What is the best type of material for posterior crowns?
Q: In the past, it was easy to suggest a type of posterior crown for a patient. I could suggest cast-gold alloy or porcelain-fused-to-metal. Now, I can identify at least 10 types of crowns from which to choose. Not only are patients confused, but I am also! What type of material should I be suggesting routinely to patients for this commonly occurring procedure?
A: You are correct—more than 10 types of crowns are available at this time, some of which are well proven and others are new to the market. Listed in order by their current popularity in the United States, the following list includes most of the types of crowns we can choose from today:
1. Zirconia (a very confusing list)
a. Full-strength zirconia (solid zirconia, original BruxZir from Glidewell Laboratories, first-generation zirconia, 3Y zirconia, other less-used names, plus about 50 more often-confusing brand names)
b. Translucent zirconia (esthetic zirconia, anterior zirconia, 7Y zirconia, second-generation zirconia, other less-used names, plus many brand names)
c. Other confusing duplicate names of translucent zirconia (esthetic zirconia, 4Y zirconia, 5Y zirconia, etc., third-generation zirconia, other less-used names, plus many brand names)
d. Numerous other formulations of zirconia under development
2. Lithium disilicate
3. Veneered full-strength zirconia (zirconia-based)
4. Porcelain-fused-to-metal
5. Lithium silicate
6. Cast-gold alloy
7. Resin nano ceramic (polymer)
Is there any wonder why you are confused? The above incomplete list is formidable, and it will probably be out of date within a year of this article’s publication.
The names of the various zirconia types are nearly impossible to differentiate. I suggest that an immediate effort be made by organized dentistry to identify the types of zirconia formulations to allow so that dental laboratories and practitioners can know what they are using. As it is now, the zirconia market is completely confounded and incomprehensible.
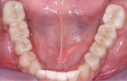
Figure 1: Full-zirconia crowns and fixed prosthesis restorations have now been in service for about 10 years. Their service record and optimum soft-tissue response to date is impressive and potentially makes them a challenge for cast-gold alloy restorations.
I will make suggestions to you based on current research that is completed or underway in the Technologies in Restoratives and Caries Research (TRAC) Division of Clinicians Report Foundation and the observations of private clinicians working with the Foundation. I will use the numbers of the crown types above to discuss them.
1a. The original BruxZir has been on the market for about 10 years (figure 1). Millions of these restorations have been placed, and almost every general dentist in the United States has used this type of zirconia restoration with remarkable success. Based on sophisticated research and clinical observation, this original type of zirconia is serving well. In fact, from a strength standpoint, it is serving better than any other ceramic crown in the history of dentistry. Contrary to the predictions of some prognosticators, it is not wearing opposing dentition, breaking in service, or causing gingival irritation, and current generations of the zirconia are getting better in appearance. However, there are still limitations in using this material. Unless the color is modified by competent laboratory technicians, BruxZir still needs additional improvement in esthetics, is extremely difficult to cut off, and many zirconia crowns are coming off in service. Recognizing these limitations, this type of crown is a validated clinical choice for you.
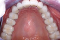
Figure 2: The IPS e.max restoration on the first premolar in this image is indistinguishable from the natural teeth. Although the esthetic beauty of these crowns is unprecedented, they have less strength than full-strength zirconia and porcelain-fused-to-metal restorations, which limits their potential service in posterior fixed prostheses and bruxers.
1b. The first attempts to modify zirconia by placing additional yttria and other oxides in it have reduced the transformation toughening of the zirconia to a degree that a few percent of them are breaking even during initial seating. Transformation toughening is the property that reduces the propagation of cracks in the material. The overall strength was also reduced by about one-half. Currently, some brands of this type of zirconia are being taken off the market.
1c and 1d. Slightly reducing the amount of oxides in the zirconia from the level of the formulations in 1b has the possibility to improve esthetics, while not destroying or reducing transformation toughening or greatly reducing strength. Manufacturers are now doing significant research to find the right combination of ingredients for the zirconia to retain transformation toughening and still improve esthetics when compared to the original BruxZir. Numerous brands are under development and at least a few are now available (3M Lava Esthetic, BruxZir Esthetic, and various brand names from Ivoclar Vivadent, Kuraray Noritake, Zahn Dental, and others). These zirconia materials look promising, and you should consider them. However, both basic and clinical research are still ongoing to validate their long-term clinical acceptability.
Figure 3: Porcelain-fused-to-metal restorations have served the profession and their patients well since the late 1950s. These restorations are still used as the posterior crown mainstay for many dentists, although they are declining in use. Their esthetic longevity is often compromised in a few years as the glaze and stain wear off, but their overall functional longevity extends beyond 20 years in many cases.
2. Lithium disilicate. There is no question that this material (IPS e.max, Ivoclar Vivadent) is the most esthetic and relatively strong ceramic crown in the history of dentistry to date (figure 2). However, unlike original zirconia, the major use for these crowns is for single units and anterior fixed prostheses that do not require high strength. The material has been used for more than 10 years with success. It is a safe restoration for posterior crowns that are not expected to experience heavy occlusion, but caution is advised for patients with overt bruxism or abusive parafunctional conditions.
3. Veneered full-strength zirconia. Most of the original versions of this concept, introduced about 14 years ago, were not acceptable. The ceramic layered over the zirconia substructure broke off, even within the first year of service. Currently, this challenge has been overcome by most ceramic companies. The successful result is usually beautiful single crowns and at least short-span fixed prostheses. The Kuraray Noritake product, CZR Press, led the market in matching the characteristics of the external veneering material to the underlying zirconia base and developing the type of restoration that did not break in normal service. For some anterior fixed prostheses and crown situations, this concept is a good choice. However, it is being challenged by some of the more esthetic new forms of zirconia described above.
Figure 4: Cast-gold alloy restorations are proven to be unexcelled for long-term service in the posterior part of the mouth. However, their appearance has made them unacceptable to most patients unless they are educated about the known longevity of these restorations. The longevity of well fabricated and properly cemented cast-gold alloy crown restorations can often last a lifetime.
4. Porcelain-fused-to-metal (PFM). In my opinion, it is not time to throw this 60-year-old concept away (figure 3). The obvious clinical success shown over those years demonstrates the viability of this type of restoration. The newer types of restorations do not yet allow placement of precision attachments and stress breakers, and many clinicians still do not trust zirconia in long-span fixed prostheses. A relatively recent Glidewell development—placing lithium silicate over metal—has greatly increased the strength of this conventional type of PFM restoration. PFM is a proven material that still works well, but I predict that use of this material will continue to diminish.
5. Lithium silicate. This recently developed material is currently used primarily for PFMs as stated above, but it is also available for milling restorations. Although lacking long-term clinical research, the material appears to be working well and deserves your attention for crowns, standard fixed partial dentures (FPDs), FPDs needing precision attachments or stress breakers, and long-span fixed prostheses.
6. Cast-gold alloy. Yes, cast-gold alloy is still used by many practitioners (figure 4). There is no question that it is the “gold standard” for restoration longevity, but, unfortunately, it is unacceptable esthetically by most patients. In my speaking events, I often ask who in the group of the dental professionals has gold alloy restorations in their mouth. The percentage in a typical group is usually about 20% to 30%. When I ask who would have it placed again, the response is usually a near-unanimous yes. It is obvious that this type of restoration serves well, and it is also clear that its use is slowly dying despite its superiority in most of its characteristics except esthetics.
7. Resin nano ceramic. These materials are basically filled polymer products, not dissimilar to typical resin-based composites. They have had mixed reviews among practitioners. The major challenge has been significant debonding as high as 20% or more for some of the products. Solution of this problem is mandatory for dentists to continue use of resin nano ceramics.
Summary and conclusions
A summary of this confusing subject is relatively easy. Long-term proven products are porcelain-fused-to-metal and cast-gold alloy. Short-term (over several years) proven products are original BruxZir, layered full-strength zirconia, and IPS e.max. Products still under in vitro basic science and in vivo clinical research are the modified “esthetic” zirconia products and lithium silicate. Concepts needing further development and research are the polymers and resin nano ceramic materials.
Author’s note: Additional educational resources are available from Practical Clinical Courses, some of which relate directly to this article:
Two-day courses in Utah
- Making Endodontics Fun, Predictable, and Profitable with Dr. John West and Dr. Gordon Christensen
- Restorative Dentistry 2—Fixed Prosthodontics with Dr. Gordon Christensen
One-hour CE videos
- Foolproof, Fast Single-Crown Procedure (Item No. V1980)
- Crowns—Materials and Techniques for the Best Results (Item No. V1987)
- Diagnosis and Treatment of Failing Implants (Item No. V2391)
For more information about these educational products, call (800) 223-6569 or visit pccdental.com.
About the Author

Gordon J. Christensen, DDS, PhD, MSD
Gordon J. Christensen, DDS, PhD, MSD, is founder and CEO of Practical Clinical Courses and cofounder of Clinicians Report. His wife, Rella Christensen, PhD, is the cofounder. PCC is an international dental continuing education organization founded in 1981. Dr. Christensen is a practicing prosthodontist in Provo, Utah.




