see, even if you only do four or five of the procedures I've discussed each month, the financial impact will be favorable. I recently had a week where I billed out over $12,000 in laser fees. On average, our practice bills at least $3,000 to $5,000 a week in laser-related procedures. In a seminar I teach, I show dentists how to earn an additional $150,000 per year through laser use. This number actually is a conservative estimate of the windfall dentists could experience. Lasers have been the best kept secret in dentistry — until now!
Navigating the learning curve
Let's deal with the learning curve for using a hard and soft-tissue laser. As with any new instrument or technology, you won't be an expert immediately. A period of adjustment is mandatory. But, I promise you, you will be doing profitable procedures — and having more fun —from day one!
I have personally trained many dentists all over the world. I love watching fellow practitioners perform their first laser crown lengthening, frenectomy, biopsy, or deep Class I, III, or V (complete with a gingivectomy) — just minutes after touching the laser unit for the first time.
Still skeptical? Lasers are growing in popularity and applicability. Just log onto a dental forum and search for the term "lasers." You will see thread after thread of excited, jubilant new laser owners who passionately describe their experiences. And these new dentists usually share techniques, tips, and advice, which always softens the learning curve.
Finally, there are many organizations, including the World Clinical Laser Institute (four regional symposiums per year), the World Congress of Microdentistry, and the Academy of Laser Dentistry that offer excellent advanced training courses. All three of these organizations (and there are other similar organizations in Europe, etc.) offer laser training and certification.
The "learning curve" is no longer a concern. Laser owners are generally the most gracious and supportive dentists in the world who willingly share their insights. They've discovered an instrument that has rekindled their excitement and passion for dentistry —just like it will for you.
So, don't wait until patients start seeking treatment elsewhere. Get involved in laser dentistry now. Take the steps to research and purchase a hard/soft-tissue laser. (After using a dozen different lasers and several types of laser wavelengths, I have made the choice to use the YSGG all-tissue dental laser from BIOLASE Technology, Inc.) I urge you to get involved now and reap the rewards of becoming a laser dentist. You'll practice better dentistry, have more fun, and enjoy less stress. The reward? More income and a better quality of life for you, your family and your staff.
*Based on anecdotal evidence in Dr. Rosenberg's Laurel, Md., practice, and in practices of fellow YSGG laser owners.



