Would you put it in your mouth? All composites and adhesives are not the same
Event date: Jul 19, 2023 07:00 PM CDT
This session brings Dr. Ron Kaminer (dentist and lecturer) together with Gregor Connell (materials specialist, educator, and lecturer) to discuss several materials. The category/class of universal adhesives has rapidly become the adhesive system of choice for many clinicians around the world. An open discussion will take place surrounding what makes these adhesives so versatile in today's modern practices and it will involve Dr. Kaminer’s personal experiences using this class of adhesive system with an explanation as to how they are able to accomplish these functions, from a more scientific perspective.
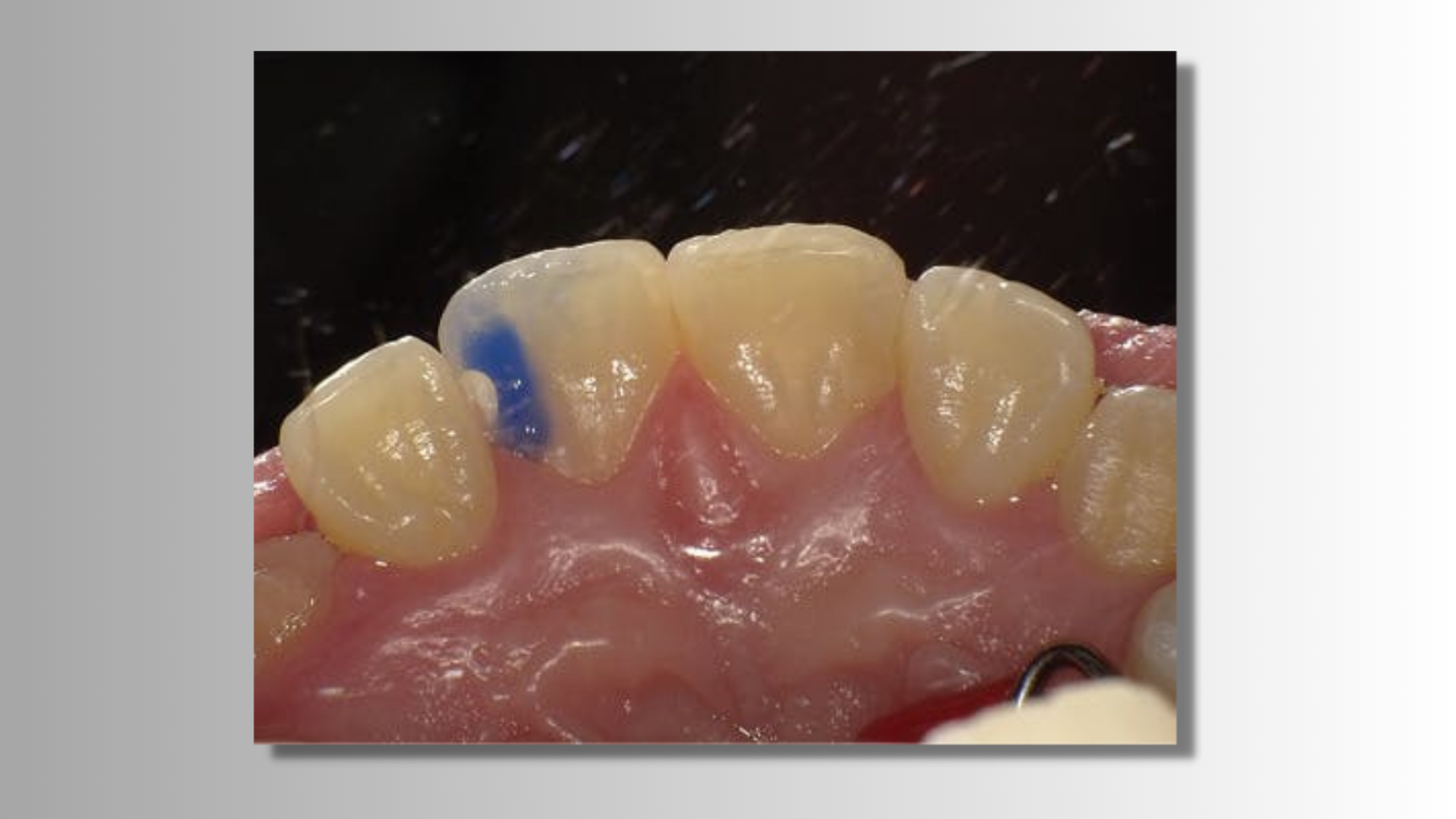
The recent upswell in biomimetic dentistry has found a growing population of clinicians searching for more tooth-like restorative materials. A review of one of the most tooth-like restoratives based on how closely it matches the Key Clinical Performance Indicators (KCPI) that align with “tooth-like” behavior and performance will be shared and discussed during this course.
Learning objectives
- The clinician will gain a better understanding of the versatility that universal adhesive systems offer and how they can be implemented to maximize reliability and high-quality results
 - In order to be deemed “tooth-like” a material must perform well in several, key testing areas. These KCPI will be identified and explained as well as what the key clinical values are for each one.
 - At the conclusion of the session, clinicians will be in a position to evaluate how well their current restorative armamentarium meets the requirements to achieve an efficient and more tooth-like optimal clinical restoration for their patients.
 
About the Author
Pamela Maragliano, DMD
Chief Editor of Dental Economics
Pamela Maragliano, DMD, is the chief editor of Dental Economics. Based in Salem, Massachusetts, Dr. Maragliano began her clinical career as a dental hygienist. She went on to attend Tufts University School of Dental Medicine, where she earned her doctorate in dental medicine. She then attended the University of California, Los Angeles, School of Dental Medicine, where she became board-certified in prosthodontics. Dr. Maragliano owns a private practice, Salem Dental Arts, and lectures on a variety of clinical topics. You may contact her at [email protected].

Dr. Ron Kaminer, DDS
Dr. Ron Kaminer is an internationally known educator, traveling the world lecturing on dental laser technology. He brings to each of his programs a comprehensive knowledge of the most cutting edge technologies in the dental market.
 Dr. Ron Kaminer is a 1990 graduate from SUNY at Buffalo School of Dental Medicine. He maintains two practices, one in Hewlett, NY and one in Oceanside, NY. Dr. Kaminer is an international expert in the field of dental lasers and has lectured on lasers and minimally invasive dentistry both nationally and internationally. He is the Director of the Masters of Laser training program in New York and is a clinical instructor with the International College of Laser Education.
 He evaluates new dental materials, sits on the advisory boards, and is a clinical consultant for numerous dental manufacturers. He has authored numerous articles on dental lasers and minimally invasive dentistry, is a frequent contributor to dental magazines. He is a member of the Academy of Laser Dentistry, Academy of General Dentistry, International College of Facial Esthetic, and American Dental Association.
 He lives in Hewlett, NY with his wife and three children.

