New restoration types make occlusion knowledge mandatory
Each month, Dr. Gordon Christensen answers a question from readers about everyday dentistry.
Q: I have been placing implants for a few years and using zirconia and IPS e.max as restorations for both teeth and implants. I am seeing many more occlusally related clinical problems than I ever had previously. In other words, the rigid implants are not moving with occlusal forces, and the hard, wear-resistant restorations are not wearing like the surrounding natural teeth or resin or gold alloy restorations of the past. These conditions are apparently causing the occlusion to change frequently, with the related headaches and TMD challenges. What can I do to reduce these problems?
A: I am seeing your described challenges often, and I have had to resort to occlusal treatments to overcome some of the problems. Several issues are causing these challenges, often unknown by patients and even some dentists. I will address some of them with the following information.
Potential reasons for current occlusally related problems
Teeth move. On observation of teeth by a layperson, they probably think teeth are solidly in place and do not move. That assumption is incorrect. Teeth move minimally in bone in direct response to the forces placed on them. The periodontal ligament allows this fortunate movement, which lets teeth absorb heavy stress. In a normal occlusion with minimal or no periodontal disease, teeth slightly move constantly without restraint.
Implants don’t move. Assuming an implant has had adequate time to integrate with the bone, it does not move. It is a solid rock in a sea of moving teeth. When heavy force is placed on the overall dentition, what happens? The implant does not move. It guides the occlusion into a different maximum interdigitation compared to when only slight or moderate chewing force is applied. The teeth and restorations must be adjusted to accommodate this movement.
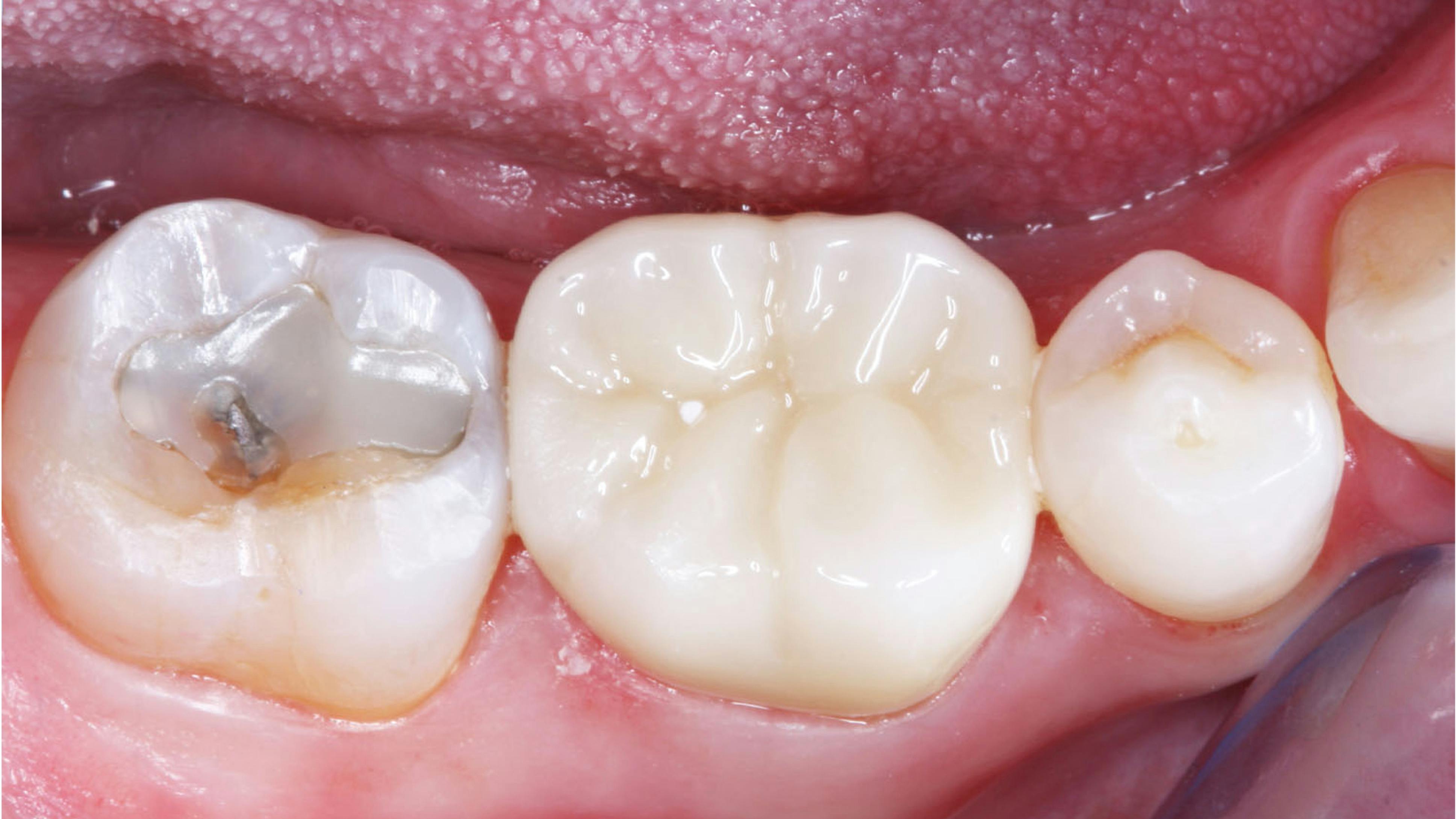
Mesial drift. During life, teeth move toward the mesial. If all the teeth are present without implants, all of them move to the mesial harmoniously, and proximal contacts remain tight. However, a frequently observed malady related to tooth movement when implants are present in the mouth is the mesial contact on an implant-supported posterior crown that opens after a few months of chewing (figure 1).
To reduce or eliminate the challenge caused by the rigidity of implants, the occlusal contacts of the tooth mesial to the implant must be interdigitated, keeping that tooth from moving mesially.
Hard and wear-resistant crown materials (figure 2) Restorative dentists dislike cutting off zirconia or lithium disilicate crowns because of their hardness and difficulty to cut. Do these two popular materials wear at a similar rate as tooth enamel? Clinicians Report Foundation’s research has shown that unglazed and unstained 3Y full-strength zirconia and lithium disilicate wear at the same rate as enamel (figure 3). However, when stain and glaze are placed on either material to produce better esthetics, the crowns wear the opposing teeth significantly. Almost all zirconia crowns of all iterations and lithium disilicate have stain and glaze placed on them. Other than 3Y full-strength zirconia, almost all other varieties of zirconia studied in vivo to date wear opposing enamel—glazed or not.1
Although porcelain-fused-to--metal (PFM) crowns also wear opposing enamel, the nearly total indirect restoration use of zirconia and lithium disilicate crowns causes varying degrees of wear, further contributing to changes in occlusion.
What can be done to prevent or treat the current occlusion dilemma?
Upgrade your occlusion education. There is too much to teach in four years of dental school, and curriculum change is guarded carefully by each department. Although many of us feel occlusion knowledge and prevention and treatment of occlusion-related problems should be mandatory, this information has been minimally included in dental school instruction. In my opinion, it is now highly recommended. There are many good occlusion courses available, some of which are identified later in this column.
Include thorough occlusion exams for new patients and recare appointments. Does the patient have observable occlusion challenges (headaches, TMJ pain, broken teeth, open contacts, mobile teeth, etc.)? Is the patient’s occlusion acceptable in all positions (centric relation, maximum interdigitation, right and left lateral, right and left nonworking, and incisal guidance)?
When treatment planning, use implants as the last option. You undoubtedly know the current research shows about 45% of two-piece conventional diameter (3 mm or more) implants have peri--mucositis or peri-implantitis by about 10 years.2 Also, I have given you potential reasons for the negative influence of implants on occlusion in dentitions containing both teeth and implant-supported crowns or fixed prostheses. Consider conventional fixed restorations when possible.
Currently, it is nearly impossible to avoid the use of ceramic crowns. Accomplish as much conservative intracoronal dentistry as possible, doing ceramic crowns only when necessary.
Do conservative tooth preparations on initial caries lesions. Although some political and commercial groups, as well as some dental organizations, are encouraging leaving small caries and waiting until the lesions are larger, my clinical observations over thousands of restorations and several decades of practice have convinced me that this is a flawed concept, especially for youth and young adults. Occasionally, it is somewhat acceptable for older persons who have had minimal lesions for many years. This concept is flawed not only from a tooth destruction standpoint, but also from an occlusal standpoint. When possible and with patient permission, treat initial caries for the same reasons I have expressed. The isthmus width for a molar class I or II composite restoration should be slightly wider than the width of a 330 bur. The isthmus width of a premolar should be about the width of a 329 bur. These conservative, disinfected preps allow most of the occlusion to remain on enamel, thus avoiding the collapse of occlusion caused by the unavoidable wear of composite restorations.
Financial considerations
I have had some dentists tell me they avoid treating occlusion problems because the revenue production is too low. I disagree. It is estimated by many surveys that at least 35% of adult patients need occlusal splints because of grinding or clenching bruxism. Many patients also need occlusal equilibration. This is yet another group that needs occlusal prevention and/or treatment related to the new generation of ceramic restorations and implants.
Summary
Occlusion continues to be a forgotten area of dentistry. Most indirect restorations are now ceramic, hard, and nonwearing. Often, implants negatively influence occlusion because they do not move in bone, causing malocclusion if not adjusted perfectly.
It is time to upgrade your occlusion knowledge and implement more occlusal prevention and treatment into clinical practice.
Editor's note: This article appeared in the January 2025 print edition of Dental Economics magazine. Dentists in North America are eligible for a complimentary print subscription. Sign up here.
References
- Zirconia crowns: What dentists and labs need to know in 2020! Clinicians Report. 2020;13(9).
- Derks J, Schaller D, Håkansson J, Wennström JL, Tomasi C, Berglundh T. Effectiveness of implant therapy analyzed in a Swedish population: prevalence of peri-implantitis. J Dent Res. 2016;95(1):43-49. doi:10.1177/0022034515608832
About the Author

Gordon J. Christensen, DDS, PhD, MSD
Gordon J. Christensen, DDS, PhD, MSD, is founder and CEO of Practical Clinical Courses and cofounder of Clinicians Report. His wife, Rella Christensen, PhD, is the cofounder. PCC is an international dental continuing education organization founded in 1981. Dr. Christensen is a practicing prosthodontist in Provo, Utah.





