Ask Dr. Christensen
Gordon J. Christensen, DDS, MSD, PhD
For more on this topic, go to www.dentaleconomics.com and search using the following key words: crown, cement, implant abutment, Morse taper, Dr. Gordon Christensen.
Q: Recently, I had to remove a porcelain-fused-to metal crown from an implant because there was a slight amount of mobility in the crown. The screw holding the implant abutment to the crown had come loose. I had cemented the crown to the abutment with a final cement, resin-modified-glass ionomer, assuming that the screw would not come loose. I could not get the crown off the abutment, which meant I had to destroy the crown and the abutment and place a new abutment and a new crown. How can I better treat such situations, or avoid this unfortunate event in the future?
A: You used the most popular cement in North America for routine cementation of crowns to natural teeth to connect your crown to the abutment, but the technique you used often has the unfortunate outcome you described when cementing crowns to implant abutments. I will provide you with my techniques, based on research and clinical observation, relative to cementing crowns to implant abutments.
There are several types of abutments, including the following:
One piece implant and abutment
When using this type of abutment, there is no problem with standard final cement, since the abutment cannot come loose from the implant. Unfortunately, these abutments cannot be used in most situations because of the typical angulation of the bone from the needed position and angulation of the abutment.
Abutment connected to the implant with a Morse taper
A Morse taper as used in many different applications is a slight taper of one piece (female) into which a corresponding male taper fits. When dealing with dental implants, there is a slightly tapered male cone extension of the implant abutment, which fits into the implant body that has a similar female taper on its internal portion. This concept, invented by Stephen A. Morse in the mid-1860s, is widely used in engineering and machining. The two components “stick” together. Some implant manufacturers use this concept without a screw attaching the abutment to the implant with significant success. Such abutments almost never come loose, but abutments are occasionally difficult to remove from the implant body after a service period. Final cement can be used for the crown.
When an abutment connects to the implant body with only a Morse taper connection, any loosening of the abutment will be either the crown loosening from the abutment, or the abutment male portion loosening from the implant female portion. In either event, the clinical situation can usually be remedied without redoing the crown or abutment.
Abutment connected to the implant with a Morse taper and a screw from the abutment into the implant
The same Morse taper concept as described in the last section is present. These abutments are very stable and seldom come loose. Final cement can be used for the crown if desired. Any loosening with these abutments is usually a separation of the crown from the abutment. Repair is accomplished either by recementing the crown, or redoing the crown and cementing the new one.
Abutment screw connected to an implant with an external antirotational feature, usually a metal external hexagonal piece of the implant extending into the mouth from the implant
This was the first type of abutment connection, as single-tooth implant-supported crowns became popular years ago. This type of abutment-implant connection is among the weakest and most potentially problematic during service. Some companies still use this type of abutment connection, and it can be used with success if accomplished properly. I will describe a technique for this type of connection later in the article. I do not favor use of final cement for crown cementation when using this type of connection.
Abutment screw connected to an implant with an internal anti-rotational feature, inside the implant
Many manufacturers use this type of abutment-implant connection, and it is usually relatively problem-free. However, when restoring small-diameter implants (3.25 mm or 3.5 mm diameter), loosening of the screw during service is an unwanted but occasional reality. I do not recommend always using a final cement with this type of abutment connection.
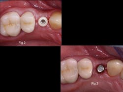
Fig. 3 — Screw channel on abutment filled with dry cotton which can easily be removed if necessary.
Your case
Since you did not describe the exact abutment type you used, let’s assume you used a typical manufacturer-made abutment with a screw extending through the abutment into the implant body. That is probably the most commonly used form of attachment of an abutment to an implant body. I will discuss that type of attachment in detail a little later. I will consider preventing such problems in the future and how to salvage a loose abutment when that occurs.
Deciding what type of cement to use for crown abutment cementation
The following information describes a logical technique regarding whether to use a final or provisional cement when cementing a crown to an abutment, based on the type of abutment connection to the implant.When a screw connecting the abutment and the implant comes loose, the clinician has to decide what to do based on the following factors. As you read these, it will become apparent how important it is to make good records at the time of cementation:
• What type of abutment was used? Does the abutment have an external or internal antirotational feature, a Morse taper, a screw and a Morse taper, or something else? As discussed previously, the possibility and difficulty of crown removal and repair is directly related to the type of abutment and the following factors. Fig. 1 shows typical manufacturer-made abutments attached to the implants with a screw.
• What type of cement was used? If a final cement was used to cement the crown to the abutment, successful crown removal is not very likely. If a provisional cement was used, the possibility of crown removal is very good.
• Was an easily removable material placed in the access to the screw hole in the abutment? Allowing any type of cement to fill the screw hole makes access to the screw extremely difficult. Unfortunately, some dentists do not recognize the importance of placing a piece of easily removable material in the screw access hole. Such materials are cotton, gutta percha, impression material, and others. Figs. 2 through 5 show a single crown supported by an implant with cotton placed into the screw access hole and a provisional resin cement.
• What is the attitude of the patient relative to salvaging the crown? Most patients want to try to salvage the restoration when the screw is loose. However, they should be thoroughly informed about the challenges related to attempting to remove the crown. The crown may break. The implant could be damaged.
Fig. 5 — Occlusal view of finished crown supported by an implant.
Removal of a crown and/or implant abutment from an implant
1. Treatment plan. Determine the answers to the factors discussed in the previous sections as much as possible, and make a decision about whether to try to remove the crown and abutment or cut them off. Assuming you want to try to remove them, do the following:
2. Crown removal
a) Purchase some soft, oral surgery ligature wire, or any other small-diameter soft wire that can be placed between the mesial and distal contact areas of the crown.
b) Place the wire into the mesial or distal area, just apical to the crown contact area and going to the lingual.
c) Wrap the wire around the lingual and through the contact area on the other side of the crown, mesial or distal.
d) Using a utility plier, twist the wire around itself on the crown’s facial aspect, thereby tightening the wire and reducing the diameter of the circumferential wire around the tooth.
e) Keep twisting and tightening the wire until it moves apically far enough that it grasps the crown.
f) Two ends of the wire can now be twisted together and bent toward the occlusal to allow connection of a crown-removing device. A good example is the ATD Bridge Remover (Park Dental Research Corp. www.parkdentalresearch.com), a manual ratchet device that allows force to be applied to the connected ends of the wire (Fig. 6). Most dentists have a device like this to apply manual force to the wires.
g) Tap on the ATD or other device until either the crown comes off, or your clinical judgment tells you to stop to avoid injuring the implant or the crown. Usually the crown comes off, unless the previous clinician has used final cement.
h) Tighten the screw, clean it, and recement the crown.
i) If the crown will not come off and you are sure that the abutment is screw retained, you may cut a hole in the central occlusal portion of the crown, find the screw channel, which should have an easily removable material in it, remove the material in the screw channel, tighten the screw, place an easily removable material in the screw channel, and use a resin-based composite to fill the occlusal hole.
Cementing new crowns over implant abutments when screw loosening is anticipated
The following clinical technique is not accomplished by most dentists, but is very important. On initial or subsequent tightening of the screw holding the abutment on the implant, torque the screw to the prescribed level suggested by the manufacturer (this ranges from 20 ncm to 35 ncm). Without placing the crown on the abutment, position a firm cotton roll over the abutment and have the patient forcefully chew in all directions on the abutment for at least five minutes. For a second time, tighten the screw to the same torque, and you will find it tightens another one quarter turn or more. Even a third tightening after chewing on a cotton roll will produce more screw stretching and tightening and a better possibility to reduce or eliminate loosening during service.
If you don’t do this procedure, the screw will loosen during service and lead to the problem described in the question.
Cement
If you are concerned about screw loosening in a specific situation because of a short abutment, aggressive occlusion, or other reasons, it is much better to use a provisional cement instead of a final cement. In my experience, conventional ZOE or non-ZOE cements are not a first choice, because they dissolve over time and produce a disagreeable taste and obvious leakage.
I prefer to use weak resin cement that will not dissolve. Such “implant cements” are much stronger than standard ZOE or non-ZOE provisional cements. On a long or highly retentive abutment-crown cementation, the cement should not be placed over the entire abutment or the crown will not be removable in the future. The cement should be placed on the internal of the crown, covering only about half of the most apical portion of the crown, and not filling the entire internal of the crown. This seals the internal of the crown from oral fluids and provides adequate crown retention while still allowing removal of the crown if the abutment screw comes loose. An example of such cement is Premier Implant Cement from Premier (Fig. 7).
In summary, use implant systems that provide reliable abutments, cement with final cements only when screw loosening is not expected, and cement with provisional resin cements when screw loosening is a possibility. Don’t forget the ways to potentially remove a crown when the abutment screw is loosened.
Several of our DVDs directly relate to this discussion. Two that will help you solve your implant abutment frustrations and other clinical challenges are V4796 “Dr. Christensen’s Most Frequent Failures and How to Avoid Them,” and V2344 “Simplified Implant Surgery.” For more information, visit our website at www.pccdental.com, or contact us at (800) 223-6569.
Dr. Christensen is a practicing prosthodontist in Provo, Utah. He is the founder and director of Practical Clinical Courses, an international continuing-education organization initiated in 1981 for dental professionals. Dr. Christensen is a cofounder (with his wife, Rella) and senior consultant of CLINICIANS REPORT.




