What dental cement type is best?
Each month, Dr. Gordon Christensen answers a question from our readers about everyday dentistry.
Q: I have practiced general dentistry for more than 30 years and have lived through the zinc phosphate, glass ionomer, polycarboxylate, resin-modified glass ionomer, and now . . . the resin cement generations. It seems that every several years, a new type of cement emerges with ads that promote it as being the best dental cement of all time. Which of these generations are not acceptable today? Should I be using primarily resin cements, as currently promoted by dental manufacturers?
A: I have also lived through those various generations of cements and have cemented thousands of crowns and fixed prostheses with success using every type of cement you identified. I will briefly discuss my clinical observations relative to the major advantages and limitations of each cement category to help clarify the best characteristics for 2021.
Zinc phosphate
Advantages: High strength and rigidity; restorations seldom come off
Limitations: Frequent postoperative tooth sensitivity for a long period of time; soluble in mouth fluids; technique-sensitive mixing; no cariostatic properties
Glass ionomer
Advantages: Cariostatic characteristic due to fluoride release; upon removal of old restorations, seldom did they have caries on the margins; strength
Limitations: Unpredictable postoperative tooth sensitivity; soluble in mouth fluids; technique-sensitive mixing
Polycarboxylate
Advantages: No postoperative tooth sensitivity; slight initial chemical bond to tooth
Limitations: Unpredictable release of restorations several years after cementation, showing dissolution of cement and no cement remaining inside crown or on tooth preparation; no cariostatic properties
Resin-modified glass ionomer
Advantages: Cariostatic characteristics due to fluoride release; acceptable strength; restorations seldom come off in service; no postoperative tooth sensitivity; slight chemical bond to tooth
Limitations (difficult to find any major ones): Slight expansion on setting, limiting some uses such as posts; somewhat technique sensitive
Resin
Advantages: Strength; ability to have fast light set or dual cure; can be tooth-colored if desired
Limitations: No cariostatic or antimicrobiologic properties; can block access to contact areas if cement is not removed at appropriate early level of set
Also by Dr. Christensen:
Which crown types are best for what situations?
Are endodontic posts really necessary?
Ideal cement characteristics
After several decades of cementing crowns and fixed prostheses and watching those restorations succeed or fail in service, these are my personal ideas (not prioritized) on ideal dental cement characteristics:
- Nonirritating to the dental pulp
- Cariostatic
- Antimicrobiologic
- Seals margins
- Insoluble in mouth fluids
- Adheres to tooth structure—adhesive
- Radiopaque
- High strength
- Minimal film thickness
- Esthetic acceptability, if needed
- Easy to use
- Optimal working and setting time
- Moderate cost
Are all of these characteristics available in any current category of dental cement? No, every current category has limitations.
Indirect restorations currently used most
Laboratories report ceramic restorations are currently the most commonly accomplished restorations. The following data is for the year 2020, as reported by Glidewell Laboratories (Darryl Withrow, Glidewell VP Operations, January 2021):
- All-ceramic: 90%—Approximately 80% of these were zirconia or zirconia-based restorations, with lithium disilicate composing the majority of the remainder.
- Porcelain-fused-to-metal: 7%
- Full cast: 2%
- Composite: 0.2%
This data represents a highly significant change over just a few years. In my opinion, it is the most remarkable paradigm change in the history of dentistry in that short period of time.
Most appropriate cements for zirconia and lithium disilicate restorations
It is apparent that full-metal or metal-based restorations are now used infrequently. That trend will undoubtedly continue due to several vastly improved characteristics of all-ceramic restorations.
When compared to past generations of ceramic and metal restorations, zirconia and lithium disilicate restorations are adequately strong for most situations, near optimum from an esthetic standpoint, nonallergenic, and highly desirable to patients primarily because of their esthetic qualities.
Which cements are best for zirconia restorations in their various forms, and which cements are best for lithium disilicate?
Zirconia, zirconia-based, and esthetic zirconia: Because of its extremely high strength, the original form of zirconia (3Y, class 5 zirconia) could be cemented with any cement of your choice.
Resin-modified glass ionomer (RMGI) has proven itself for zirconia cementation through real-world research reported by thousands of practicing clinicians in routine practice situations. RMGI has few limitations and long-term success support in many studies, including 21 years of cementation success of thousands of crowns and fixed prostheses in the Clinicians Report Foundation TRAC division. 3M RelyX Luting cement was used in those studies, but many other brands of RMGI perform similarly. There have even been a few improvements in the cement during that time.
Lithium disilicate: The brand name IPS e.max from Ivoclar Vivadent has now been used successfully for millions of restorations globally for more than 10 years. The superior esthetic qualities of e.max have received high acceptance by the profession along with the proven adequate strength for single crowns and selected anterior and premolar short-span fixed prostheses.
The cementation technique for IPS e.max is well-known. The intaglio surfaces of e.max are acid-etched with hydrofluoric acid or Monobond Etch & Prime from Ivoclar Vivadent, silane is applied if etched with hydrofluoric acid, and usually the restoration is cemented with resin cement. The optimum colors of resin cement show through the translucent e.max, creating optimum esthetic results.
Resin cement does not have cariostatic properties, so you may want to consider RMGI cement (which does have cariostatic properties) for selected IPS e.max cementations with high caries potential.
Because of the lower strength of IPS e.max when compared to zirconia—and- All aspects of the crown should be at least 1 mm thick, with the occlusal optimally 1.5 mm to 2 mm thick.
- Avoid using RMGI cement for IPS e.max on a grinding or clenching/bruxing patient.
- Avoid using RMGI cement for areas of high potential occlusal forces, such as a three-unit anterior fixed prosthesis.
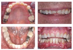
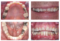
Observe Figures 1 and 2 for examples of what to use for patients with high caries activity and the need for restorations on small teeth, such as mandibular anterior teeth.
Summary
Cements and cementing techniques are constantly changing. Currently, crowns and fixed prostheses are almost all ceramic. RMGI cement is well-proven over many years for use with most zirconia restorations, and it has cariostatic properties. Resin cements are indicated for lithium disilicate. However, if patients have high caries potential, RMGI cement is indicated for lithium disilicate as long as the restoration has acceptable thickness and the patient exhibits nonabusive occlusion.
Author’s note: The following educational materials from Practical Clinical Courses offer further resources on this topic for you and your staff.
One-hour videos:
- Cementing Restorations—Proven and Successful (Item V1921)
- Foolproof, Fast Single-Crown Procedure (Item V1980)
Two-day hands-on courses in Utah:
- Restorative Dentistry 1—Restorative/Esthetic/Preventive with Dr. Gordon Christensen
- Restorative Dentistry 2—Fixed Prosthodontics with Dr. Gordon Christensen
For more information, visit our website at pccdental.com or contact Practical Clinical Courses at (800) 223-6569.
About the Author

Gordon J. Christensen, DDS, PhD, MSD
Gordon J. Christensen, DDS, PhD, MSD, is founder and CEO of Practical Clinical Courses and cofounder of Clinicians Report. His wife, Rella Christensen, PhD, is the cofounder. PCC is an international dental continuing education organization founded in 1981. Dr. Christensen is a practicing prosthodontist in Provo, Utah.


