Are retentive pins and posts really necessary?
Each month, Dr. Gordon Christensen answers a question from readers about everyday dentistry.
Q: I graduated from dental school two years ago, and I am confused about the use of retentive pins and posts for building up broken-down teeth. I was taught in school that pins were not needed and that bonding materials were better at holding buildup material on the tooth. I was also taught that posts were not necessary. I am practicing with a mature dentist who uses both pins and posts routinely, and I need guidance on building up teeth.
A: These questions have been debated for years, and the dental literature has conflicting data. This is one of those concepts where you must make your own decision. Here, I will present both scientific and observational data to help.
In my opinion, too many teeth that could have been saved with proven buildup procedures are currently being extracted. Building up teeth is not difficult and can provide long-term clinical success.
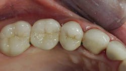
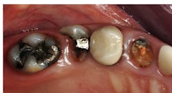
My suggestions are based on the dental literature and my many years of practice experience. Consider the factors below to help you decide whether pins or posts are needed. Figures 1–3 show the need for the restorative buildup procedures.
You may also be interested in ... Successful cementing of zirconia crowns: Still a problem
Quantity of tooth structure remaining
A general rule to determine if a tooth needs a buildup is related to how much coronal tooth structure is not present. If one-half or more of the coronal tooth structure is missing and most of the remaining tooth is dentin only, placing a buildup is advised. If a buildup is needed, frequently pins should be placed to provide long-term retention of the material to the dentin. Additionally, most agree that about 2 mm of near-parallel tooth structure should be remaining circumferentially coronal to the prep margin to provide a ferrule effect for retention.
Retentive pins can be made of stainless steel (nickel), titanium alloy, or pure titanium. All three have successful clinical research in the literature to support their use. Pure titanium pins provide adequate retention and develop fewer cracks in the remaining tooth structure. Example brands are Nordin, Filpin, and Stabilok. Retentive pins are usually placed approximately 2 mm into tooth structure at an angle of 15 or 20 degrees from the long axis of the tooth, and then bent over into the long axis of the tooth. Usually, one pin is placed on each corner of the tooth where the tooth structure is missing. This technique provides long-term retention of the buildup material.
Posts made of numerous materials are available, and similar posts are made by many companies. The most popular posts in the US are glass fiber-reinforced composite resin. Although some clinicians state posts do not strengthen teeth, research at Clinicians Report Foundation has shown posts provide significant strengthening of teeth as well as retention of the buildup material.1
Bonding agents have developed more credibility than deserved, in my opinion, since most of the conclusions promoted about these materials deal only with short-term research. Any experienced clinician knows that depending on bonding agents on dentin for long-term retention is not a good decision. Their initial measured retention to dentin is impressive, but that soon depreciates. However, if enamel is remaining on the tooth preparation, and it is properly etched, enamel provides long-term retention which is not caused by the bonding agents but by interdigitation of the cement into the acid-etched enamel surfaces. A positive characteristic of bonding agents is that they provide reduction or elimination of postoperative tooth sensitivity.
Previous caries experience
This problem is easily judged visually by observing previous restorations or current caries and varies markedly among patients requiring tooth buildups. Resin-based composite is the most common buildup material, but it is not cariostatic. Conventional glass ionomers (Fuji I or Ketac Cem) or resin-modified glass ionomers (Fuji 2 LC or Ketac Cem) should be considered as buildup materials for patients with high caries activity who do not have aggressive occlusion. Because their strength is lower than composite resin, they are best suited for single-crown buildups only—not as abutments.
You may also be interested in ... Occlusion and caries: Ongoing zirconia challenges
Occlusion is significantly important. It is well known that patients who grind or clench place far more forces on teeth than patients who do not have these habits. The following suggestions are based on research, clinical experience, and logic; some clinicians might disagree with me.
Tips to help you decide if an endodontically treated tooth needs a post and buildup:
- Bruxers need a post in an endodontically treated tooth.
- If an endodontically treated canine tooth has a canine rise, a post is needed.
- If a lone endodontically treated tooth has no adjacent tooth support, a post is needed.
- If the tooth is an abutment supporting a fixed prosthesis, a post is needed.
If none of the above conditions are present, the endodontically treated tooth is not overloaded and a post is not needed.
When a post is used, building up that tooth is usually, but not always, needed.
Clinical steps for teeth requiring pins or posts
Deliver local anesthetic to the patient.
- Make a typical tooth preparation (not yet subgingival) before removing old restorations or caries to determine how much tooth structure will remain.
- Determine if pins or posts are needed, as related to the above suggestions.
- Make tooth preparations for pins or posts.
- Use the glutaraldehyde disinfection technique: two one-minute applications of Gluma, MicroPrime, or other brands, keeping the liquid off the gingiva.
- Place the pins or post(s).
- Place a matrix (examples: copper tube, Greater Curve Tofflemire, or others).
- Place the first cord (examples: Ultradent, Kerr, or others).
- Finalize the tooth preparation to the level of the first cord.
- Place a second cord with a slight amount of styptic on it (example: Viscostat Clear).
- Remove the second cord.
- Make impression: analog or virtual.
- Make and seat a provisional restoration.
- Send the impression to your lab.
- Place the restoration.
- Follow up with an occlusion check at about six weeks postoperative.
Additional postoperative considerations
- If the tooth is vital, advise the patient of the occasional potential for short-term sensitivity or the need for endo.
- If the patient is high caries, place them on 5,000 ppm fluoride toothpaste.
- Advise estimations of any other potential peculiar aspects of this procedure.
Placing retentive pins or posts to assist retention of buildup materials and strengthening the restoration are somewhat controversial topics. There are many personal opinions and contradictory information in the literature. A combination of research and clinical observations is needed to make clinical decisions.
Author’s note: These educational materials from Practical Clinical Courses offer further resources on this topic.
One-hour videos:
- Strong, Comfortable, Esthetic Rehabilitations with Zirconia (Item #V1942)
- Foolproof, Fast Single-Crown Restoration (Item #V1980)
Two-day hands-on courses in Utah:
- Fixed Prosthodontics Simplified with Dr. Gordon Christensen
- Restorative, Esthetic, Preventive Dentistry with Dr. Gordon Christensen
- Simplifying Complex Treatment with Dr. Gordon Christensen
For more information, visit pccdental.com or call (800) 223-6569.
Editor's note: This article appeared in the February 2024 print edition of Dental Economics magazine. Dentists in North America are eligible for complimentary print subscription. Sign up here.
Reference
- The forgotten retention: core, posts, and pins. Clinicians Report. 2018;11(8).
About the Author

Gordon J. Christensen, DDS, PhD, MSD
Gordon J. Christensen, DDS, PhD, MSD, is founder and CEO of Practical Clinical Courses and cofounder of Clinicians Report. His wife, Rella Christensen, PhD, is the cofounder. PCC is an international dental continuing education organization founded in 1981. Dr. Christensen is a practicing prosthodontist in Provo, Utah.



