Beautiful Restorations To Last A Lifetime
Pamela Maragliano-Muniz, DMD
We all want our restorations to last an indefinite amount of time. Unfortunately, there are many factors that can reduce the longevity and beauty of our direct and indirect restorations. Longevity of a dental restoration can be reduced if we do not control our patient’s caries risk factors and create a healthy oral environment. Additionally, if our restorations become abraded due to harsh dental hygiene products, the surface of the restoration can lose its luster, surface polish or in some cases, become rough and lose its resistance to bacterial adhesion.
Reduce Caries Risk
To maintain the longevity of our restorations, we must consider the reason that we are placing a new restoration. It is well understood that previous caries experience is one of the most reliable predictors for future caries 1,2. This means that if caries risk is not minimized in our high-risk patients, the risk of recurrence of disease is quite high. Simply removing a carious lesion and replacing the lost tooth structure with a direct or indirect restoration is not enough to control the disease process. It is imperative that we control the oral environment through risk management. Risk management includes reducing the impact of oral bacteria, neutralizing oral pH and via the use of fluoride varnishes.
Reduce Oral Bacteria: This can be accomplished through the mechanical removal or disruption of oral bacteria or through the use of antimicrobials to reduce the quantities of cariogenic bacteria. The use of a varnish containing chlorhexidine and thymol has been shown to reduce cariogenic bacteria3, dentinal hypersensitivity4 and the progression of the early caries lesion5. In addition,. a varnish containing chlorhexidine and thymol has been shown to have improved outcomes when used in conjunction with scaling and root planing6. When coupled with the use of fluoride varnish, this varnish may help to elongate the lifespan of restorations in special needs patients7.
Neutralize Oral pH: Caries causing bacteria thrive in an acidic environment. Oral pH may be acidic due to a habit or a physiologic change to the oral environment (eg. xerostomia). When the oral pH is low, cariogenic bacteria thrive and there is an increased risk for caries or secondary caries around restorations. Controlling bacteria levels with a chlorhexidine varnish will help to reduce the acidic insult of bacteria. The use of products containing baking soda will aid to raise oral pH.
Fluoride Varnish: It is accepted among the dental community the fluoride varnish can aid in caries prevention, elimination of white spot lesions and remineralization of incipient caries lesions in enamel8,9,10. The routine application of fluoride varnish will aid to reduce caries risk and promote more longevity of our dental restorations.
Caring for Dental Restorations
Have you ever produced a restoration that is so beautiful, you feel so proud of yourself and then the patient returns on recall and the restoration isn’t the same as you remember? Is it because of the variation between perception and reality or did our restorations lose their luster over time? Abrasive dental materials can remove the surface luster from a direct restoration, scratch gold restorations, or over time, remove the surface glaze from indirect restorations.
At-home considerations The abrasivity of dental products, including toothpaste and prophy paste, has been a concern in dentistry and dental hygiene. Most of the concern is about the loss of tooth structure that can occur when using dental hygiene tools and products improperly. We also must consider the effect of prolonged use of some products on our dental restorations. Although dental restorations are intended to provide adequate wear resistance, some products can be harmful to the surfaces of our dental restorations.
Many times after delivering a direct or indirect restoration, we offer brief oral hygiene instructions that include brushing, interdental cleaning and regular dental and dental hygiene visits. Specific recommendations should be given based on caries risk and prevention of new disease. We must also provide recommendations that will not damage the newly-placed restoration. Recommending a low-abrasion dentifrice and proper oral hygiene practices will promote favorable long-term outcomes.
In-office considerations Many factors must be considered when polishing a direct or indirect restoration during a dental hygiene visit, including the speed of our dental handpieces, pressure applied on the tooth, rigidity of the prophy cup and the abrasivity of prophy paste11. These factors are extremely variable and it is important that clinicians treat enamel, dentin, cementum and restorative materials carefully. The use of a low-abrasion prophy paste is essential to maintain the beauty and luster of direct and indirect restorations. Harsh prophy pastes or aggressive polishing techniques can abrade dental restorations or remove surface polish or glazes from indirect restorations..
Summary
To improve the outcomes of a newly placed restoration or to elongate the lifespan of an existing restoration, reducing the risk for new disease is recommended. A low-abrasive prophy paste will maintain the beauty, surface texture and polish or glaze on a new restoration.
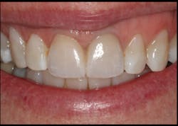
Figure 1: This patient was treated with IPS e.max crowns on her central incisors and class V composites on her adjacent teeth. These restorations present with varying hardness, wear resistance and fracture toughness and it is essential to maintain them as diligently as possible to preserve their beauty over a long period of time. This includes during dental hygiene visits; these restorations should be polished as conservatively as possible. Aggressive polishing, including using abrasive pastes, excessive pressure or polishing times can damage the surface of these restorations. This may result in the loss of the polished surface and luster of the restoration or loss of surface detail and characterization.
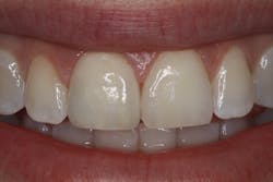
Figure 2: This patient was treated with an IPS e.max crown on her central incisor and a direct composite restoration on her adjacent central incisor. Care must be taken to preserve the surface characterization, luster and beauty of these restorations. The use of a low-abrasive prophy paste will reduce the risk for damage to and longevity of these restorations.
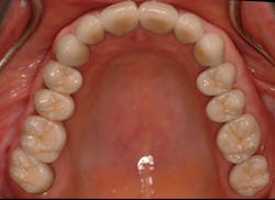
Figure 3: This patient was treated with a combination of natural-tooth and implant- supported restorations. Fluoride varnish is recommended at all dental hygiene visits to reduce the risk of caries that can lead to the reduced longevity of these restorations.
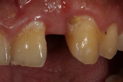
Figure 4: Patients that present with poor oral hygiene may be at risk for dental caries and periodontal disease. The use of a fluoride varnish that contains chlorhexidine and thymol should be considered to reduce the amount and virulence of pathogenic bacteria.
References:
1. ter Pelkwijk A, van Palenstein Helderman WH,van Dijk JWE:Caries experience in the deciduous dentition as a predictor for caries in the permanent dentition. Caries Res 24:65-71, 1990.
2. Demers M, Brodeur JM, Mouton C, Simard PL, Trahan L, Veilleux G: Amultivariate modelto predict caries increment in Montreal children aged 5 years. Community Dental Health 9:273-81, 1992.
3. Lipták L, Bársony N, Twetman S, Madléna M. The effect of a chlorhexidine-fluoride varnish on mutans streptococci counts and laser fluorescence readings in occlusal fissures of permanent teeth: A split-mouth study. Quintessence Int. 2016;47(9):767-73.
4. da Rosa WL, Lund RG, Piva E, da Silva AF. The effectiveness of current dentin desensitizing agents used to treat dental hypersensitivity: a systematic review.Quintessence Int. 2013 Jul;44(7):535-46.
5. Rai, P., Pandey RK., Khanna, R. Qualitative and Quantative Effect of a Protective Chlorhexidine Varnish Layer over Resin-infiltrated Proximal Carious Lesions in Primary Teeth. Pediatr Dent. 2016; 38(4): 40-5.
6. Anand V, Govila V, Gulati M, Anand B, Jhingaran R, Rastogi P. Chlorhexidine-thymol varnish as an adjunct to scaling and root planing: A clinical observation.J Oral Biol Craniofac Res. 2012 May-Aug;2(2):83-9.
7. Baygin O, Tuzuner T, Kusgoz A, Senel AC, Tanriver M, Arslan I. Antibacterial effects of fluoride varnish compared with chlorhexidine plus fluoride in disabled children.Oral Health Prev Dent. 2014;12(4):373-82.
8. Lenzi TL, Montagner AF, Soares FZ, de Oliveira Rocha R. Are topical fluorides effective for treating incipient carious lesions?: A systematic review and meta-analysis. J Am Dent Assoc. 2016 Feb;147(2):84-91.
9. Bonetti D, Clarkson JE. Fluoride Varnish for Caries Prevention: Efficacy and Implementation.Caries Res. 2016;50 Suppl 1:45-9.
10. Gao SS, Zhang S, Mei ML, Lo EC, Chu CH. Caries remineralisation and arresting effect in children by professionally applied fluoride treatment - a systematic review. BMC Oral Health. 2016 Feb 1;16:12.
11. http://www.dentistryiq.com/articles/dem/print/volume-8/issue-4/equipment/bringing-the-science-of-polishing-into-the-treatment-room.html




