What is cosmetic dentistry? What makes a perfect smile?
Steven B. Andreaus, DDS Accredited member, American Academy of Cosmetic Dentistry
For more on this topic, go to www.dentaleconomics.com and search using the following key words: American Academy of Cosmetic Dentistry, perfect smile, Dr. Steven B. Andreaus.
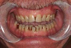
Hank was an Army chaplain approaching retirement. His skills and résume were in order but his teeth were not. He did his homework. He talked with friends and even visited with a couple of dentists for consultations. He knew his crowded teeth would be a limiting factor, and he wanted them to look natural (see photo at left). He wanted them to look like they belonged to him, not some movie star.
The more opinions he received, the more confused he became. He wanted a dentist who would really listen to him and have the skills to get the treatment right. Unsure of where to go next, Hank went online and found the American Academy of Cosmetic Dentistry Web site (www.aacd.com). After reviewing requirements for Accreditation, he knew his next stop would be an AACD Accredited member's practice.
Hank was straightforward, saying he wanted a nice smile with straight teeth that were white but not “too” white. Having mentally decided against braces, he thought a mouth full of veneers was his only choice. But after he and I completed a comprehensive examination, Hank was surprised to learn that his options included invisible braces (Invisalign) followed by more affordable restoration. I told Hank that realignment of his teeth would provide many positive outcomes.
By clearly understanding Hank's goals, as well as his issues and limitations, together he and I were able to create a desirable outcome — one that others had not been able to achieve for him. What made this difference? I believe it is the skills I learned on the road to AACD Accreditation, as well as sharing the options and information with the patient to codiagnose and cotreatment plan.
So what is cosmetic dentistry? Hank thought it was a mouthful of veneers, so he was delighted to learn that esthetic outcomes can be achieved with less costly and more minimal treatment options. I use the AACD's definition: “Cosmetic dentistry is comprehensive oral care that combines art and science to optimally improve dental health, esthetics, and function.”
But I would go a little further with a definition that works well for dentists and consumers alike: “Cosmetic dentistry — unlike traditional dentistry that focuses only on the prevention, diagnosis, and treatment of oral diseases — takes into consideration the importance and benefits of improving the appearance at the same time.” This is what I love to provide.
It is only when a dentist is taught how to do cosmetic restorative procedures and understands how to examine, evaluate, and plan conservative and excellent cosmetic dentistry that he or she is able to prepare, enhance, and restore at a high level of excellence.
The American Academy of Cosmetic Dentistry takes its responsibility as a premier learning venue seriously. I believe the AACD's annual Scientific Session provides more options for hands–on experiences than any other meeting in dentistry. Lecture programs offer an array of learning opportunities that help dentists understand that there are many ways to approach esthetics without violating standard of care and personal ethics.
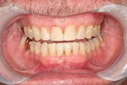
Each of these elements helped me prepare for Hank, who was the ultimate beneficiary of my efforts. I learned how to listen to him. I learned about methods and approaches that broadened the options I could offer him. I learned about materials and equipment that could provide a more predictable result. We helped Hank get a new smile — one that is beautiful, natural–looking, and belongs to him, not some Hollywood movie star. He received a nice smile, with straight teeth, that is whiter and brighter but not “too” white (see above photo).
My commitment to the AACD is strong as a volunteer leader and a continual student.
Steven B. Andreaus, DDS, received his dental degree from the University of North Carolina in 1988, and is an Accredited member of the American Academy of Cosmetic Dentistry. He volunteers his services for the AACD's humanitarian nonprofit program “Give Back A Smile.” You may contact Dr. Andreaus at [email protected].


