Jumping to the future of dentistry with the Solea 9.3 µm all-tissue laser
Before experiencing the Solea laser, one might ask what can it do that the doctor can’t or doesn’t already? Most dentists perform thousands of dental procedures throughout the year with a traditional high-speed handpiece, not to mention those additional soft-tissue procedures done with a scalpel. Modern technology has ushered in digital radiology, cone beam computed tomography (CBCT), digital scanning, CAD/CAM, milling units, 3D printing, and laser dentistry. Of all these technologies, laser dentistry—particularly Convergent Dental’s Solea 9.3 µm all-tissue laser—has been an absolute game-changer in our dental practice (figure 1).
Practice advantages
When incorporating a new technology into the practice, it should provide greater efficiency, issue a great ROI, and supply a standout practice image. Solea enables doctors to combine most of their burs, scalpels, needles, and anesthetic into one laser handpiece. Dispensing anesthetic takes time and creates anxiety for many patients, not to mention the numb feeling that lasts for some time after the appointment. The laser allows patients to get back to work, school, and other activities immediately. With this technology, dentists can move their practices forward by leaps and bounds.
Smile makeover: A minimally invasive recipe for success
Staying ahead of the curve: Advice for owning a thriving, ever-evolving dental practice
With the laser, most procedures can be anesthetic free, needle free, and nearly pain free 95% of the time. Removing caries and failing restorations (such as composites, amalgams, porcelain, and zirconia crowns) from multiple quadrants in a single visit eliminates multiple appointments for patients and saves you the time required for operatory setups, breakdowns, and sterilization. Patients with anxiety who fear needles and numbness can now seek dental care and smile without worry. You can complete more dentistry in one visit with the laser as well as offer increased comfort for patients. This leads to more word-of-mouth referrals, which are the best kind for practice growth.
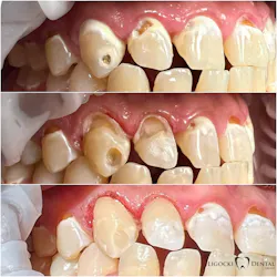
Adding procedures that were once referred out to specialists lets you provide more comprehensive care and boost practice revenue. Gingivectomies can be completed with the laser while performing operative dentistry. There’s no need to change handpieces or pick up a scalpel, and healing times are quicker. Frenectomies, fibroma removals, incisions, biopsies, implant uncovering, cosmetic gingival contouring, and closed crown lengthening are a few of the procedures that add to patient satisfaction and the practice’s bottom line (figures 2 and 3).
The science behind the laser
Solea’s 9.3 µm carbon dioxide all-tissue laser is highly absorbed in hydroxyapatite, water, collagen, and plastics (composites), making it the only CO2 9.3 µm laser cleared by the FDA for hard and soft tissues.1 Solea’s unique 9.3 µm wavelength, along with its computer-controlled galvo patterns, affect the speed, precision, and sensation of the laser beam delivery to the targeted area.2 Its variable speed foot pedal is much like its traditional handpiece counterpart. By applying more foot pressure to the pedal, there is an increase in pulse duration, giving way to more energy and a faster cutting speed.
The theory behind Solea’s analgesic effect is the laser’s vibrations that are created by many pulses with low penetration, resulting in a numb feeling. The laser is highly absorbed in collagen, which causes blood vessel contraction and restricts blood flow. Being able to reliably provide anesthetic- and blood-free procedures every day is a game-changer. Just think about never needing to pack cord when preparing a class V composite to control gingival bleeding.
Thanks to the advanced science of Solea when compared to traditional dentistry, the laser genuinely revolutionizes how patients feel about going to the dentist. You’ll reap better clinical outcomes and less anxiety for patients. In addition, the Solea laser will increase the number of new patients for your practice, boost practice efficiency, and raise production. The future of dentistry is now!
Editor’s note: Convergent Dental is a financial supporter of Dental Economics.
References
- Lively T. How to improve patient outcomes with dental lasers. Dental Products Report. August 17, 2018. https://www.dentalproductsreport.com/view/improving-patient-outcomes-solea-dental-laser
- Convergent Dental. Solea Models 2 and 3—9.3 µm CO2 all-tissue laser training.
Editor's note: This article appeared in the October 2022 print edition of Dental Economics magazine. Dentists in North America are eligible for a complimentary print subscription. Sign up here.
About the Author

Mark A. Ligocki, DDS
Mark A. Ligocki, DDS, a cosmetic and family dentist, is a graduate of the University of Illinois College of Dentistry. He has mentored numerous dental students and young dentists and taught fellow dentists on periodontal therapies, implant restorations, and dental lasers. A key opinion leader and Solea trainer for Convergent Dental, he practices with his daughter, Dr. Lauryn N. Ligocki, at Ligocki Dental Group in Oakbrook Terrace, Illinois. He is looking forward to Dr. Lauryn’s sister, Jocellyn, joining their practice in 2023.
Updated September 12, 2022

Lauryn N. Ligocki, DDS
Lauryn N. Ligocki, DDS, adapts dental technology for the betterment of her patients. She began as a dental assistant and graduated from Indiana University School of Dentistry in 2020. She promotes oral-systemic health through using technology and changing lives one smile at a time. She practices with her father, Dr. Mark A. Ligocki, at Ligocki Dental Group in Oakbrook Terrace, Illinois, where they implement technology to promote a healthy mouth that impacts the patient’s whole body.
Updated October 6, 2022



