Do we really bond to tooth preparations?
Q: During the recession I eliminated many elective procedures, such as veneers, and now my patients appear more willing to accept them. I placed some veneers previously, but I recently started doing ceramic veneers again. The first patient had numerous teeth malpositioned and in facioversion, so the veneer tooth preparations were mostly in dentin. I did the normal bonding procedures with a popular “universal” bonding agent and a resin veneer cement. The patient was extremely pleased with the excellent esthetic result. However, within six weeks some of the veneers started to come off. What is the problem, and how can I solve it?
A: I am sure you have read research articles showing the bond of restorative resin-based composite to dentin and enamel. The dentin bond is usually higher than the enamel bond when evaluated by in vitrostudies soon after doing the research. The range of dentin bonds in numerous current studies is usually about 28 MPa to 42 MPa. Studies show about 23 MPa to 44 MPa for enamel bond. As you can see, the bonds reported for enamel are in a similar range. However, in some studies, the bond to enamel is lower than dentin. Additionally, the dentin bonds reported usually have larger standard deviations than the enamel values. Can we really believe that this data is clinically significant? In my candid opinion, no! Why?
You have stated that the veneers you placed on tooth preparations that were mostly dentin are coming off. That is a problem often reported by dentists placing veneers. From an empirical standpoint, it is accepted by experienced clinicians that ceramic veneers placed on tooth preparations with less than one half of the tooth prep surface in enamel will fail by the resin segregating from the dentin tooth surface, despite the type of bonding agent used. Does acid etching of enamel and dentin truly produce a long-lasting chemical bond? Again, from clinical experience, clinicians say no for dentin and yes for enamel.
The in vitro dentin bonds created and verified by many studies appear to be transient in nature and should not be trusted to hold resin restorations or veneers in place. This lack of long-term bond to dentin shows the inadequacy of some in vitro studies to assist in clinical decisions. Some in vitro studies provide detrimental information for clinicians on this subject and many others.
Why have enamel bonds been shown to be long-lasting? Are they truly bonds? The word bond usually infers a chemical adhesion of two materials together. It is obvious to clinicians that dentin bonds are probably not chemical bonds, because some of the bonded restorations come off in service. What are they then?
The word that could be substituted to describe this phenomenon is luting, which in dentistry is considered to mean holding two materials together by interdigitation of a fluid material into undercuts or
irregularities in the two materials. What happens to enamel when it is etched with phosphoric acid? There are thousands of irregularities made in and around the enamel rods (figure 1). The fluid resin flows into these irregularities, and the resin and enamel become luted together.
Figure 1: The acid-etched irregularities shown in this electron microscope photo are responsible for the retention of resin restorative material or cement to enamel. Because of the lack of such retention features in dentin, the depreciation of retention of resin to dentin is understandable.
The significance of any chemical or adhesive molecular bond provided by the bonding agent to the enamel is unknown. It is apparent that bond to dentin soon degenerates, and the values reported in most of the in vitro studies on dentin bonding can be misleading for clinicians. The logical conclusion regarding dentin and enamel bonding can be described as follows:
• In vitro short-term studies show dentin bonding works.
• Clinicians know from in vivo long-term observation that dentin bonds soon degenerate.
• In vitro short-term studies show enamel bonding works.
• Clinicians know from in vivo long-term clinical observation that etched enamel retains restorations.
• Dentistry probably needs a word change from enamel bonding to enamel luting.
• To make restorative resin or resin cement stay on a tooth for the long term, the majority of the tooth preparation must be in enamel. If much enamel is not present, the process described below must be followed.
• If the prep is mostly dentin, undercuts, irregularities, potholes, or channels of other retentive features must be placed in the dentin for retention.
The necessity for luting to ensure retention of restorations
There are many situations in which luting holds restorations in place. The types of restorations described in the following paragraphs require luting to ensure retention.
Zirconia crowns are well-known to occasionally come off during service. The internal surfaces of these crowns are usually very smooth (figure 2), and tooth preparations are often not adequately parallel or too short. Making diamond scratches in both the internal walls of the crown and the external walls of the tooth prep, use of a bonding agent or primer containing MDP (10-methacryloyloxydecyl dihydrogen phosphate), and proper use of a strong cement will hold such crowns in place. When making the internal walls of a zirconia crown irregular with a diamond, make sure you use the original zirconia formulation, often now called 3Y (3 molar % yttrium oxide content). Some later zirconia versions are weaker and will not tolerate making the scratches.
Figure 2: The smooth, retention-lacking internal surfaces of current typical zirconia crowns are undoubtedly one of the reasons this type of crown occasionally comes off. However, MDP primers, such as Z-Prime Plus (Bisco Dental), or some universal bonding agents containing MDP, such as Scotchbond Universal Adhesive (3M) or Clearfil Universal Bond Quick (Kuraray Noritake Dental), show some bond to zirconia.
Onlays usually have very minimal retention available from the tooth preparation. If a ring of enamel is left circumferentially around the prep, the onlay will stay in place (figure 3).
Figure 3: The external ring of enamel on this endodontically treated tooth, with buildup material in most of the internal part of the tooth, has held the zirconia onlay in place for five years to date.
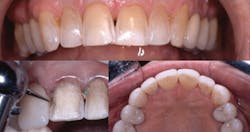
Figure 4: These veneer preps were overprepped into dentin by a dentist who was sued by the patient because the veneers came off in service.
Veneers, either ceramic or direct resin, usually do not have any retention available from the preparation itself. If more than one-half of the prep is in enamel, veneers will predictably stay in place. If more than one-half of the enamel is not present, potholes or grooves should be placed into the dentin on the mesial and distal surfaces of the preps to allow cement to flow into the retentive holes or channels. This will provide retention for the veneers (figures 4 and 5).
Figure 5: These veneer preps had almost no enamel present because of lemon sucking as shown in the top image. Irregular potholes were placed on the proximal surfaces to assist in retaining the veneers, which have served for 15 years.
Class II resin-based composite restorations require retentive grooves in the facial and lingual line angles of the box forms (figure 6). Some dentists mistakenly think that enamel bonding will hold Class II restorations in place. If there is a large quantity of enamel, they are correct. If there is not enough etched enamel present, the resin in the proximal box resin will come out.
Figure 6: When mechanical retention is not placed in the proximal box forms of Class II resin-based composite tooth preparations with small quarter- or half-round burs, the resin often comes out of the box forms during service. The minimal amount of acid-etched enamel present in the box forms appears to offer inadequate retention.
Class IV resin-based composite restorations are often placed with minimal beveling over the enamel. Research during the last 40 years has shown that at least 1 mm of bevel is needed around the margins for long-term retention of Class IV restorations.
Class V resin-based composite restorations usually have enamel on the occlusal and part of the proximal margins, but no enamel on the cervical margin. Mechanical retention should be placed in the cervical portion of the tooth preparation. If not, it is well-known that some of the restorations will come out in service.
Short tooth preparations for crowns are encountered frequently, especially for mandibular second molars. Making parallel grooves on the mesial, distal, facial, and lingual surfaces provide additional mechanical retention for such clinical situations. Make sure your laboratory technicians know how to make zirconia fill the grooves for the milled crowns, of which most crowns are made today.
Summary
Bonding is a word used very commonly in dentistry, but it is probably used incorrectly. Dentists cannot create a major, predictable molecular bond for long-term service to tooth structure with the current generation of so-called bonding agents. Clinicians observe short-term bonding, but in reality, the attachment of resin-based restorative composite or cement to tooth structure requires a different word. Perhaps a more appropriate word is luting. Most of the restorations used in dentistry are held in place over the long term by irregularities in tooth structure, especially enamel, filled with resin that cannot get out because the irregularities are undercut. It is important to make retentive characteristics in various clinical situations, and examples are explained in this article.
Author’s note: Additional educational resources are available from Practical Clinical Courses, some of which relate directly to this article:
One-hour CE videos
- Mastering Frequent Esthetic Challenges with Resin (Item No. V3582)
- Foolproof, Fast Single-Crown Procedure (Item No. V1980)
Two-day courses in Utah
- Restorative Dentistry 2 (Fixed Prosthodontics) with Dr. Gordon Christensen
- Faster, Easier, Higher Quality Dentistry with Dr. Gordon Christensen
For more information, call (800) 223-6569 or visit pccdental.com.
About the Author

Gordon J. Christensen, DDS, PhD, MSD
Gordon J. Christensen, DDS, PhD, MSD, is founder and CEO of Practical Clinical Courses and cofounder of Clinicians Report. His wife, Rella Christensen, PhD, is the cofounder. PCC is an international dental continuing education organization founded in 1981. Dr. Christensen is a practicing prosthodontist in Provo, Utah.






