The treatment planning dilemma: To restore or replace the natural dentition
Many dentists find themselves facing a common dilemma when developing a treatment plan for their patients who require a comprehensive dental makeover. Over time, dentists become more sensitive to the liability associated with an incorrect decision when it comes to restoring the existing teeth or fully replacing them. The liability to the patient is financial and emotional, but the liability to the dentist is reputational. Treatment that fails to fulfill a patient’s expectations of success, related to durability and longevity, can create dentist-patient conflict and ultimately disappointment with the practice. While patients who must have their dental work replaced segmentally sooner than expected is difficult enough, a complete replacement can be devastating to all parties.
Regardless of the treatment plan, establishing the appropriate expectations of longevity as it relates to years in service is important. When asking patients, “What is the minimum period of time the proposed treatment must last to be a success?” the answer is usually a surprise. The typical 10-year prognosis won’t satisfy most patients, and the majority say they expect their treatment to last a lifetime.
As a prosthodontist who has spent the last 25 years offering full-arch treatment to my patients and teaching the Hybridge full-arch protocols for most of that time, the phrase “Pick a Path” has come to refer to the difficult decision a patient makes to either commit to restoring their natural dentition or to replace their remaining teeth with a completely implant-supported prosthesis, as in a full-arch solution. The last decade has seen this implant modality gain in popularity.
Read related content:
Let's save teeth
When should teeth be removed?
For many dentists, the replacement of all natural teeth in one arch, or both, is a philosophical shift that has been hard to warm up to, particularly since many of the foundational procedures in dentistry are aimed at restoring compromised teeth. Root canals, post and cores, crowns, and periodontal treatment are all aimed at making bad teeth better.
As doctors, it is our responsibility to guide our patients in making educated decisions that are right for them. As with any proposed treatment, the educational process should provide patients with enough specific information to their case so that they understand all the factors that play into their decision:
- Predicted success long term
- Cost
- Treatment time
- Number of appointments
- Chair time
The Pick a Path treatment planning process should include all these factors. During this process, the patient’s treatment goals regarding the expectation of treatment longevity must be clear. Connecting those expectations with the patient’s personal risk factors then becomes the basis for the Pick a Path treatment planning process.
Patient risk factors:
A. Genetic periodontal disease
B. Parafunctional habits
C. Decay, xerostomia
D. High sugar diet
E. Poor oral hygiene
F. Cigarette smoking
G. More than two root canals
H. Malocclusion
A + B + C + D + E + F + G + H = High cumulative risk
Case analysis
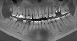
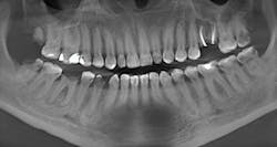
Case review: This 35-year-old female was diagnosed with Sjögren’s syndrome four years ago. She is a cigarette smoker and drinks multiple sodas per day. Her daily oral hygiene is marginal (figures 3–5).
Treatment objectives: Restore or replace all teeth to achieve full function and a natural, healthy-looking smile with a solution that is fixed and will last over the long term (20-plus years).
Today, more than ever, patients expect and hope their dental restoration will solve what has historically been a lifetime cycle of dental problems and expense. In this case, a straightforward, conventional restorative treatment plan that focuses on restoring the patient’s natural teeth may not make the most sense long term. After comparing both restorative paths, the full-arch implant option would likely prove to have a better prognosis, lower cost, and require much less time and fewer appointments.
Dentists owe it to their patients to take time to analyze the individual risk factorsEditor's note: This article appeared in the November 2021 print edition of Dental Economics.
About the Author

Frank LaMar, DDS
Frank LaMar, DDS, has limited his practice to prosthodontics in Rochester, New York, for more than 30 years. He is the clinical director of the Elmwood Dental Implant and Restoration Center, assistant clinical professor at the University of Rochester’s Eastman Institute of Oral Health, and founder and CEO of Hybridge Dental Implants. His full-arch implant restorations are the foundation for the Hybridge full-arch implant protocols, which are based on simplified implant prosthodontics and prognosis-based treatment planning.









